tel 400-6027-270
Main Image
Recombinant Anti-Granzyme B antibody (小鼠单克隆抗体)
¥1900
加入对比
货号: K545276-100
亚细胞定位: 分泌型, 胞质颗粒
别名: CCPI,CGL 1,CGL1,CSP B,CSPB,CTLA1,CTSGL1,Endogenous granzyme B,Granzyme B,GZMB,HLP,SECT
应用 | 种属
IHC/IF H
规格:
产品信息
蛋白质全称 颗粒酶B
别名 CCPI,CGL 1,CGL1,CSP B,CSPB,CTLA1,CTSGL1,Endogenous granzyme B,Granzyme B,GZMB,HLP,SECT
Uniprot ID P10144
免疫原 人重组 Granzyme B protein在HEK293细胞中表达
抗体亚型 IgG1, κ
克隆号 SB112
纯化方式 亲和纯化
亚细胞定位 分泌型, 胞质颗粒
应用
IHC/IF 免疫组织化学/免疫荧光
物种:人
稀释比:1:500-1:1000
阳性样品:T细胞淋巴瘤, 扁桃体
背景
Abundant protease in the cytosolic granules of cytotoxic T-cells and NK-cells which activates caspase-independent pyroptosis when delivered into the target cell through the immunological synapse. It cleaves after Asp. Once delivered into the target cell, acts by catalyzing cleavage of gasdermin-E (GSDME), releasing the pore-forming moiety of GSDME, thereby triggering pyroptosis and target cell death. Seems to be linked to an activation cascade of caspases (aspartate-specific cysteine proteases) responsible for apoptosis execution. Cleaves caspase-3, -7, -9 and 10 to give rise to active enzymes mediating apoptosis.
储存条件
储存条件:储存条件在:-20℃下储存一年, 避免反复冻融.
储存缓冲液:含0.15% ProClin300防腐剂, 100 μg/mL牛血清白蛋白和50%甘油的磷酸盐缓冲液.
图像
IHC检测Granzyme B蛋白(货号 K545276).
样品: 人T细胞淋巴瘤, 4%多聚甲醛 (货号KSG1101) 固定12-24小时.
抗原修复: 柠檬酸抗原修复液(干粉, pH 6.0) (KSG1201), 高压锅均匀喷气计时2分钟.
—抗: 1: 800稀释, 4℃ 孵育过夜.
二抗: S-vision免疫组化多聚二抗(山羊抗小鼠), 即用型(货号KB3903), 室温孵育20分钟.
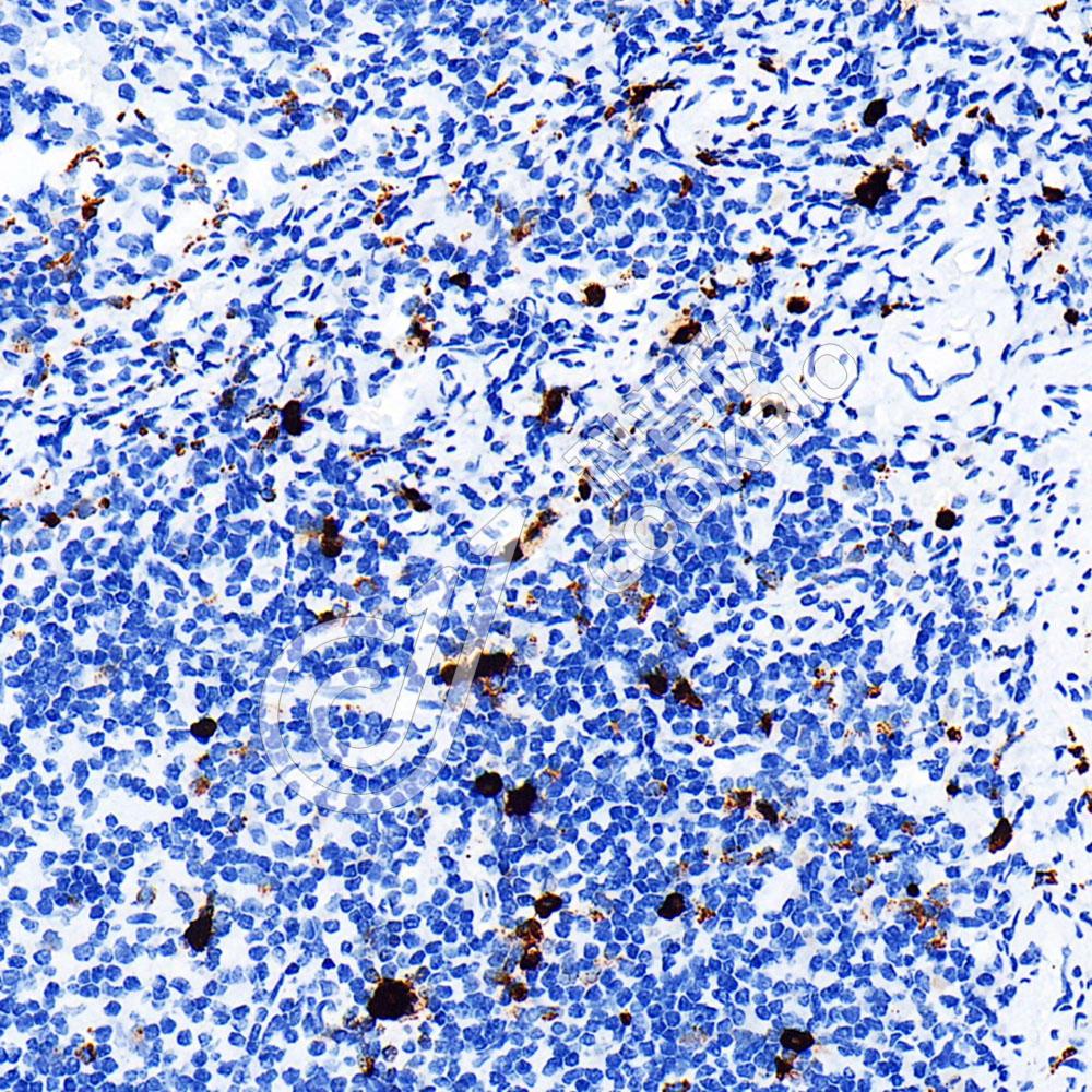
IHC检测Granzyme B蛋白(货号 K545276).
样品: 人扁桃体, 4%多聚甲醛 (货号KSG1101) 固定12-24小时.
抗原修复: 柠檬酸抗原修复液(干粉, pH 6.0) (KSG1201), 高压锅均匀喷气计时2分钟.
—抗: 1: 800稀释, 4℃ 孵育过夜.
二抗: S-vision免疫组化多聚二抗(山羊抗小鼠), 即用型(货号KB3903), 室温孵育20分钟.

需要技术支持?

如果您有任何问题或如果您在实验过程中遇到问题,或需要更详细的技术指导,请联系我们的技术支持团队
电话 400-6027-270

联系我们

如果您对我们的公司或产品有任何疑问,欢迎随时联系我们