tel 400-6027-270
Main Image
Recombinant Anti-AMPK alpha 1 antibody (兔单克隆抗体)
¥1900
加入对比
货号: K5450072-100
预测分子量: 64 kDa
观测分子量: 64 kDa
亚细胞定位: 细胞质, 细胞核
别名: AMPK subunit alpha-1,Acetyl-CoA carboxylase kinase,ACACA kinase,Hydroxymethylglutaryl-CoA reductase kinase,HMGCR kinase,Tau-protein kinase PRKAA1,PRKAA1,AMPK1
应用 | 种属
WB H,M,R
IHC/IF H,M,R
规格:
产品信息
蛋白质全称 5'-AMP激活的蛋白激酶催化亚基α-1
别名 AMPK subunit alpha-1,Acetyl-CoA carboxylase kinase,ACACA kinase,Hydroxymethylglutaryl-CoA reductase kinase,HMGCR kinase,Tau-protein kinase PRKAA1,PRKAA1,AMPK1
Uniprot ID Q13131
免疫原 人AMPK alpha 1重组蛋白
抗体亚型 IgG, κ
克隆号 SB241
纯化方式 亲和纯化
亚细胞定位 细胞质, 细胞核
预测分子量./观测分子量. 64 kDa / 64 kDa
应用
WB 免疫印迹
物种:人,小鼠,大鼠
稀释比:1:1000-1:3000
阳性样品:—
IHC/IF 免疫组织化学/免疫荧光
物种:人,小鼠,大鼠
稀释比:1:300-1:900
阳性样品:结肠癌, 肾癌
背景
The mammalian 5-prime-AMP-activated protein kinase (AMPK) appears to play a role in protecting cells from stresses that cause ATP depletion by switching off ATP-consuming biosynthetic pathways. PRKAA1 is also named as AMPK1, ACACA kinase, HMGCR kinase. It is a mammalian homologue of sucrose non-fermenting protein kinase (SNF-1), which belongs to a serine/threonine protein kinase family. It has 2 isoforms with molecular mass of 63-66 kDa produced by alternative splicing.
储存条件
储存条件:储存条件在:-20℃下储存一年, 避免反复冻融.
储存缓冲液:含0.15% ProClin300防腐剂, 100 μg/mL牛血清白蛋白和50%甘油的磷酸盐缓冲液.
图像
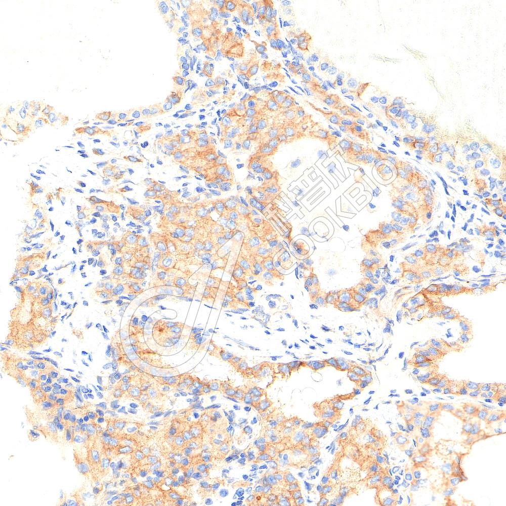
IHC检测AMPK alpha 1蛋白(货号 K5450072).
样品: 人结肠癌, 4%多聚甲醛 (货号KSG1101) 固定12-24小时.
抗原修复: Tris-EDTA抗原修复液(pH 9.0) (KSG1203), 98℃, 20分钟.
—抗: 1: 600稀释, 4℃ 孵育过夜.
二抗: S-vision免疫组化多聚二抗(山羊抗兔),即用型 (货号KB3906), 室温孵育20分钟.
IHC检测AMPK alpha 1蛋白(货号 K5450072).
样品: 人肾癌, 4%多聚甲醛 (货号KSG1101) 固定12-24小时.
抗原修复: Tris-EDTA抗原修复液(pH 9.0) (KSG1203), 98℃, 20分钟.
—抗: 1: 600稀释, 4℃ 孵育过夜.
二抗: S-vision免疫组化多聚二抗(山羊抗兔),即用型 (货号KB3906), 室温孵育20分钟.

需要技术支持?

如果您有任何问题或如果您在实验过程中遇到问题,或需要更详细的技术指导,请联系我们的技术支持团队
电话 400-6027-270

联系我们

如果您对我们的公司或产品有任何疑问,欢迎随时联系我们