tel 400-6027-270
Main Image
Anti-CD38 兔多克隆抗体
¥1900
加入对比
货号: K1344493-100
预测分子量: 34 kDa
观测分子量: 45 kDa
亚细胞定位: 细胞膜
别名: ADP ribosyl cyclase 1,cADPr hydrolase 1,CD38,CD38 molecule,Cyclic ADP ribose hydrolase 1,T10
应用 | 种属
WB H
IHC/IF H
规格:
产品信息
蛋白质全称 ADP-核糖基环化酶/环状 ADP-核糖水解酶
别名 ADP ribosyl cyclase 1,cADPr hydrolase 1,CD38,CD38 molecule,Cyclic ADP ribose hydrolase 1,T10
Uniprot ID P28907
免疫原 人CD38重组蛋白
抗体亚型 IgG
纯化方式 亲和纯化
亚细胞定位 细胞膜
预测分子量./观测分子量. 34 kDa / 45 kDa
应用
WB 免疫印迹
物种:人
稀释比:1:500-1:1000
阳性样品:THP-1细胞, Jurkat细胞
IHC/IF 免疫组织化学/免疫荧光
物种:人
稀释比:1:1000-1:2000
阳性样品:嗅神经母细胞瘤, 扁桃体
背景
CD38 molecule(CD38) Homo sapiens The protein encoded by this gene is a non-lineage-restricted, type II transmembrane glycoprotein that synthesizes and hydrolyzes cyclic adenosine 5'-diphosphate-ribose, an intracellular calcium ion mobilizing messenger. The release of soluble protein and the ability of membrane-bound protein to become internalized indicate both extracellular and intracellular functions for the protein. This protein has an N-terminal cytoplasmic tail, a single membrane-spanning domain, and a C-terminal extracellular region with four N-glycosylation sites. Crystal structure analysis demonstrates that the functional molecule is a dimer, with the central portion containing the catalytic site. It is used as a prognostic marker for patients with chronic lymphocytic leukemia.
储存条件
储存条件:储存条件在:-20℃下储存一年, 避免反复冻融.
储存缓冲液:含0.15% ProClin300防腐剂, 100 μg/mL牛血清白蛋白和50%甘油的磷酸盐缓冲液.
图像
WB检测CD38蛋白(货号 K1344493).
样品: 经RIPA裂解液(货号KSG2002)处理的蛋白质.
封闭: 3%脱脂牛奶(货号KSGC310001)溶于TBST溶液, 室温孵育1小时.
—抗: 1: 1000稀释, 4℃ 孵育过夜.
二抗: HRP标记山羊抗兔IgG (H+L) (货号KB69909), 1: 5000稀释, 室温孵育1小时.
IHC检测CD38蛋白(货号 K1344493).
样品: 人嗅神经母细胞瘤, 4%多聚甲醛 (货号KSG1101) 固定12-24小时.
抗原修复: 柠檬酸抗原修复液(干粉, pH 6.0) (KSG1201), 98℃, 20分钟.
—抗: 1: 1500稀释, 4℃ 孵育过夜.
二抗: S-vision免疫组化多聚二抗(山羊抗兔),即用型 (货号KB3906), 室温孵育20分钟.
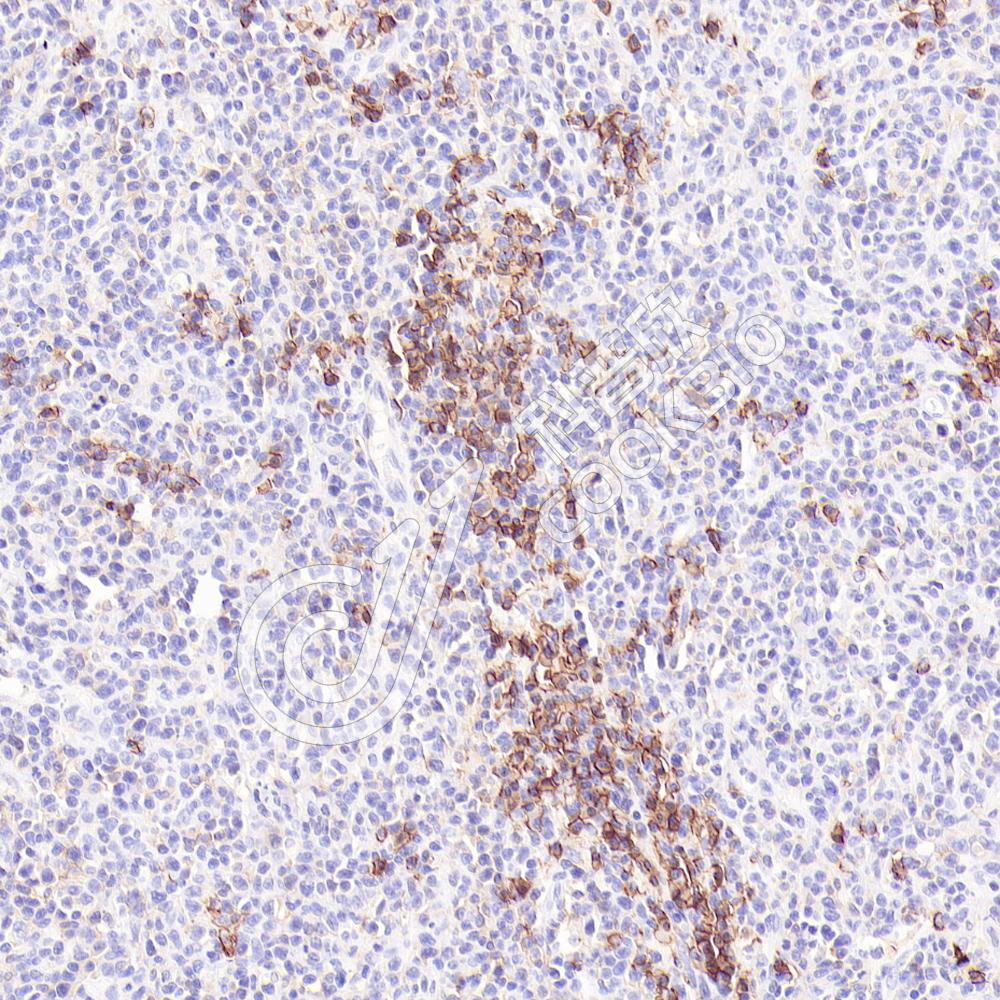
IHC检测CD38蛋白(货号 K1344493).
样品: 人扁桃体, 4%多聚甲醛 (货号KSG1101) 固定12-24小时.
抗原修复: 柠檬酸抗原修复液(干粉, pH 6.0) (KSG1201), 98℃, 20分钟.
—抗: 1: 1500稀释, 4℃ 孵育过夜.
二抗: S-vision免疫组化多聚二抗(山羊抗兔),即用型 (货号KB3906), 室温孵育20分钟.

需要技术支持?

如果您有任何问题或如果您在实验过程中遇到问题,或需要更详细的技术指导,请联系我们的技术支持团队
电话 400-6027-270

联系我们

如果您对我们的公司或产品有任何疑问,欢迎随时联系我们