tel 400-6027-270
Main Image
Recombinant Anti-alpha 1 Fetoprotein antibody (兔单克隆抗体)
¥1900
加入对比
货号: K545861-100
预测分子量: 69 kDa
观测分子量: 68-72 kDa
亚细胞定位: 分泌型, 细胞质
别名: AFP,Alpha 1 fetoprotein,Alpha fetoglobulin,alpha fetoprotein,FETA,HPAFP,AFPD
应用 | 种属
WB H,M,R
IHC/IF H
规格:
产品信息
蛋白质全称 甲胎蛋白
别名 AFP,Alpha 1 fetoprotein,Alpha fetoglobulin,alpha fetoprotein,FETA,HPAFP,AFPD
Uniprot ID P02771
免疫原 KLH偶联的人AFP合成肽
抗体亚型 IgG, κ
克隆号 SB202
纯化方式 亲和纯化
亚细胞定位 分泌型, 细胞质
预测分子量./观测分子量. 69 kDa / 68-72 kDa
应用
WB 免疫印迹
物种:人,小鼠,大鼠
稀释比:1:500-1:1000
阳性样品:—
IHC/IF 免疫组织化学/免疫荧光
物种:人
稀释比:1:300-1:1200
阳性样品:肝癌
背景
AFP, also known as Alpha-fetoprotein, is a major plasma protein in the fetus and its concentration is very low in the adult. So AFP is usually considered a marker of hepatocyte precursors. AFP can be detected at abnormally high concentrations in hepatocellular carcinomas as well as in the plasma and ascitic fluid of adults with hepatoma. High AFP concentrations have been correlated with tumor cell growth, indicating that AFP can serve as a tumor marker.
储存条件
储存条件:储存条件在:-20℃下储存一年, 避免反复冻融.
储存缓冲液:含0.15% ProClin300防腐剂, 100 μg/mL牛血清白蛋白和50%甘油的磷酸盐缓冲液.
图像
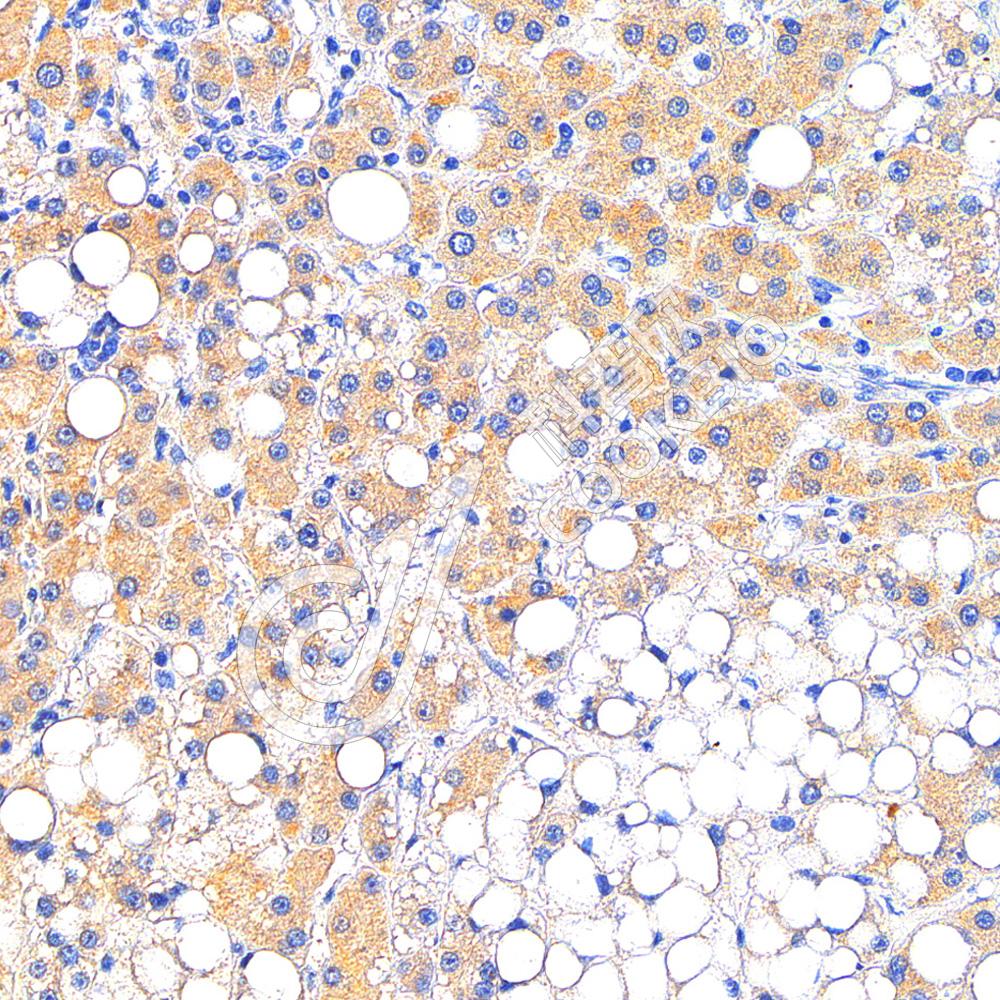
IHC检测alpha 1 Fetoprotein蛋白(货号 K545861).
样品: 人肝癌, 4%多聚甲醛 (货号KSG1101) 固定12-24小时.
抗原修复: 柠檬酸抗原修复液(干粉, pH 6.0) (KSG1201), 高压锅均匀喷气计时2分钟.
—抗: 1: 800稀释, 4℃ 孵育过夜.
二抗: S-vision免疫组化多聚二抗(山羊抗兔),即用型 (货号KB3906), 室温孵育20分钟.
IHC检测alpha 1 Fetoprotein蛋白(货号 K545861).
样品: 人肝癌, 4%多聚甲醛 (货号KSG1101) 固定12-24小时.
抗原修复: 柠檬酸抗原修复液(干粉, pH 6.0) (KSG1201), 高压锅均匀喷气计时2分钟.
—抗: 1: 800稀释, 4℃ 孵育过夜.
二抗: S-vision免疫组化多聚二抗(山羊抗兔),即用型 (货号KB3906), 室温孵育20分钟.

需要技术支持?

如果您有任何问题或如果您在实验过程中遇到问题,或需要更详细的技术指导,请联系我们的技术支持团队
电话 400-6027-270

联系我们

如果您对我们的公司或产品有任何疑问,欢迎随时联系我们