tel 400-6027-270
Main Image
Recombinant Anti-Scavenger receptor BI (SR-BI) antibody (兔单克隆抗体)
¥1900
加入对比
货号: K5459957-100
预测分子量: 60 kDa
观测分子量: 80 kDa
亚细胞定位: 细胞膜
别名: CD36 and LIMPII analogous 1,CD36 antigen like 1,CD36L1,CLA-1,CLA1,SCARB1,SRB1,SR-B1,SR-BI,Scarb1,Collagen type I receptor
应用 | 种属
WB H,M,R
IHC/IF H,M,R
规格:
产品信息
蛋白质全称 清道夫受体B类1型
别名 CD36 and LIMPII analogous 1,CD36 antigen like 1,CD36L1,CLA-1,CLA1,SCARB1,SRB1,SR-B1,SR-BI,Scarb1,Collagen type I receptor
Uniprot ID Q8WTV0
免疫原 人Scavenger receptor BI (SR-BI)重组蛋白
抗体亚型 IgG, κ
克隆号 SB366
纯化方式 亲和纯化
亚细胞定位 细胞膜
预测分子量./观测分子量. 60 kDa / 80 kDa
应用
WB 免疫印迹
物种:人,小鼠,大鼠
稀释比:1:1000-1:4000
阳性样品:肝, NIH/3T3细胞
IHC/IF 免疫组织化学/免疫荧光
物种:人,小鼠,大鼠
稀释比:1:50-1:300
阳性样品:肝, 肺
背景
Receptor for different ligands such as phospholipids, cholesterol ester, lipoproteins, phosphatidylserine and apoptotic cells . Both isoform 1 and isoform 2 act as receptors for HDL, mediating selective uptake of cholesteryl ether and HDL-dependent cholesterol efflux . Also facilitates the flux of free and esterified cholesterol between the cell surface and apoB-containing lipoproteins and modified lipoproteins, although less efficiently than HDL. May be involved in the phagocytosis of apoptotic cells, via its phosphatidylserine binding activity .
储存条件
储存条件:储存条件在:-20℃下储存一年, 避免反复冻融.
储存缓冲液:含0.15% ProClin300防腐剂, 100 μg/mL牛血清白蛋白和50%甘油的磷酸盐缓冲液.
图像
WB检测Scavenger receptor BI (SR-BI)蛋白(货号 K5459957).
样品: 经RIPA裂解液(货号KSG2002)处理的蛋白质.
封闭: 3%脱脂牛奶(货号KSGC310001)溶于TBST溶液, 室温孵育1小时.
—抗: 1: 1000稀释, 4℃ 孵育过夜.
二抗: HRP标记山羊抗兔IgG (H+L) (货号KB69909), 1: 5000稀释, 室温孵育1小时.
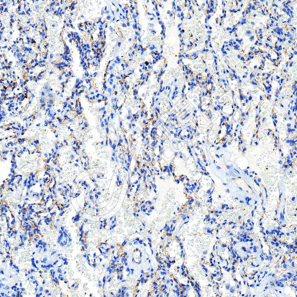
IHC检测Scavenger receptor BI (SR-BI)蛋白(货号 K5459957).
样品: 人肺, 4%多聚甲醛 (货号KSG1101) 固定12-24小时.
抗原修复: 柠檬酸抗原修复液(干粉, pH 6.0) (KSG1201), 高压锅均匀喷气计时2分钟.
—抗: 1: 200稀释, 4℃ 孵育过夜.
二抗: S-vision免疫组化多聚二抗(山羊抗兔),即用型 (货号KB3906), 室温孵育20分钟.
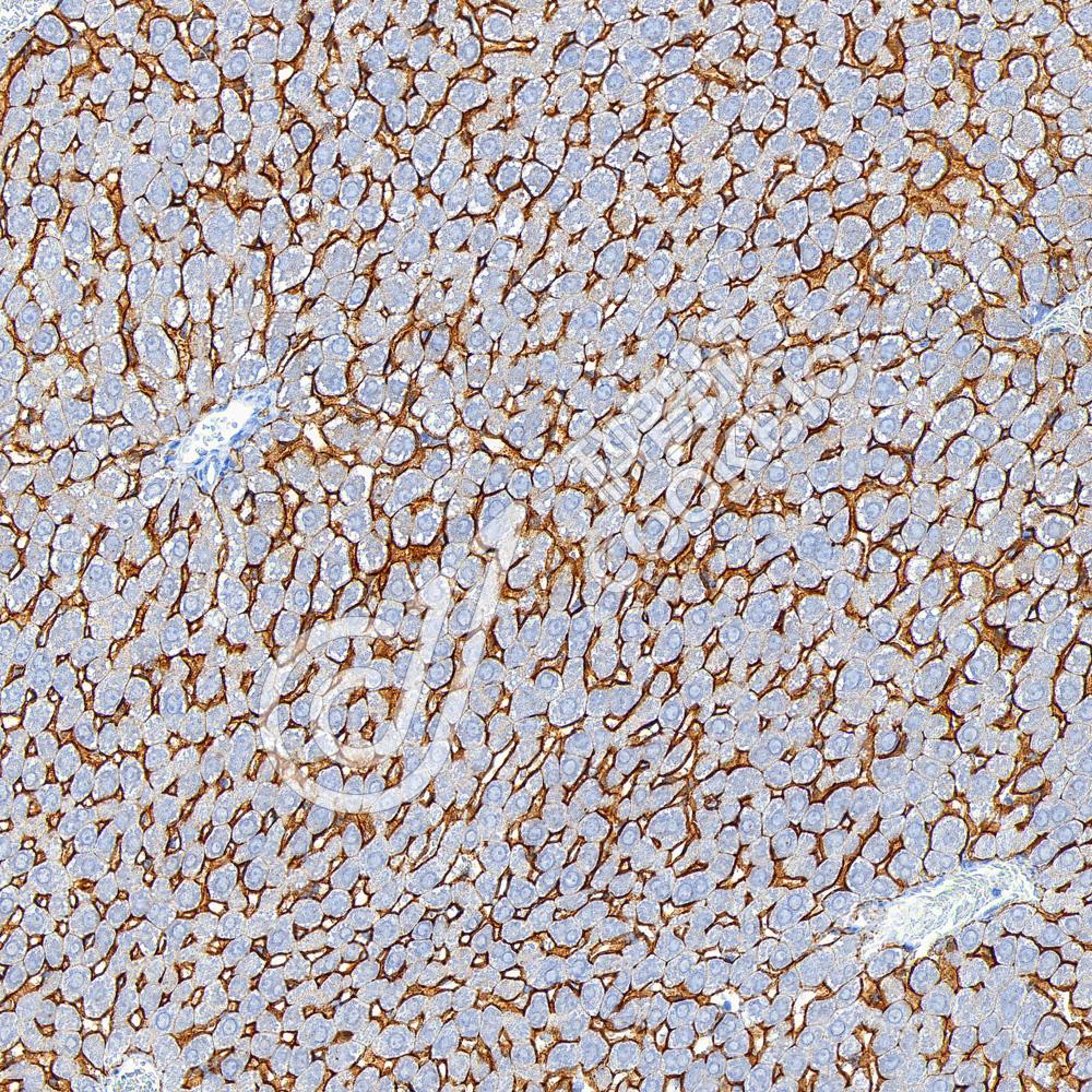
IHC检测Scavenger receptor BI (SR-BI)蛋白(货号 K5459957).
样品: 小鼠肝, 4%多聚甲醛 (货号KSG1101) 固定12-24小时.
抗原修复: 柠檬酸抗原修复液(干粉, pH 6.0) (KSG1201), 高压锅均匀喷气计时2分钟.
—抗: 1: 200稀释, 4℃ 孵育过夜.
二抗: S-vision免疫组化多聚二抗(山羊抗兔),即用型 (货号KB3906), 室温孵育20分钟.
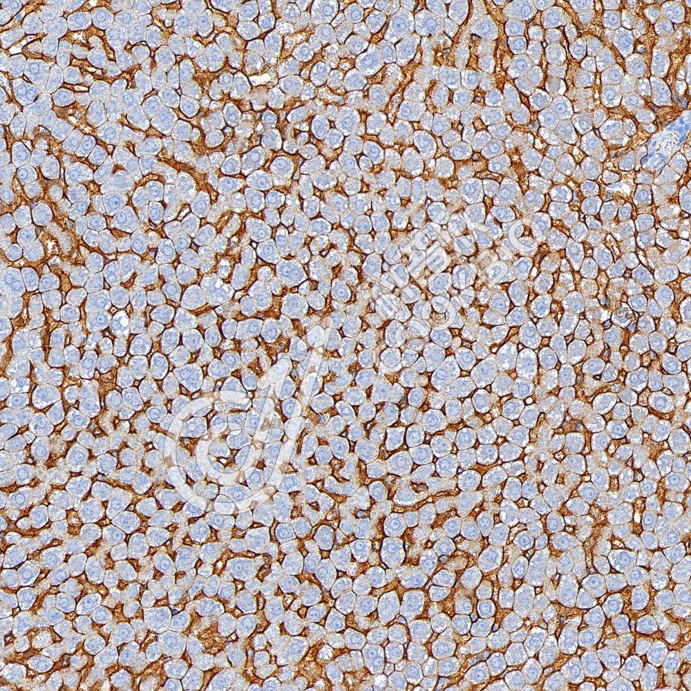
IHC检测Scavenger receptor BI (SR-BI)蛋白(货号 K5459957).
样品: 大鼠肝, 4%多聚甲醛 (货号KSG1101) 固定12-24小时.
抗原修复: 柠檬酸抗原修复液(干粉, pH 6.0) (KSG1201), 高压锅均匀喷气计时2分钟.
—抗: 1: 200稀释, 4℃ 孵育过夜.
二抗: S-vision免疫组化多聚二抗(山羊抗兔),即用型 (货号KB3906), 室温孵育20分钟.

需要技术支持?

如果您有任何问题或如果您在实验过程中遇到问题,或需要更详细的技术指导,请联系我们的技术支持团队
电话 400-6027-270

联系我们

如果您对我们的公司或产品有任何疑问,欢迎随时联系我们