tel 400-6027-270
Main Image
Anti-SUCLG2 兔多克隆抗体
¥1900
加入对比
货号: K1338325-100
预测分子量: 47 kDa
观测分子量: 47 kDa
亚细胞定位: 线粒体
别名: GTP-specific succinyl-CoA synthetase subunit beta,G-SCS,GTPSCS,Succinyl-CoA synthetase beta-G chain,SCS-betaG,Suclg2
应用 | 种属
WB H,M,R
IHC/IF H,M,R
规格:
产品信息
蛋白质全称 琥珀酰辅酶A连接酶β亚基(GDP形成型)
别名 GTP-specific succinyl-CoA synthetase subunit beta,G-SCS,GTPSCS,Succinyl-CoA synthetase beta-G chain,SCS-betaG,Suclg2
Uniprot ID Q9Z2I8
免疫原 小鼠SUCLG2重组蛋白
抗体亚型 IgG
纯化方式 亲和纯化
亚细胞定位 线粒体
预测分子量./观测分子量. 47 kDa / 47 kDa
应用
WB 免疫印迹
物种:人,小鼠,大鼠
稀释比:1:2000-1:4000
阳性样品:胸腺
IHC/IF 免疫组织化学/免疫荧光
物种:人,小鼠,大鼠
稀释比:1:600-1:2000
阳性样品:结肠, 肾
背景
GTP-specific succinyl-CoA synthetase functions in the citric acid cycle (TCA), coupling the hydrolysis of succinyl-CoA to the synthesis of GTP and thus represents the only step of substrate-level phosphorylation in the TCA. The beta subunit provides nucleotide specificity of the enzyme and binds the substrate succinate, while the binding sites for coenzyme A and phosphate are found in the alpha subunit.
储存条件
储存条件:储存条件在:-20℃下储存一年, 避免反复冻融.
储存缓冲液:含0.15% ProClin300防腐剂, 100 μg/mL牛血清白蛋白和50%甘油的磷酸盐缓冲液.
图像
WB检测SUCLG2蛋白(货号 K1338325).
样品: 经RIPA裂解液(货号KSG2002)处理的蛋白质.
封闭: 3%脱脂牛奶(货号KSGC310001)溶于TBST溶液, 室温孵育1小时.
—抗: 1: 2000稀释, 4℃ 孵育过夜.
二抗: HRP标记山羊抗兔IgG (H+L) (货号KB69909), 1: 5000稀释, 室温孵育1小时.
IHC检测SUCLG2蛋白(货号 K1338325).
样品: 人结肠, 4%多聚甲醛 (货号KSG1101) 固定12-24小时.
抗原修复: 柠檬酸抗原修复液(干粉, pH 6.0) (KSG1201), 98℃, 20分钟.
—抗: 1: 1300稀释, 4℃ 孵育过夜.
二抗: S-vision免疫组化多聚二抗(山羊抗兔),即用型 (货号KB3906), 室温孵育20分钟.
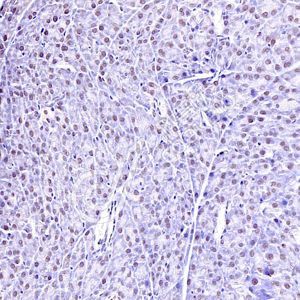
IHC检测SUCLG2蛋白(货号 K1338325).
样品: 大鼠肾, 4%多聚甲醛 (货号KSG1101) 固定12-24小时.
抗原修复: 柠檬酸抗原修复液(干粉, pH 6.0) (KSG1201), 98℃, 20分钟.
—抗: 1: 1300稀释, 4℃ 孵育过夜.
二抗: S-vision免疫组化多聚二抗(山羊抗兔),即用型 (货号KB3906), 室温孵育20分钟.

需要技术支持?

如果您有任何问题或如果您在实验过程中遇到问题,或需要更详细的技术指导,请联系我们的技术支持团队
电话 400-6027-270

联系我们

如果您对我们的公司或产品有任何疑问,欢迎随时联系我们