tel 400-6027-270
Main Image
Recombinant Anti-CD44 antibody (小鼠单克隆抗体)
¥1900
加入对比
货号: K5456162-100
亚细胞定位: 细胞膜
别名: CD44,CDW44,CSPG8,ECMR III,Epican,HCELL,Heparan sulfate proteoglycan,Hermes antigen,HUTCH I,Hyaluronate receptor,IN,MC56,MDU2,MDU3,MIC4,MUTCH I,PGP-1,PGP I,Pgp1,Phagocytic glycoprotein I,GP90 lymphocyte homing/adhesion receptor
应用 | 种属
IHC/IF H
规格:
产品信息
蛋白质全称 CD44抗原
别名 CD44,CDW44,CSPG8,ECMR III,Epican,HCELL,Heparan sulfate proteoglycan,Hermes antigen,HUTCH I,Hyaluronate receptor,IN,MC56,MDU2,MDU3,MIC4,MUTCH I,PGP-1,PGP I,Pgp1,Phagocytic glycoprotein I,GP90 lymphocyte homing/adhesion receptor
Uniprot ID P16070
免疫原 人CD44重组蛋白
抗体亚型 IgG1, κ
克隆号 SB138
纯化方式 亲和纯化
亚细胞定位 细胞膜
应用
IHC/IF 免疫组织化学/免疫荧光
物种:人
稀释比:1:500-1:1000
阳性样品:结肠, 肾
背景
CD44 is a type I transmembrane glycoprotein that mediates cell-cell and cell-matrix interactions through its affinity for hyaluronic acid (HA) and possibly also through its affinity for other ligands. Adhesion with HA plays an important role in cell migration, tumor growth and progression. CD44 is also involved in lymphocyte activation, recirculation and homing, and in hematopoiesis.
储存条件
储存条件:储存条件在:-20℃下储存一年, 避免反复冻融.
储存缓冲液:含0.15% ProClin300防腐剂, 100 μg/mL牛血清白蛋白和50%甘油的磷酸盐缓冲液.
图像
IHC检测CD44蛋白(货号 K5456162).
样品: 人结肠, 4%多聚甲醛 (货号KSG1101) 固定12-24小时.
抗原修复: 柠檬酸抗原修复液(干粉, pH 6.0) (KSG1201), 高压锅均匀喷气计时2分钟.
—抗: 1: 800稀释, 4℃ 孵育过夜.
二抗: S-vision免疫组化多聚二抗(山羊抗小鼠), 即用型(货号KB3903), 室温孵育20分钟.
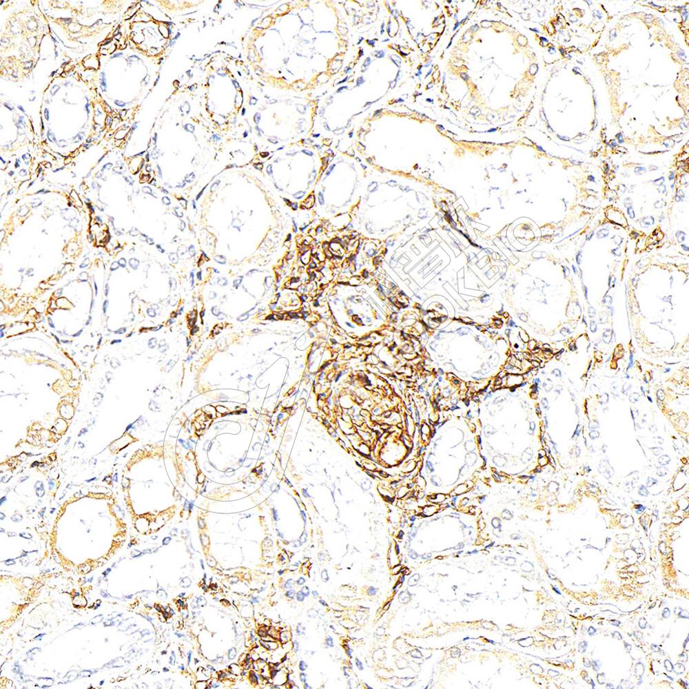
IHC检测CD44蛋白(货号 K5456162).
样品: 人肾, 4%多聚甲醛 (货号KSG1101) 固定12-24小时.
抗原修复: 柠檬酸抗原修复液(干粉, pH 6.0) (KSG1201), 高压锅均匀喷气计时2分钟.
—抗: 1: 800稀释, 4℃ 孵育过夜.
二抗: S-vision免疫组化多聚二抗(山羊抗小鼠), 即用型(货号KB3903), 室温孵育20分钟.

需要技术支持?

如果您有任何问题或如果您在实验过程中遇到问题,或需要更详细的技术指导,请联系我们的技术支持团队
电话 400-6027-270

联系我们

如果您对我们的公司或产品有任何疑问,欢迎随时联系我们