tel 400-6027-270
Main Image
Recombinant Anti-CD11b antibody (兔单克隆抗体)
¥1900
加入对比
货号: K545174-100
预测分子量: 127 kDa
观测分子量: 170 kDa
亚细胞定位: 细胞膜
别名: CD11B,CR 3 alpha chain,CR3A,ITGAM,MAC 1,MAC1A,MO1A,Neutrophil adherence receptor,SLEB6
应用 | 种属
WB M
IHC/IF H,M,R
规格:
产品信息
蛋白质全称 整合素α-M
别名 CD11B,CR 3 alpha chain,CR3A,ITGAM,MAC 1,MAC1A,MO1A,Neutrophil adherence receptor,SLEB6
Uniprot ID P05555
免疫原 KLH偶联的人CD11b合成肽
抗体亚型 IgG, κ
克隆号 SB132
纯化方式 亲和纯化
亚细胞定位 细胞膜
预测分子量./观测分子量. 127 kDa / 170 kDa
应用
WB 免疫印迹
物种:小鼠
稀释比:1:500-1:1000
阳性样品:脾, 肺
IHC/IF 免疫组织化学/免疫荧光
物种:人,小鼠,大鼠
稀释比:1:500-1:1000
阳性样品:肝, 脾
背景
Integrin ITGAM/ITGB2 is implicated in various adhesive interactions of monocytes, macrophages and granulocytes as well as in mediating the uptake of complement-coated particles and pathogens (By similarity).It is identical with CR-3, the receptor for the iC3b fragment of the third complement component. It probably recognizes the R-G-D peptide in C3b. Integrin ITGAM/ITGB2 is also a receptor for fibrinogen, factor X and ICAM1. It recognizes P1 and P2 peptides of fibrinogen gamma chain. Regulates neutrophil migration. In association with beta subunit ITGB2/CD18, required for CD177-PRTN3-mediated activation of TNF primed neutrophils (By similarity).May regulate phagocytosis-induced apoptosis in extravasated neutrophils (By similarity).May play a role in mast cell development (By similarity).
储存条件
储存条件:储存条件在:-20℃下储存一年, 避免反复冻融.
储存缓冲液:含0.15% ProClin300防腐剂, 100 μg/mL牛血清白蛋白和50%甘油的磷酸盐缓冲液.
图像
WB检测CD11b蛋白(货号 K545174).
样品: 经RIPA裂解液(货号KSG2002)处理的蛋白质.
封闭: 3%脱脂牛奶(货号KSGC310001)溶于TBST溶液, 室温孵育1小时.
—抗: 1: 1000稀释, 4℃ 孵育过夜.
二抗: HRP标记山羊抗兔IgG (H+L) (货号KB69909), 1: 5000稀释, 室温孵育1小时.
IHC检测CD11b蛋白(货号 K545174).
样品: 人肝, 4%多聚甲醛 (货号KSG1101) 固定12-24小时.
抗原修复: 柠檬酸抗原修复液(干粉, pH 6.0) (KSG1201), 高压锅均匀喷气计时2分钟.
—抗: 1: 800稀释, 4℃ 孵育过夜.
二抗: S-vision免疫组化多聚二抗(山羊抗兔),即用型 (货号KB3906), 室温孵育20分钟.
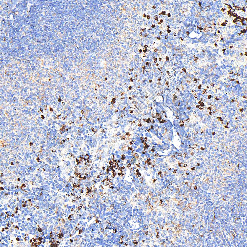
IHC检测CD11b蛋白(货号 K545174).
样品: 小鼠脾, 4%多聚甲醛 (货号KSG1101) 固定12-24小时.
抗原修复: 柠檬酸抗原修复液(干粉, pH 6.0) (KSG1201), 高压锅均匀喷气计时2分钟.
—抗: 1: 800稀释, 4℃ 孵育过夜.
二抗: S-vision免疫组化多聚二抗(山羊抗兔),即用型 (货号KB3906), 室温孵育20分钟.
IHC检测CD11b蛋白(货号 K545174).
样品: 大鼠脾, 4%多聚甲醛 (货号KSG1101) 固定12-24小时.
抗原修复: 柠檬酸抗原修复液(干粉, pH 6.0) (KSG1201), 高压锅均匀喷气计时2分钟.
—抗: 1: 800稀释, 4℃ 孵育过夜.
二抗: S-vision免疫组化多聚二抗(山羊抗兔),即用型 (货号KB3906), 室温孵育20分钟.

需要技术支持?

如果您有任何问题或如果您在实验过程中遇到问题,或需要更详细的技术指导,请联系我们的技术支持团队
电话 400-6027-270

联系我们

如果您对我们的公司或产品有任何疑问,欢迎随时联系我们