tel 400-6027-270
Main Image
Recombinant Anti-VEGF Receptor 1 antibody (兔单克隆抗体)
¥1900
加入对比
货号: K5462600-100
预测分子量: 151 kDa
观测分子量: 180 kDa
亚细胞定位: 细胞膜, 内体, 分泌型
别名: FLT,FLT 1,FLT1,FLT-1,Fms like tyrosine kinase 1,FRT,sflt1,Tyrosine protein kinase FRT,VEGF receptor 1,VEGFR 1,VEGFR1,VEGFR-1
应用 | 种属
WB H,M,R
IHC/IF H,M,R
规格:
产品信息
蛋白质全称 血管内皮生长因子受体1
别名 FLT,FLT 1,FLT1,FLT-1,Fms like tyrosine kinase 1,FRT,sflt1,Tyrosine protein kinase FRT,VEGF receptor 1,VEGFR 1,VEGFR1,VEGFR-1
Uniprot ID P17948
免疫原 人VEGF Receptor 1重组蛋白
抗体亚型 IgG, κ
克隆号 SB244
纯化方式 亲和纯化
亚细胞定位 细胞膜, 内体, 分泌型
预测分子量./观测分子量. 151 kDa / 180 kDa
应用
WB 免疫印迹
物种:人,小鼠,大鼠
稀释比:1:2000-1:4000
阳性样品:—
IHC/IF 免疫组织化学/免疫荧光
物种:人,小鼠,大鼠
稀释比:1:500-1:1500
阳性样品:胎盘
背景
Vascular endothelial growth factor receptor-1 (VEGFR-1, FLT-1) is a receptor tyrosine kinase belonging to the VEGFR family. VEGF is a key regulator of physiological angiogenesis and has also been implicated in pathological angiogenesis associated with tumors, intraocular neovascular disorders and other conditions. The biological effects of VEGF are mediated by VEGFR-1 and VEGFR-2. Both the two receptors have seven immunoglobulin-like repeats in the extracellular domain, a single transmembrane region and a tyrosine kinase domain.
储存条件
储存条件:储存条件在:-20℃下储存一年, 避免反复冻融.
储存缓冲液:含0.15% ProClin300防腐剂, 100 μg/mL牛血清白蛋白和50%甘油的磷酸盐缓冲液.
图像
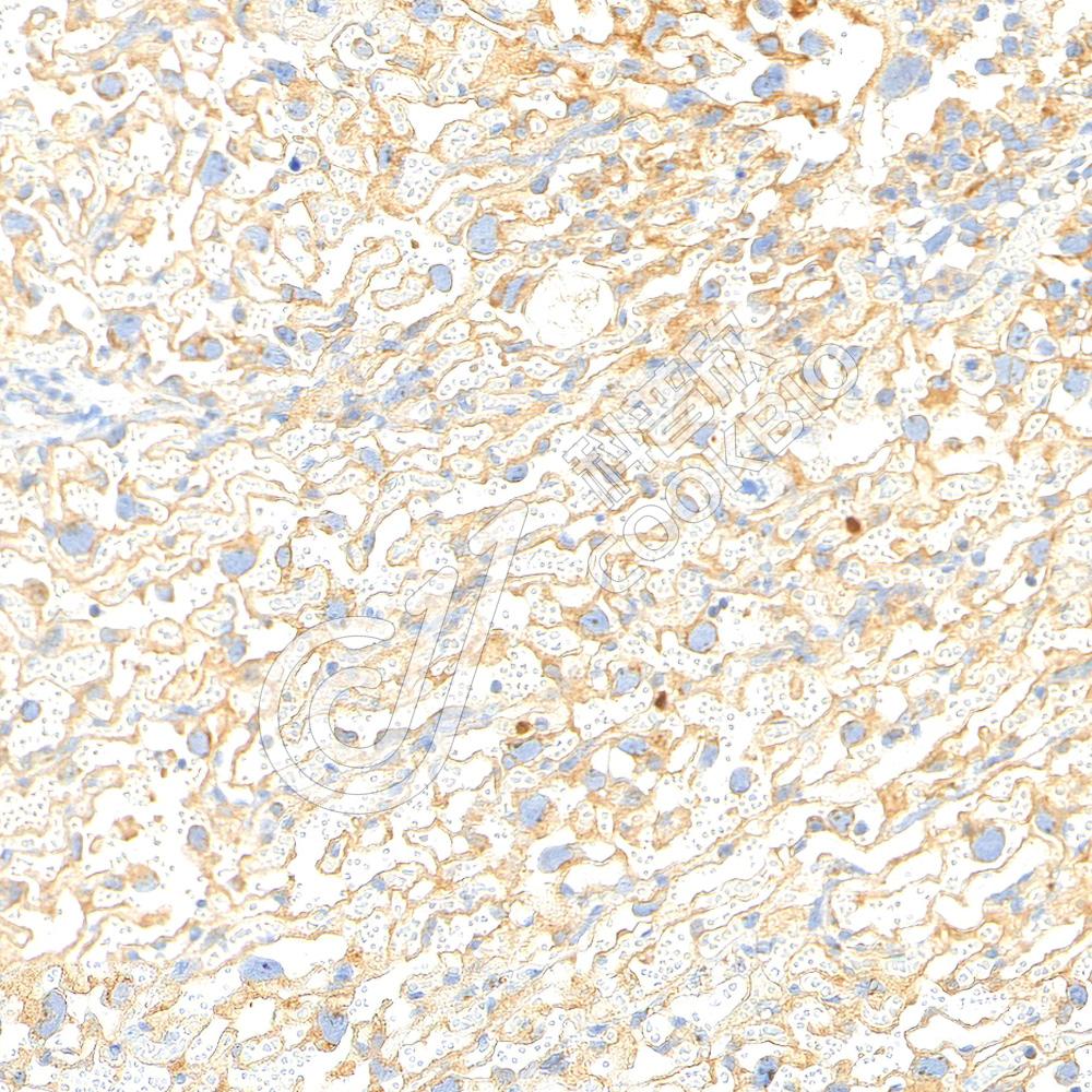
IHC检测VEGF Receptor 1蛋白(货号 K5462600).
样品: 人胎盘, 4%多聚甲醛 (货号KSG1101) 固定12-24小时.
抗原修复: Tris-EDTA抗原修复液(pH 9.0) (货号KSG1203), 高压锅均匀喷气计时2分钟.
—抗: 1: 1000稀释, 4℃ 孵育过夜.
二抗: S-vision免疫组化多聚二抗(山羊抗兔),即用型 (货号KB3906), 室温孵育20分钟.
IHC检测VEGF Receptor 1蛋白(货号 K5462600).
样品: 小鼠胎盘, 4%多聚甲醛 (货号KSG1101) 固定12-24小时.
抗原修复: Tris-EDTA抗原修复液(pH 9.0) (货号KSG1203), 高压锅均匀喷气计时2分钟.
—抗: 1: 1000稀释, 4℃ 孵育过夜.
二抗: S-vision免疫组化多聚二抗(山羊抗兔),即用型 (货号KB3906), 室温孵育20分钟.
IHC检测VEGF Receptor 1蛋白(货号 K5462600).
样品: 大鼠胎盘, 4%多聚甲醛 (货号KSG1101) 固定12-24小时.
抗原修复: Tris-EDTA抗原修复液(pH 9.0) (货号KSG1203), 高压锅均匀喷气计时2分钟.
—抗: 1: 1000稀释, 4℃ 孵育过夜.
二抗: S-vision免疫组化多聚二抗(山羊抗兔),即用型 (货号KB3906), 室温孵育20分钟.

需要技术支持?

如果您有任何问题或如果您在实验过程中遇到问题,或需要更详细的技术指导,请联系我们的技术支持团队
电话 400-6027-270

联系我们

如果您对我们的公司或产品有任何疑问,欢迎随时联系我们