tel 400-6027-270
Main Image
Recombinant Anti-p38 antibody (兔单克隆抗体)
¥1900
加入对比
货号: K5464055-100
预测分子量: 41 kDa
观测分子量: 41 kDa
亚细胞定位: 细胞核, 细胞质
别名: Mitogen-activated protein kinase p38 alpha,MAP kinase 14,CRK1,Mapk14,MAP kinase p38 alpha,Crk1,Csbp1,Csbp2,P38, CSBP,CSBP1,CSBP2,CSPB1,EXIP,Mxi2,PRKM14,PRKM15,mitogen-activated protein
应用 | 种属
WB H,M,R
IHC/IF H,M,R
规格:
产品信息
蛋白质全称 丝裂原活化蛋白激酶14
别名 Mitogen-activated protein kinase p38 alpha,MAP kinase 14,CRK1,Mapk14,MAP kinase p38 alpha,Crk1,Csbp1,Csbp2,P38, CSBP,CSBP1,CSBP2,CSPB1,EXIP,Mxi2,PRKM14,PRKM15,mitogen-activated protein
Uniprot ID Q16539,O15264,P53778,Q15759
免疫原 KLH偶联的人p38合成肽
抗体亚型 IgG, κ
克隆号 SB94
纯化方式 亲和纯化
亚细胞定位 细胞核, 细胞质
预测分子量./观测分子量. 41 kDa / 41 kDa
应用
WB 免疫印迹
物种:人,小鼠,大鼠
稀释比:1:1000-1:2000
阳性样品:C6细胞, HT-29细胞
IHC/IF 免疫组织化学/免疫荧光
物种:人,小鼠,大鼠
稀释比:1:500-1:1000
阳性样品:宫颈癌, 睾丸
背景
P38 MAP kinase is the mammalian homologue of the yeast HOG kinase and participates in a cascade controlling cellular responses to cytokines and stress. Like the SAPK/JNK pathway, P38 MAP kinase is activated by a variety of cellular stresses including inflammatory cytokines, UV light and growth factors, etc. Activated p38 MAP kinase has been shown to phosphorylate and activate MAPKAP kinase-2 and to phosphorylate the transcription factors ATF-2 and Max.
储存条件
储存条件:储存条件在:-20℃下储存一年, 避免反复冻融.
储存缓冲液:含0.15% ProClin300防腐剂, 100 μg/mL牛血清白蛋白和50%甘油的磷酸盐缓冲液.
图像
WB检测p38蛋白(货号 K5464055).
样品: 经RIPA裂解液(货号KSG2002)处理的蛋白质.
封闭: 3%脱脂牛奶(货号KSGC310001)溶于TBST溶液, 室温孵育1小时.
—抗: 1: 1000稀释, 4℃ 孵育过夜.
二抗: HRP标记山羊抗兔IgG (H+L) (货号KB69909), 1: 5000稀释, 室温孵育1小时.
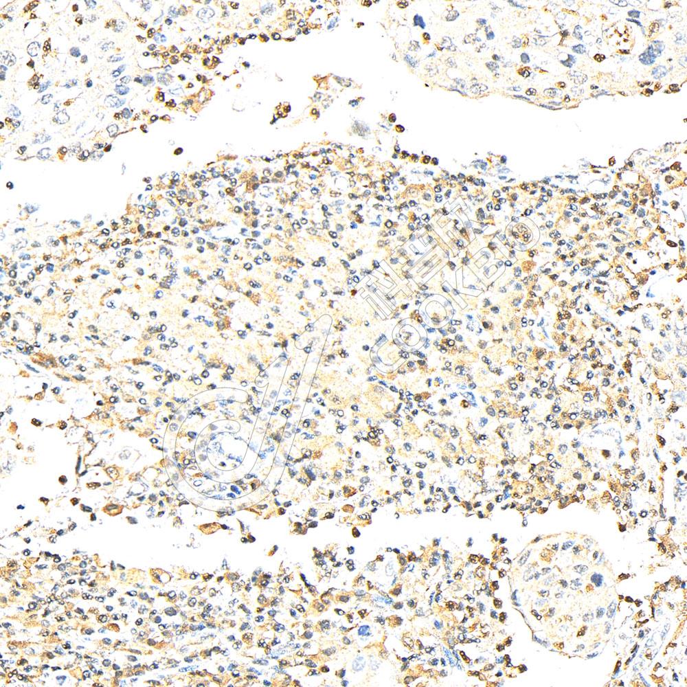
IHC检测p38蛋白(货号 K5464055).
样品: 人宫颈癌, 4%多聚甲醛 (货号KSG1101) 固定12-24小时.
抗原修复: 柠檬酸抗原修复液(干粉, pH 6.0) (KSG1201), 高压锅均匀喷气计时2分钟.
—抗: 1: 800稀释, 4℃ 孵育过夜.
二抗: S-vision免疫组化多聚二抗(山羊抗兔),即用型 (货号KB3906), 室温孵育20分钟.
IHC检测p38蛋白(货号 K5464055).
样品: 小鼠睾丸, 4%多聚甲醛 (货号KSG1101) 固定12-24小时.
抗原修复: 柠檬酸抗原修复液(干粉, pH 6.0) (KSG1201), 高压锅均匀喷气计时2分钟.
—抗: 1: 800稀释, 4℃ 孵育过夜.
二抗: S-vision免疫组化多聚二抗(山羊抗兔),即用型 (货号KB3906), 室温孵育20分钟.
IHC检测p38蛋白(货号 K5464055).
样品: 大鼠睾丸, 4%多聚甲醛 (货号KSG1101) 固定12-24小时.
抗原修复: 柠檬酸抗原修复液(干粉, pH 6.0) (KSG1201), 高压锅均匀喷气计时2分钟.
—抗: 1: 800稀释, 4℃ 孵育过夜.
二抗: S-vision免疫组化多聚二抗(山羊抗兔),即用型 (货号KB3906), 室温孵育20分钟.

需要技术支持?

如果您有任何问题或如果您在实验过程中遇到问题,或需要更详细的技术指导,请联系我们的技术支持团队
电话 400-6027-270

联系我们

如果您对我们的公司或产品有任何疑问,欢迎随时联系我们