tel 400-6027-270
Main Image
Anti-CD74 兔多克隆抗体
¥1900
加入对比
货号: K1345525-100
预测分子量: 32 kDa
观测分子量: 30-45 kDa
亚细胞定位: 细胞膜, 内体, 溶酶体, 高尔基体, 内质网
别名: CD74,DHLAG,HLADG,Ia GAMMA,Ii,p33,CLIP,HLA-DR antigens-associated invariant chain,Ia antigen-associated invariant chain,MHC class II-associated invariant chain
应用 | 种属
WB M
IHC/IF M
规格:
产品信息
蛋白质全称 H-2 II类组织相容性抗原γ链
别名 CD74,DHLAG,HLADG,Ia GAMMA,Ii,p33,CLIP,HLA-DR antigens-associated invariant chain,Ia antigen-associated invariant chain,MHC class II-associated invariant chain
Uniprot ID P04441
免疫原 小鼠CD74重组蛋白
抗体亚型 IgG
纯化方式 亲和纯化
亚细胞定位 细胞膜, 内体, 溶酶体, 高尔基体, 内质网
预测分子量./观测分子量. 32 kDa / 30-45 kDa
应用
WB 免疫印迹
物种:小鼠
稀释比:1:300-1:600
阳性样品:—
IHC/IF 免疫组织化学/免疫荧光
物种:小鼠
稀释比:1:500-1:1000
阳性样品:淋巴结, 抗原刺激脾脏模型
背景
CD74, also known as the MHC class II associated invariant chain (Ii), is a type II transmembrane protein which binds to the peptide binding groove of newly synthesized MHC class II alpha/beta heterodimers and prevents their premature association with endogenous polypeptides. CD74 is produced in molar excess over MHC class II and some of this is expressed by an unknown pathway on the cell surface independent of or in association with MHC class II molecules. The half life of CD74 on the cell surface is only 3 to 4 min after which it is internalized.
储存条件
储存条件:储存条件在:-20℃下储存一年, 避免反复冻融.
储存缓冲液:含0.15% ProClin300防腐剂, 100 μg/mL牛血清白蛋白和50%甘油的磷酸盐缓冲液.
图像
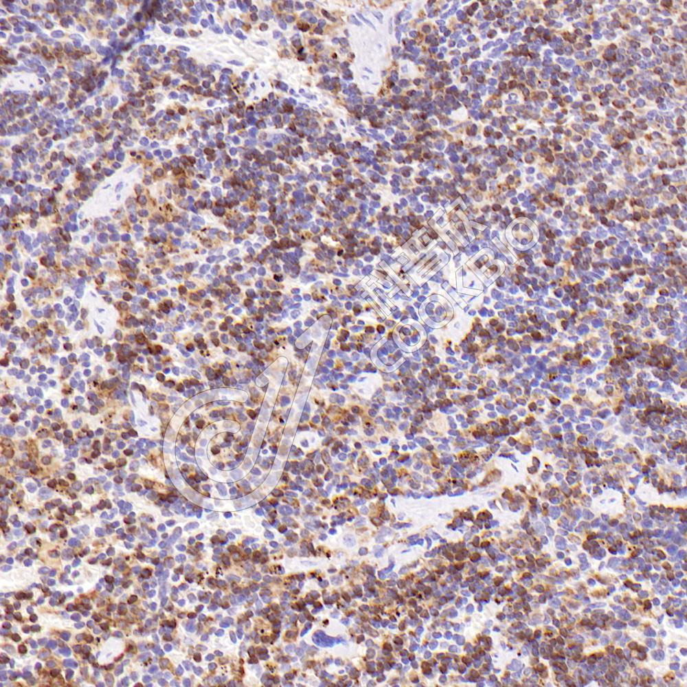
IHC检测CD74蛋白(货号 K1345525).
样品: 小鼠淋巴结, 4%多聚甲醛 (货号KSG1101) 固定12-24小时.
抗原修复: 柠檬酸抗原修复液(干粉, pH 6.0) (KSG1201), 98℃, 20分钟.
—抗: 1: 800稀释, 4℃ 孵育过夜.
二抗: S-vision免疫组化多聚二抗(山羊抗兔),即用型 (货号KB3906), 室温孵育20分钟.
CD74_d500_WB
IHC检测CD74蛋白(货号 K1345525).
样品: 小鼠抗原刺激脾脏模型, 4%多聚甲醛 (货号KSG1101) 固定12-24小时.
抗原修复: 柠檬酸抗原修复液(干粉, pH 6.0) (KSG1201), 98℃, 20分钟.
—抗: 1: 800稀释, 4℃ 孵育过夜.
二抗: S-vision免疫组化多聚二抗(山羊抗兔),即用型 (货号KB3906), 室温孵育20分钟.

需要技术支持?

如果您有任何问题或如果您在实验过程中遇到问题,或需要更详细的技术指导,请联系我们的技术支持团队
电话 400-6027-270

联系我们

如果您对我们的公司或产品有任何疑问,欢迎随时联系我们