tel 400-6027-270
Main Image
Recombinant Anti-Connexin 43/GJA1 antibody (兔单克隆抗体)
¥1900
加入对比
货号: K545702-100
预测分子量: 43 kDa
观测分子量: 43 kDa
亚细胞定位: 细胞膜, 细胞连接
别名: GJA1,AVSD3,CMDR,CX43,EKVP,GJAL,HLHS1,HSS,ODDD,PPKCA,gap junction protein alpha 1
应用 | 种属
WB M,R
IHC/IF H,M,R
规格:
产品信息
蛋白质全称 间隙连接蛋白α1
别名 GJA1,AVSD3,CMDR,CX43,EKVP,GJAL,HLHS1,HSS,ODDD,PPKCA,gap junction protein alpha 1
Uniprot ID P17302
免疫原 人Connexin 43重组蛋白
抗体亚型 IgG2b, κ
克隆号 SB324
纯化方式 亲和纯化
亚细胞定位 细胞膜, 细胞连接
预测分子量./观测分子量. 43 kDa / 43 kDa
应用
WB 免疫印迹
物种:小鼠,大鼠
稀释比:1:1000-1:2000
阳性样品:—
IHC/IF 免疫组织化学/免疫荧光
物种:人,小鼠,大鼠
稀释比:1:1000-1:2000
阳性样品:心
背景
Gap junction protein that acts as a regulator of bladder capacity. A gap junction consists of a cluster of closely packed pairs of transmembrane channels, the connexons, through which materials of low MW diffuse from one cell to a neighboring cell. May play a critical role in the physiology of hearing by participating in the recycling of potassium to the cochlear endolymph. Negative regulator of bladder functional capacity: acts by enhancing intercellular electrical and chemical transmission, thus sensitizing bladder muscles to cholinergic neural stimuli and causing them to contract . May play a role in cell growth inhibition through the regulation of NOV expression and localization. Plays an essential role in gap junction communication in the ventricles .
储存条件
储存条件:储存条件在:-20℃下储存一年, 避免反复冻融.
储存缓冲液:含0.15% ProClin300防腐剂, 100 μg/mL牛血清白蛋白和50%甘油的磷酸盐缓冲液.
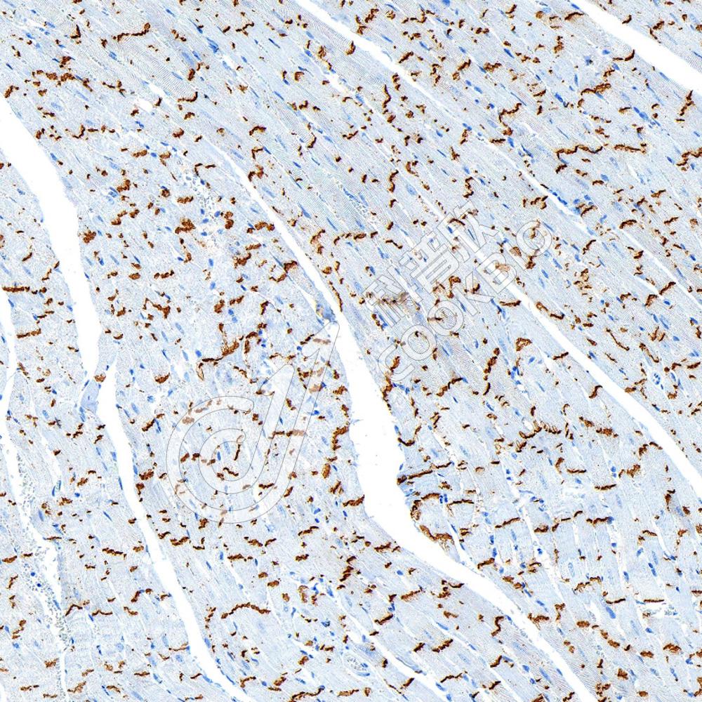
图像
IHC检测Connexin 43/GJA1蛋白(货号 K545702).
样品: 小鼠心, 4%多聚甲醛 (货号KSG1101) 固定12-24小时.
抗原修复: 柠檬酸抗原修复液(干粉, pH 6.0) (KSG1201), 高压锅均匀喷气计时2分钟.
—抗: 1: 1500稀释, 4℃ 孵育过夜.
二抗: S-vision免疫组化多聚二抗(山羊抗兔),即用型 (货号KB3906), 室温孵育20分钟.
IHC检测Connexin 43/GJA1蛋白(货号 K545702).
样品: 大鼠心, 4%多聚甲醛 (货号KSG1101) 固定12-24小时.
抗原修复: 柠檬酸抗原修复液(干粉, pH 6.0) (KSG1201), 高压锅均匀喷气计时2分钟.
—抗: 1: 1500稀释, 4℃ 孵育过夜.
二抗: S-vision免疫组化多聚二抗(山羊抗兔),即用型 (货号KB3906), 室温孵育20分钟.

需要技术支持?

如果您有任何问题或如果您在实验过程中遇到问题,或需要更详细的技术指导,请联系我们的技术支持团队
电话 400-6027-270

联系我们

如果您对我们的公司或产品有任何疑问,欢迎随时联系我们