tel 400-6027-270
Main Image
Anti-CD32 兔多克隆抗体
¥1900
加入对比
货号: K1344499-100
预测分子量: 34 kDa
观测分子量: 40-50 kDa
亚细胞定位: 细胞膜
别名: Fc gamma receptor IIB,Fc-gamma RII,Fc-gamma-RIIB,FcRII,IgG Fc receptor II beta,Lymphocyte antigen 17,Ly-17,CD32,Fcgr2,Fcgr2b
应用 | 种属
WB H
IHC/IF H
规格:
产品信息
蛋白质全称 低亲和力免疫球蛋白γ Fc区受体II
别名 Fc gamma receptor IIB,Fc-gamma RII,Fc-gamma-RIIB,FcRII,IgG Fc receptor II beta,Lymphocyte antigen 17,Ly-17,CD32,Fcgr2,Fcgr2b
Uniprot ID P31994
免疫原 人CD32重组蛋白
抗体亚型 IgG
纯化方式 亲和纯化
亚细胞定位 细胞膜
预测分子量./观测分子量. 34 kDa / 40-50 kDa
应用
WB 免疫印迹
物种:人
稀释比:1:500-1:1000
阳性样品:Raji细胞
IHC/IF 免疫组织化学/免疫荧光
物种:人
稀释比:1:400-1:800
阳性样品:弥漫性大B细胞淋巴瘤, 肝, 脾
背景
Receptor for the Fc region of complexed immunoglobulins gamma. Low affinity receptor. Involved in a variety of effector and regulatory functions such as phagocytosis of antigen-antibody complexes from the circulation and modulation of antibody production by B-cells. Isoform IIB1 and isoform IIB1' form caps but fail to mediate endocytosis or phagocytosis. Isoform IIB2 can mediate the endocytosis of soluble immune complexes via clathrin-coated pits. Isoform IIB1 and isoform IIB2 can down-regulate B-cell, T-cell, and mast cell activation when coaggregated to B-cell receptors for AG (BCR), T-cell receptors for AG (TCR), and Fc receptors, respectively.
储存条件
储存条件:储存条件在:-20℃下储存一年, 避免反复冻融.
储存缓冲液:含0.15% ProClin300防腐剂, 100 μg/mL牛血清白蛋白和50%甘油的磷酸盐缓冲液.
图像
WB检测CD32蛋白(货号 K1344499).
样品: 经RIPA裂解液(货号KSG2002)处理的蛋白质.
封闭: 3%脱脂牛奶(货号KSGC310001)溶于TBST溶液, 室温孵育1小时.
—抗: 1: 1000稀释, 4℃ 孵育过夜.
二抗: HRP标记山羊抗兔IgG (H+L) (货号KB69909), 1: 5000稀释, 室温孵育1小时.
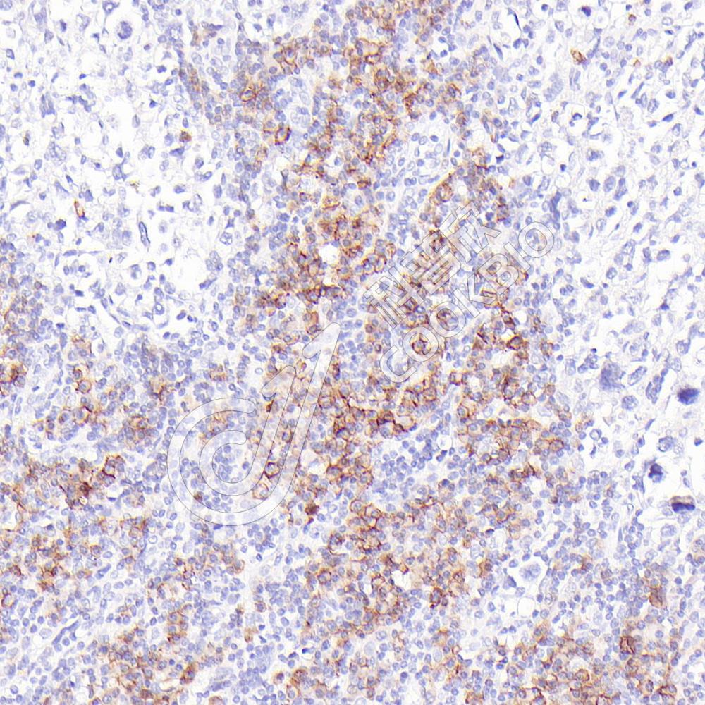
IHC检测CD32蛋白(货号 K1344499).
样品: 人弥漫性大B细胞淋巴瘤, 4%多聚甲醛 (货号KSG1101) 固定12-24小时.
抗原修复: 柠檬酸抗原修复液(干粉, pH 6.0) (KSG1201), 98℃, 20分钟.
—抗: 1: 600稀释, 4℃ 孵育过夜.
二抗: S-vision免疫组化多聚二抗(山羊抗兔),即用型 (货号KB3906), 室温孵育20分钟.
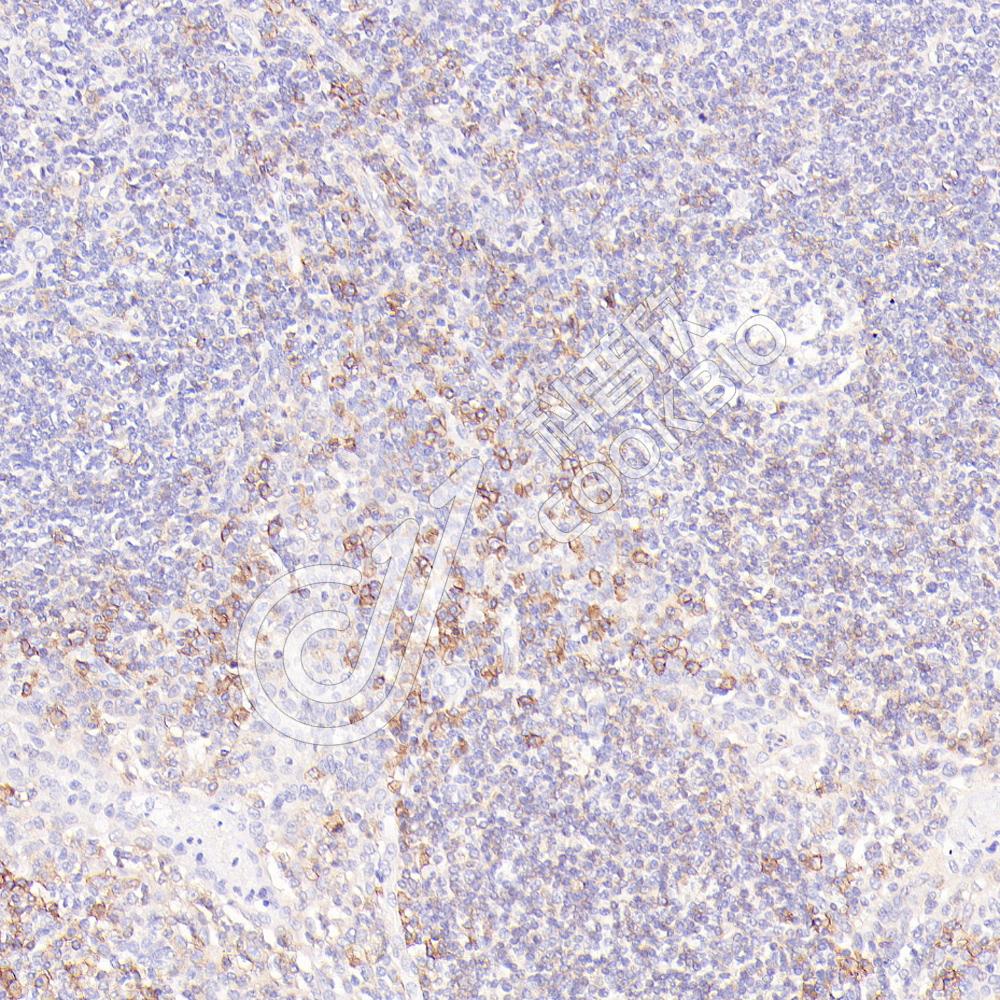
IHC检测CD32蛋白(货号 K1344499).
样品: 人扁桃体, 4%多聚甲醛 (货号KSG1101) 固定12-24小时.
抗原修复: 柠檬酸抗原修复液(干粉, pH 6.0) (KSG1201), 98℃, 20分钟.
—抗: 1: 600稀释, 4℃ 孵育过夜.
二抗: S-vision免疫组化多聚二抗(山羊抗兔),即用型 (货号KB3906), 室温孵育20分钟.
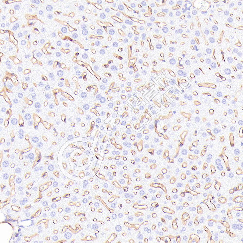
IHC检测CD32蛋白(货号 K1344499).
样品: 小鼠肝, 4%多聚甲醛 (货号KSG1101) 固定12-24小时.
抗原修复: 柠檬酸抗原修复液(干粉, pH 6.0) (KSG1201), 98℃, 20分钟.
—抗: 1: 600稀释, 4℃ 孵育过夜.
二抗: S-vision免疫组化多聚二抗(山羊抗兔),即用型 (货号KB3906), 室温孵育20分钟.
IHC检测CD32蛋白(货号 K1344499).
样品: 小鼠脾, 4%多聚甲醛 (货号KSG1101) 固定12-24小时.
抗原修复: 柠檬酸抗原修复液(干粉, pH 6.0) (KSG1201), 98℃, 20分钟.
—抗: 1: 600稀释, 4℃ 孵育过夜.
二抗: S-vision免疫组化多聚二抗(山羊抗兔),即用型 (货号KB3906), 室温孵育20分钟.

需要技术支持?

如果您有任何问题或如果您在实验过程中遇到问题,或需要更详细的技术指导,请联系我们的技术支持团队
电话 400-6027-270

联系我们

如果您对我们的公司或产品有任何疑问,欢迎随时联系我们