tel 400-6027-270
Main Image
Recombinant Anti-Histone H1.5 antibody (小鼠单克隆抗体)
¥1900
加入对比
货号: K5450486-100
预测分子量: 22 kDa
观测分子量: 32 kDa
亚细胞定位: 细胞核
别名: H1F5,HIST1H1B,H1-5,Histone H1a,Histone H1b,Histone H1s-3,histone cluster 1,H1b
应用 | 种属
WB H
IHC/IF H
规格:
产品信息
蛋白质全称 组蛋白H1.5
别名 H1F5,HIST1H1B,H1-5,Histone H1a,Histone H1b,Histone H1s-3,histone cluster 1,H1b
Uniprot ID P16401
免疫原 KLH偶联的人Histone H1.5合成肽
抗体亚型 IgG1, κ
克隆号 SB632 3A4G8
纯化方式 亲和纯化
亚细胞定位 细胞核
预测分子量./观测分子量. 22 kDa / 32 kDa
应用
WB 免疫印迹
物种:人
稀释比:1:1000-1:2000
阳性样品:—
IHC/IF 免疫组织化学/免疫荧光
物种:人
稀释比:1:500-1:1000
阳性样品:乳腺癌, 结肠癌
背景
Histone H1.5 is a member of the histone H1 family.Histone H1 protein binds to linker DNA between nucleosomes forming the macromolecular structure known as the chromatin fiber. Histones H1 are necessary for the condensation of nucleosome chains into higher-order structured fibers. Also acts as a regulator of individual gene transcription through chromatin remodeling, nucleosome spacing and DNA methylation .
储存条件
储存条件:储存条件在:-20℃下储存一年, 避免反复冻融.
储存缓冲液:含0.15% ProClin300防腐剂, 100 μg/mL牛血清白蛋白和50%甘油的磷酸盐缓冲液.
图像
IHC检测Histone H1.
5蛋白(货号 K5450486).
样品: 人乳腺癌, 4%多聚甲醛 (货号KSG1101) 固定12-24小时.
抗原修复: 柠檬酸抗原修复液(干粉, pH 6.0) (KSG1201), 高压锅均匀喷气计时2分钟.
—抗: 1: 800稀释, 4℃ 孵育过夜.
二抗: S-vision免疫组化多聚二抗(山羊抗小鼠), 即用型(货号KB3903), 室温孵育20分钟.
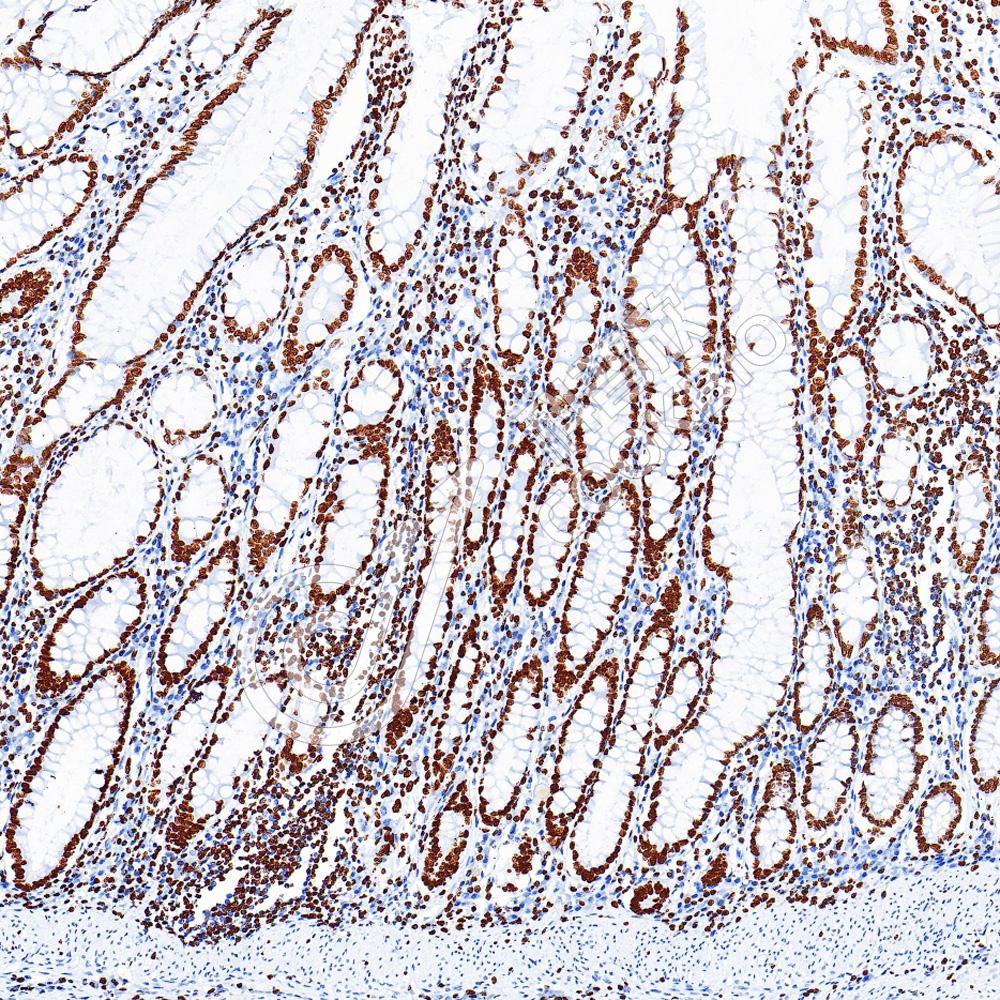
IHC检测Histone H1.
5蛋白(货号 K5450486).
样品: 人结肠癌, 4%多聚甲醛 (货号KSG1101) 固定12-24小时.
抗原修复: 柠檬酸抗原修复液(干粉, pH 6.0) (KSG1201), 高压锅均匀喷气计时2分钟.
—抗: 1: 800稀释, 4℃ 孵育过夜.
二抗: S-vision免疫组化多聚二抗(山羊抗小鼠), 即用型(货号KB3903), 室温孵育20分钟.

需要技术支持?

如果您有任何问题或如果您在实验过程中遇到问题,或需要更详细的技术指导,请联系我们的技术支持团队
电话 400-6027-270

联系我们

如果您对我们的公司或产品有任何疑问,欢迎随时联系我们