首页
抗体
一抗
内参抗体
标签抗体
修饰抗体
细胞标志物
DNA损伤修复
细胞增殖
程序性细胞死亡
细胞器标志物
角蛋白
肿瘤生物学
外泌体
免疫相关
神经生物学
细胞周期
营养因子
胚胎发育
细胞骨架
泛素化相关
囊泡运输
细胞代谢
激素及受体
通道蛋白
缺氧
骨相关
生长因子及受体
分子伴侣
RNA生物学
转录因子
表观遗传学
核受体
信号通路
小G蛋白相关
G蛋白偶联受体
多耐药
Treg
氧化应激
血管相关
其它
重组抗体
直标抗体
二抗
荧光二抗
荧光素标记
抗山羊二抗
抗兔二抗
抗小鼠二抗
抗大鼠二抗
耗材
细胞耗材
吸头
离心管
培养板
培养皿
培养瓶
冻存
吸头
普通吸头
离心管
离心管
仪器
蛋白实验仪器
研磨仪
制胶仪
电泳仪
成像系统
细胞实验仪器
细胞计数仪
应用指南
企业介绍
企业介绍
活动专题
联系我们
400-6027-270
×
热门搜索:
CD3
Actin
GFP
⚠
一抗
应用
WB
IHC
IF
ICC
种属
Human
Mouse
Rat
Monkey
来源
兔单抗
兔多抗
鼠单抗
一抗分类
内参抗体
(47)
标签抗体
(7)
修饰抗体
(13)
细胞标志物
(119)
DNA损伤修复
(79)
程序性细胞死亡
(141)
细胞器标志物
(95)
角蛋白
(77)
肿瘤生物学
(503)
外泌体
(21)
免疫相关
(377)
神经生物学
(297)
细胞周期
(145)
营养因子
(13)
胚胎发育
(25)
细胞骨架
(237)
泛素化相关
(99)
囊泡运输
(70)
细胞代谢
(606)
激素及受体
(98)
通道蛋白
(125)
缺氧
(27)
骨相关
(42)
生长因子及受体
(75)
分子伴侣
(69)
RNA生物学
(214)
转录因子
(270)
表观遗传学
(113)
核受体
(31)
信号通路
(459)
小G蛋白相关
(68)
G蛋白偶联受体
(55)
多耐药
(1)
Treg
(31)
氧化应激
(1)
血管相关
(3)
其它
(141)
重组抗体
(516)
直标抗体
(1)
二抗
应用
WB
IHC
IF
ICC
种属
Human
Mouse
Rat
Monkey
来源
兔单抗
兔多抗
鼠单抗
二抗分类
荧光二抗
(17)
荧光素标记
(19)
抗山羊二抗
(5)
抗兔二抗
(9)
抗小鼠二抗
(9)
抗大鼠二抗
(3)
一抗
抗体筛选:
清空
Previous
Next
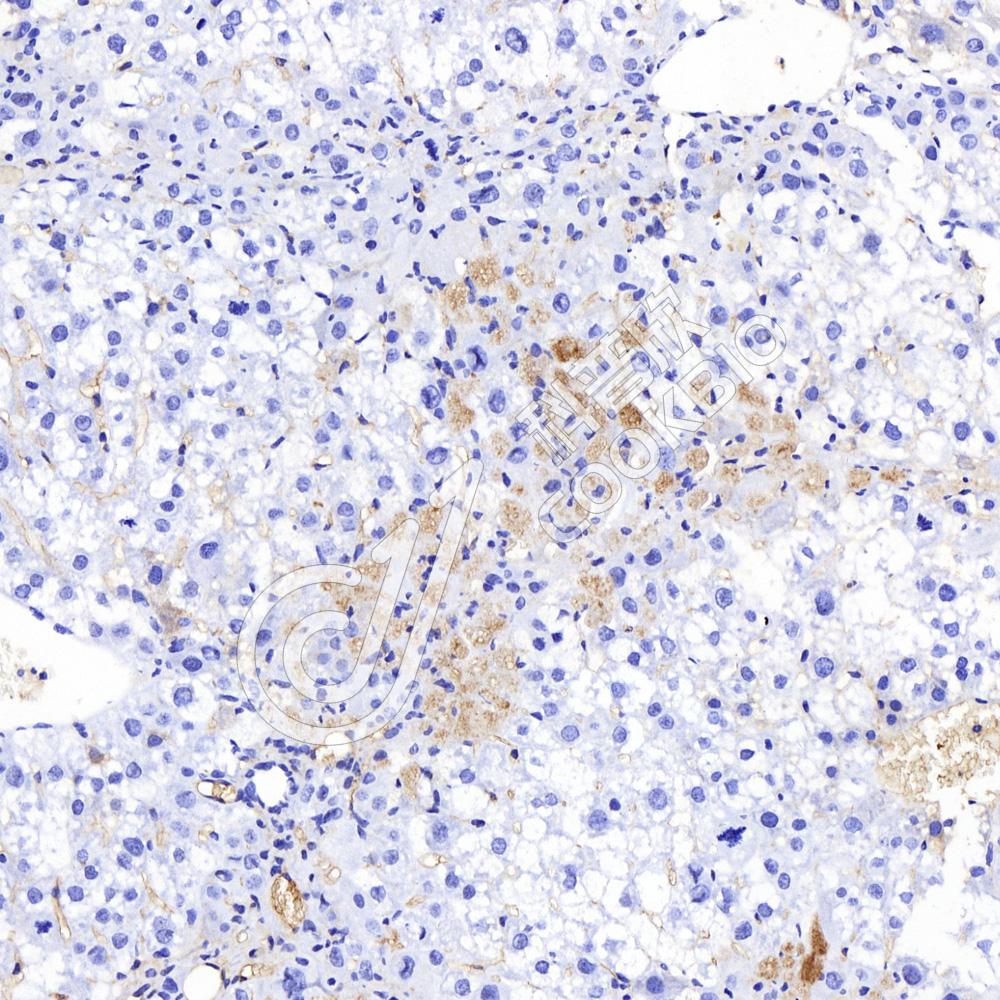
Anti-COX2/Cyclooxygenase 2 兔多克隆抗体
兔多抗
脂代谢
应用
|
种属
:
IHC/IF
|
H,M
货号:K133231-1-100
规格:100 μL
¥ 1900
比较
查看详情
Previous
Next
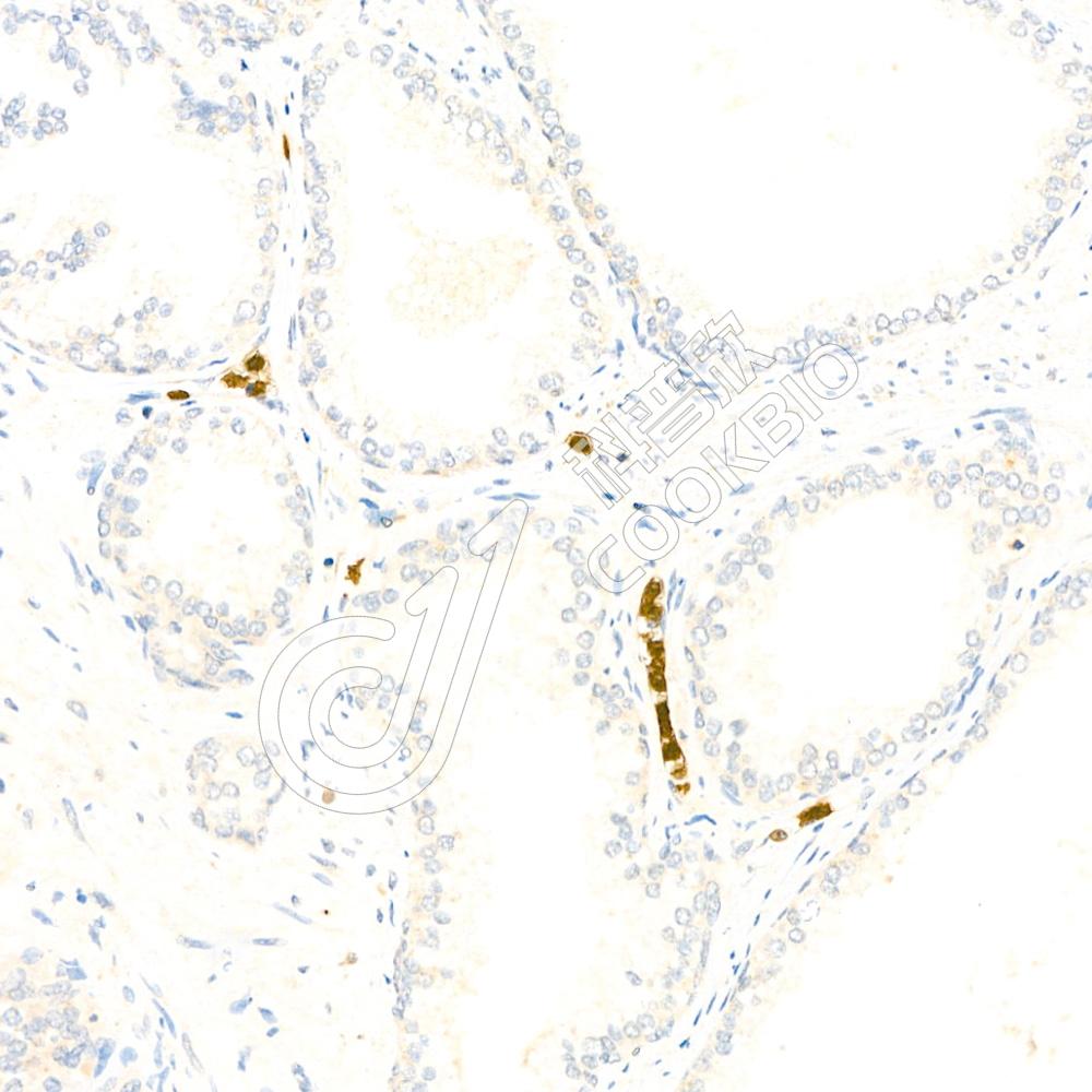
Anti-CTGF 兔多克隆抗体
兔多抗
脂代谢
应用
|
种属
:
IHC/IF
|
H,M,R
货号:K133234-100
规格:100 μL
¥ 1900
比较
查看详情
Previous
Next
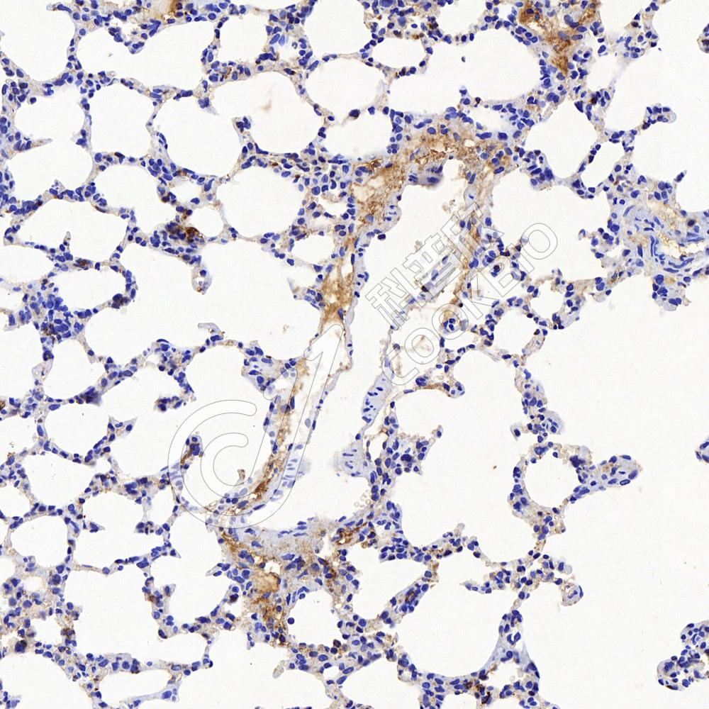
Anti-Glucagon 兔多克隆抗体
兔多抗
糖代谢,激素及受体
应用
|
种属
:
IHC/IF
|
H,M,R
货号:K133291-100
规格:100 μL
¥ 1900
比较
查看详情
Previous
Next
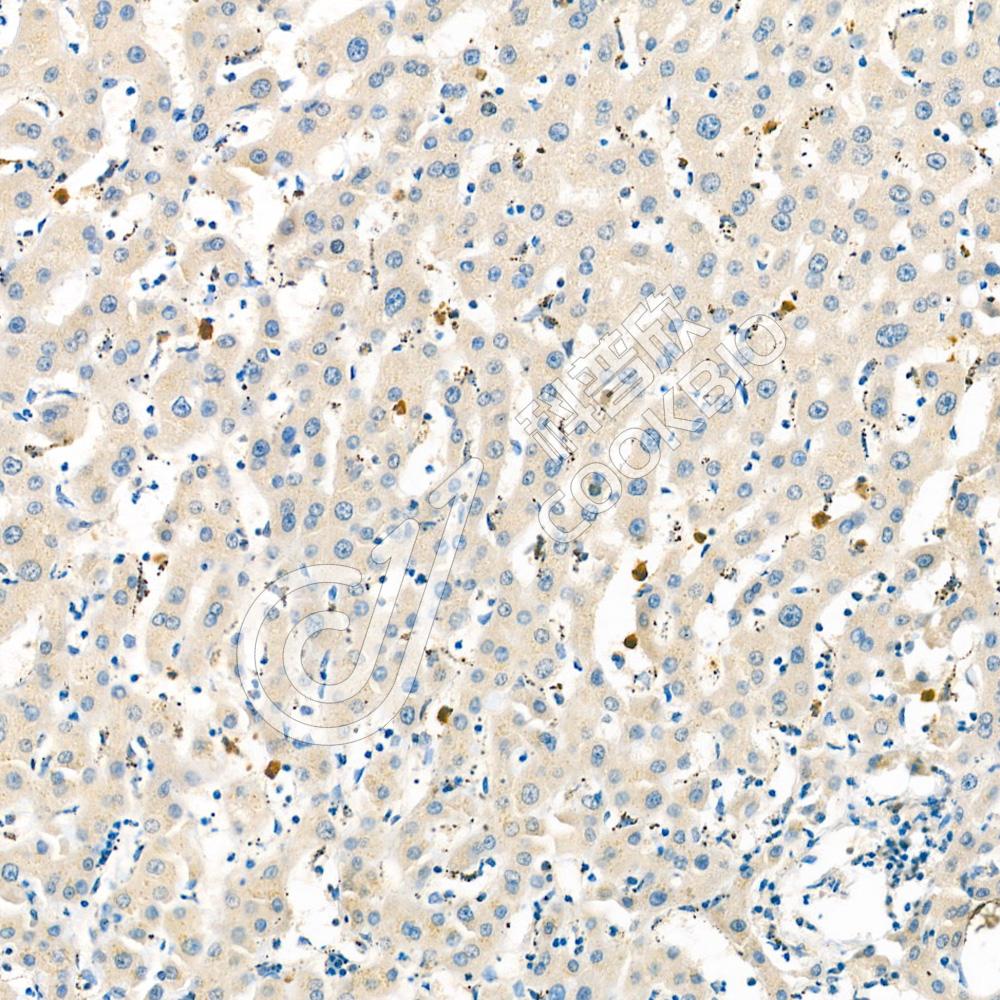
Anti-CARM1 兔多克隆抗体
兔多抗
肿瘤标志物,氨基酸代谢
应用
|
种属
:
IHC/IF
|
M,R
货号:K1333108-100
规格:100 μL
¥ 1900
比较
查看详情
Previous
Next
Anti-MRP1 兔多克隆抗体
兔多抗
通道蛋白,能量代谢
应用
|
种属
:
IHC/IF
|
R
货号:K1333123-100
规格:100 μL
¥ 1900
比较
查看详情
Previous
Next
Anti-Heme-regulated inhibitor 兔多克隆抗体
兔多抗
能量代谢,缺氧
应用
|
种属
:
WB
|
H,M,R
IHC/IF
|
M,R
货号:K1333282-100
规格:100 μL
¥ 1900
比较
查看详情
Anti-PHGDH/Malate dehydrogenase 兔多克隆抗体
兔多抗
氨基酸代谢
应用
|
种属
:
WB
|
H,M,R
货号:K1333351-100
规格:100 μL
¥ 1900
比较
查看详情
Previous
Next
Anti-Lipocalin-2/NGAL 兔多克隆抗体
兔多抗
脂代谢
应用
|
种属
:
IHC/IF
|
H
货号:K1333402-100
规格:100 μL
¥ 1900
比较
查看详情
Previous
Next
Anti-PFKL 兔多克隆抗体
兔多抗
糖代谢
应用
|
种属
:
IHC/IF
|
H
货号:K1333408-100
规格:100 μL
¥ 1900
比较
查看详情
Anti-Peroxiredoxin 1/PAG 兔多克隆抗体
兔多抗
能量代谢
应用
|
种属
:
WB
|
H,M,R
货号:K1333453-100
规格:100 μL
¥ 1900
比较
查看详情
货号
产品名称
应用
|
种属
规格
价格 (元)
操作
K133231-1-100
Anti-COX2/Cyclooxygenase 2 兔多克隆抗体
IHC/IF
H,M
100 μL
¥ 1900
查看详情
比较
K133234-100
Anti-CTGF 兔多克隆抗体
IHC/IF
H,M,R
100 μL
¥ 1900
查看详情
比较
K133291-100
Anti-Glucagon 兔多克隆抗体
IHC/IF
H,M,R
100 μL
¥ 1900
查看详情
比较
K1333108-100
Anti-CARM1 兔多克隆抗体
IHC/IF
M,R
100 μL
¥ 1900
查看详情
比较
K1333123-100
Anti-MRP1 兔多克隆抗体
IHC/IF
R
100 μL
¥ 1900
查看详情
比较
K1333282-100
Anti-Heme-regulated inhibitor 兔多克隆抗体
WB
H,M,R
IHC/IF
M,R
100 μL
¥ 1900
查看详情
比较
K1333351-100
Anti-PHGDH/Malate dehydrogenase 兔多克隆抗体
WB
H,M,R
100 μL
¥ 1900
查看详情
比较
K1333402-100
Anti-Lipocalin-2/NGAL 兔多克隆抗体
IHC/IF
H
100 μL
¥ 1900
查看详情
比较
K1333408-100
Anti-PFKL 兔多克隆抗体
IHC/IF
H
100 μL
¥ 1900
查看详情
比较
K1333453-100
Anti-Peroxiredoxin 1/PAG 兔多克隆抗体
WB
H,M,R
100 μL
¥ 1900
查看详情
比较
<
1
2
3
4
5
6
...
60
61
>
第1页
第2页
第3页
第4页
第5页
第6页
第7页
第8页
第9页
第10页
第11页
第12页
第13页
第14页
第15页
第16页
第17页
第18页
第19页
第20页
第21页
第22页
第23页
第24页
第25页
第26页
第27页
第28页
第29页
第30页
第31页
第32页
第33页
第34页
第35页
第36页
第37页
第38页
第39页
第40页
第41页
第42页
第43页
第44页
第45页
第46页
第47页
第48页
第49页
第50页
第51页
第52页
第53页
第54页
第55页
第56页
第57页
第58页
第59页
第60页
第61页
每页显示
10
20
30
40
50
个结果
需要技术支持?
如果您有任何问题或如果您在实验过程中遇到问题,或需要更详细的技术指导,请联系我们的技术支持团队
400-6027-270
联系我们
如果您对我们的公司或产品有任何疑问,欢迎随时联系我们
联系我们
开始对比
清空