tel 400-6027-270
Main Image
Recombinant Anti-Synaptopodin antibody (兔单克隆抗体)
¥1900
加入对比
货号: K5453147-100
预测分子量: 100 kDa
观测分子量: 100 kDa
亚细胞定位: 细胞质
别名: Synpo,Kiaa1029,SYNPO
应用 | 种属
WB M
IHC/IF M
规格:
产品信息
蛋白质全称 突触足蛋白
别名 Synpo,Kiaa1029,SYNPO
Uniprot ID Q8CC35
免疫原 KLH偶联的小鼠Synaptopodin合成肽
抗体亚型 IgG, κ
克隆号 SB225
纯化方式 亲和纯化
亚细胞定位 细胞质
预测分子量./观测分子量. 100 kDa / 100 kDa
应用
WB 免疫印迹
物种:小鼠
稀释比:1:500-1:1000
阳性样品:海马区, 骨骼肌, 脑
IHC/IF 免疫组织化学/免疫荧光
物种:小鼠
稀释比:1:500-1:1000
阳性样品:肾
背景
SYNPO, also known as synaptopodin, is an actin-associated protein in telencephalic dendrites and renal podocytes. SYNPO is tightly associated with the dendritic spine apparatus, and mice lacking the SYNPO gene for synaptopodin do not form a spine apparatus. These SYNPO-null mice also demonstrate an impaired ability to express long-term potentiation as well as deficits in spatial memory tasks, indicating that SYNPO is involved in the regulation of synaptic plasticity. Recent studies suggest that SYNPO is linked to neuronal calcium stores and plays a role in the calcium store-associated ability of neurons to undergo long-term plasticity.
储存条件
储存条件:储存条件在:-20℃下储存一年, 避免反复冻融.
储存缓冲液:含0.15% ProClin300防腐剂, 100 μg/mL牛血清白蛋白和50%甘油的磷酸盐缓冲液.
图像
WB检测Synaptopodin蛋白(货号 K5453147).
样品: 经RIPA裂解液(货号KSG2002)处理的蛋白质.
封闭: 3%脱脂牛奶(货号KSGC310001)溶于TBST溶液, 室温孵育1小时.
—抗: 1: 800稀释, 4℃ 孵育过夜.
二抗: HRP标记山羊抗兔IgG (H+L) (货号KB69909), 1: 5000稀释, 室温孵育1小时.
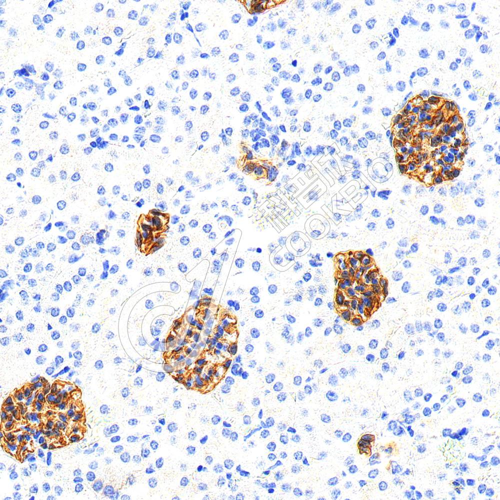
IHC检测Synaptopodin蛋白(货号 K5453147).
样品: 小鼠肾, 4%多聚甲醛 (货号KSG1101) 固定12-24小时.
抗原修复: Tris-EDTA抗原修复液(pH 9.0) (KSG1203), 98℃, 20分钟.
—抗: 1: 800稀释, 4℃ 孵育过夜.
二抗: S-vision免疫组化多聚二抗(山羊抗兔),即用型 (货号KB3906), 室温孵育20分钟.
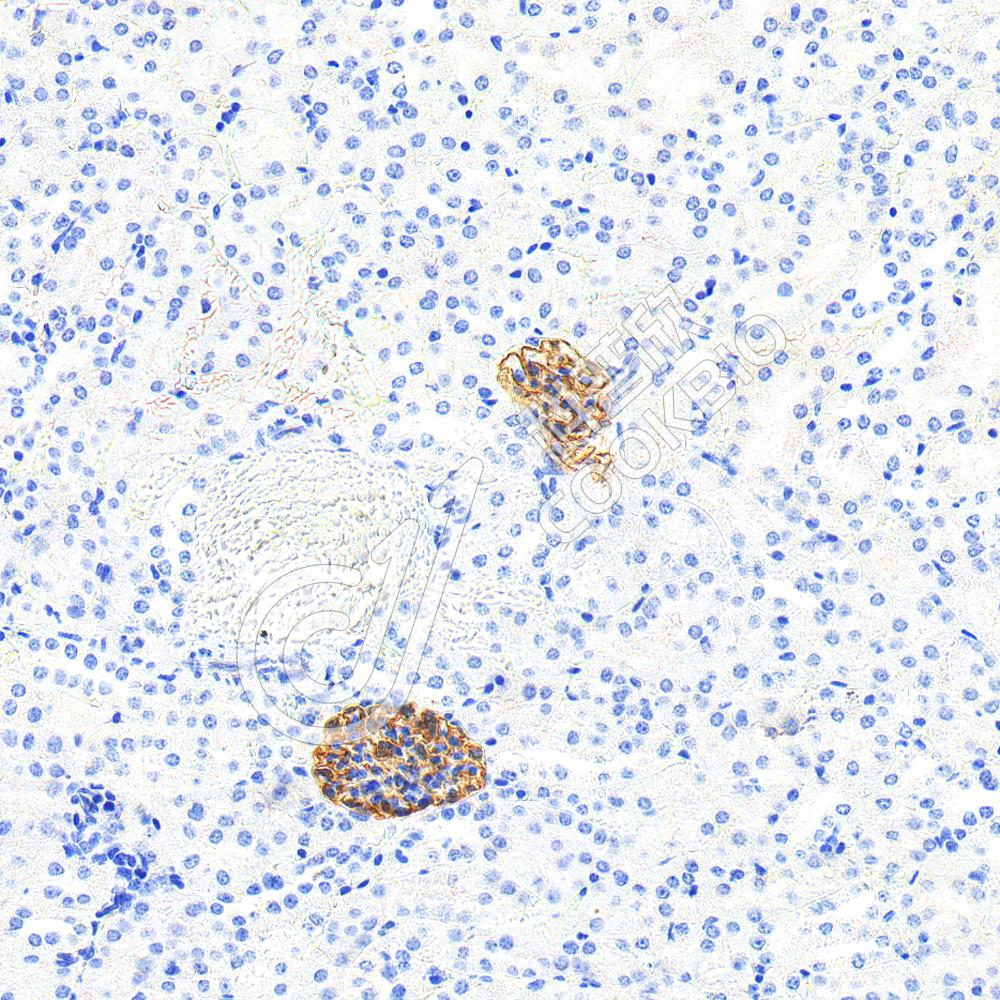
IHC检测Synaptopodin蛋白(货号 K5453147).
样品: 小鼠肾, 4%多聚甲醛 (货号KSG1101) 固定12-24小时.
抗原修复: Tris-EDTA抗原修复液(pH 9.0) (KSG1203), 98℃, 20分钟.
—抗: 1: 800稀释, 4℃ 孵育过夜.
二抗: S-vision免疫组化多聚二抗(山羊抗兔),即用型 (货号KB3906), 室温孵育20分钟.

需要技术支持?

如果您有任何问题或如果您在实验过程中遇到问题,或需要更详细的技术指导,请联系我们的技术支持团队
电话 400-6027-270

联系我们

如果您对我们的公司或产品有任何疑问,欢迎随时联系我们