tel 400-6027-270
Main Image
Recombinant Anti-COX IV antibody (兔单克隆抗体)
¥1900
加入对比
货号: K5450039-100
预测分子量: 20 kDa
观测分子量: 17 kDa
亚细胞定位: 线粒体内膜
别名: Cytochrome c oxidase polypeptide IV,Cytochrome c oxidase subunit IV isoform 1,COX IV-1,Cox4i1,Cox4,Cox4a,COX4I1,COX4,COX4-1,COXIV,COXIV-1,COXIV-1,cytochrome c oxidase subunit 4I1
应用 | 种属
WB M,R
IHC/IF M,R
规格:
产品信息
蛋白质全称 线粒体细胞色素c氧化酶亚基4异构体1
别名 Cytochrome c oxidase polypeptide IV,Cytochrome c oxidase subunit IV isoform 1,COX IV-1,Cox4i1,Cox4,Cox4a,COX4I1,COX4,COX4-1,COXIV,COXIV-1,COXIV-1,cytochrome c oxidase subunit 4I1
Uniprot ID P19783
免疫原 小鼠COX IV重组蛋白
抗体亚型 IgG, κ
克隆号 SB197
纯化方式 亲和纯化
亚细胞定位 线粒体内膜
预测分子量./观测分子量. 20 kDa / 17 kDa
应用
WB 免疫印迹
物种:小鼠,大鼠
稀释比:1:500-1:1000
阳性样品:—
IHC/IF 免疫组织化学/免疫荧光
物种:小鼠,大鼠
稀释比:1:250-1:1000
阳性样品:肾
背景

COX4I1, also named as COX4 and COXIV-1, belongs to the cytochrome c oxidase IV family. It is one of the nuclear-coded polypeptide chains of cytochrome c oxidase, the terminal oxidase in mitochondrial electron transport. COX4I1 is a marker for mitochondria. It has two isoforms (isoform 1 and 2). Isoform 1(COX4I1) is ubiquitously expressed and isoform 2 is highly expressed in lung tissues. COX4I1 is commonly used as a loading control. This antibody was generated against full length COX4I1 protein and cross reacts with COX4I2.                                        

储存条件
储存条件:储存条件在:-20℃下储存一年, 避免反复冻融.
储存缓冲液:含0.15% ProClin300防腐剂, 100 μg/mL牛血清白蛋白和50%甘油的磷酸盐缓冲液.
图像
K5450039_COX IV_d2000_WB.jpg
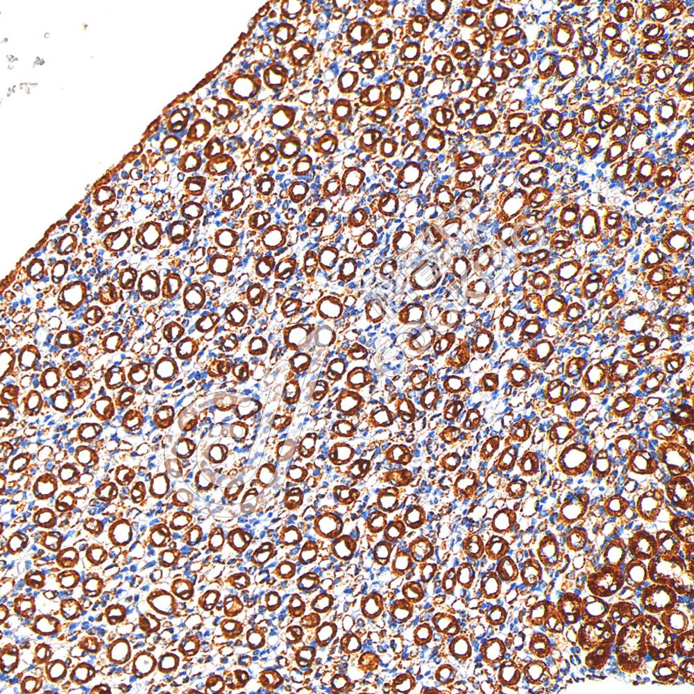
IHC检测COX IV蛋白(货号 K5450039).
样品: 大鼠肾, 4%多聚甲醛 (货号KSG1101) 固定12-24小时.
抗原修复: 柠檬酸抗原修复液(干粉, pH 6.0) (KSG1201), 高压锅均匀喷气计时2分钟.
—抗: 1: 600稀释, 4℃ 孵育过夜.
二抗: S-vision免疫组化多聚二抗(山羊抗兔),即用型 (货号KB3906), 室温孵育20分钟.
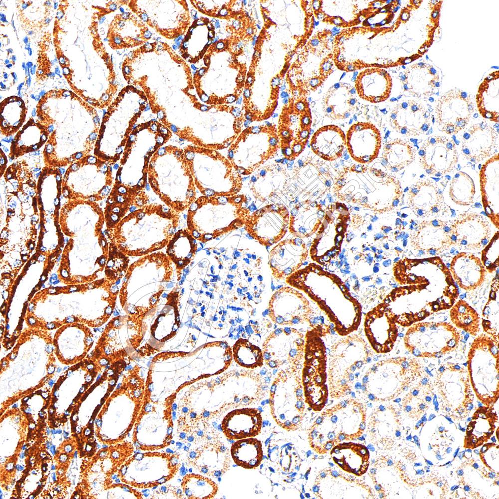
IHC检测COX IV蛋白(货号 K5450039).
样品: 小鼠肾, 4%多聚甲醛 (货号KSG1101) 固定12-24小时.
抗原修复: 柠檬酸抗原修复液(干粉, pH 6.0) (KSG1201), 高压锅均匀喷气计时2分钟.
—抗: 1: 600稀释, 4℃ 孵育过夜.
二抗: S-vision免疫组化多聚二抗(山羊抗兔),即用型 (货号KB3906), 室温孵育20分钟.

需要技术支持?

如果您有任何问题或如果您在实验过程中遇到问题,或需要更详细的技术指导,请联系我们的技术支持团队
电话 400-6027-270

联系我们

如果您对我们的公司或产品有任何疑问,欢迎随时联系我们