tel 400-6027-270
Main Image
Recombinant Anti-CD63 antibody (兔单克隆抗体)
¥1900
加入对比
货号: K546860-100
预测分子量: 26 kDa
观测分子量: 25-60 kDa
亚细胞定位: 分泌型, 细胞膜, 晚期内体, 溶酶体, 外泌体
别名: CD63,LAMP-3,ME491,MLA1,OMA81H,TSPAN30,CD63 molecule,Lysosomal associated membrane protein 3,LAMP3,CD63 antigen,NGA,Tetraspanin-30
应用 | 种属
WB M,R
IHC/IF M,R
ICC/IF M,R
规格:
产品信息
蛋白质全称 CD63抗原
别名 CD63,LAMP-3,ME491,MLA1,OMA81H,TSPAN30,CD63 molecule,Lysosomal associated membrane protein 3,LAMP3,CD63 antigen,NGA,Tetraspanin-30
Uniprot ID P41731
免疫原 小鼠CD63重组蛋白
抗体亚型 IgG
克隆号 SB404
纯化方式 亲和纯化
亚细胞定位 分泌型, 细胞膜, 晚期内体, 溶酶体, 外泌体
预测分子量./观测分子量. 26 kDa / 25-60 kDa
应用
WB 免疫印迹
物种:小鼠,大鼠
稀释比:1:700-1:2100
阳性样品:C6细胞
IHC/IF 免疫组织化学/免疫荧光
物种:小鼠,大鼠
稀释比:1:900-1:2700
阳性样品:lps(24h)肺诱导炎症模型, lps(6h)诱导的肺部炎症模型
ICC/IF 免疫细胞化学/免疫荧光
物种:小鼠,大鼠
稀释比:1:900-1:2700
阳性样品:—
背景
CD63 antigen is a protein is a member of the transmembrane 4 superfamily, also known as the tetraspanin family. Most of these members are cell-surface proteins that are characterized by the presence of four hydrophobic domains. The proteins mediate signal transduction events that play a role in the regulation of cell development, activation, growth, and motility. CD63 is a cell surface glycoprotein that is known to complex with integrins.CD63 is mainly associated with membranes of intracellular vesicles, although cell surface expression may be induced.
储存条件
储存条件:储存条件在:-20℃下储存一年, 避免反复冻融.
储存缓冲液:含0.15% ProClin300防腐剂, 100 μg/mL牛血清白蛋白和50%甘油的磷酸盐缓冲液.
图像
WB检测CD63蛋白(货号 K546860).
样品: 经RIPA裂解液(货号KSG2002)处理的蛋白质.
封闭: 3%脱脂牛奶(货号KSGC310001)溶于TBST溶液, 室温孵育1小时.
—抗: 1: 1000稀释, 4℃ 孵育过夜.
二抗: HRP标记山羊抗兔IgG (H+L) (货号KB69909), 1: 5000稀释, 室温孵育1小时.
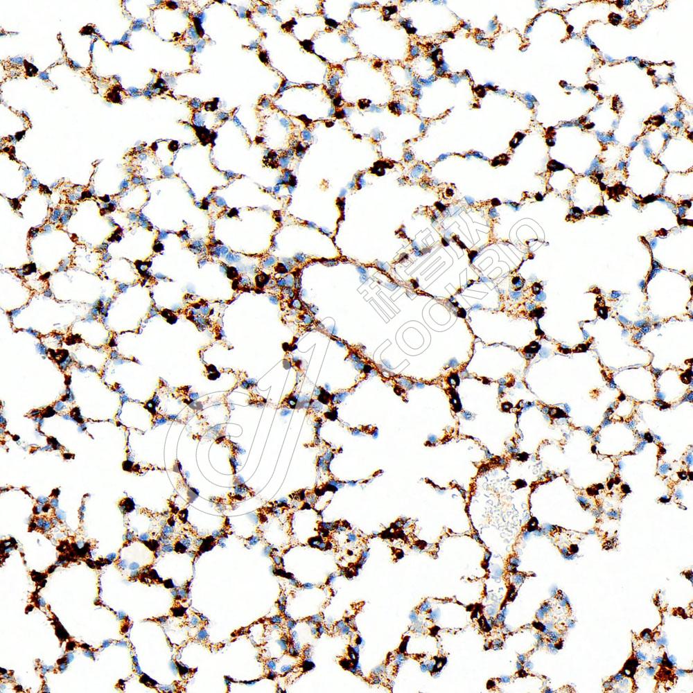
IHC检测CD63蛋白(货号 K546860).
样品: 小鼠lps(24h)肺诱导炎症模型, 4%多聚甲醛 (货号KSG1101) 固定12-24小时.
抗原修复: Tris-EDTA抗原修复液(pH 9.0) (KSG1203), 98℃, 20分钟.
—抗: 1: 1800稀释, 4℃ 孵育过夜.
二抗: S-vision免疫组化多聚二抗(山羊抗兔),即用型 (货号KB3906), 室温孵育20分钟.
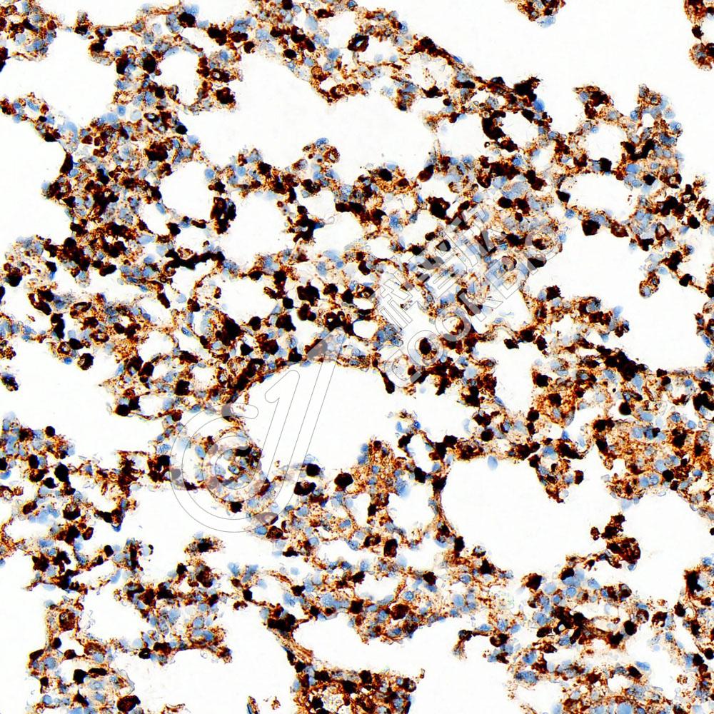
IHC检测CD63蛋白(货号 K546860).
样品: 大鼠lps(6h)诱导的肺部炎症模型, 4%多聚甲醛 (货号KSG1101) 固定12-24小时.
抗原修复: Tris-EDTA抗原修复液(pH 9.0) (KSG1203), 98℃, 20分钟.
—抗: 1: 1800稀释, 4℃ 孵育过夜.
二抗: S-vision免疫组化多聚二抗(山羊抗兔),即用型 (货号KB3906), 室温孵育20分钟.

需要技术支持?

如果您有任何问题或如果您在实验过程中遇到问题,或需要更详细的技术指导,请联系我们的技术支持团队
电话 400-6027-270

联系我们

如果您对我们的公司或产品有任何疑问,欢迎随时联系我们