tel 400-6027-270
Main Image
Recombinant Anti-Hsp90 antibody (小鼠单克隆抗体)
¥1900
加入对比
货号: K545852-100
预测分子量: 85 kDa
观测分子量: 90 kDa
亚细胞定位: 细胞核, 细胞膜, 细胞质
别名: HSP90AA1,EL52,HSP86,HSP89A,HSP90A,HSP90N,HSPC1,HSPCA,HSPCAL1,HSPCAL4,HSPN,Hsp89,Hsp90,LAP-2,LAP2,HEL-S-65p,Heat shock protein 90kDa alpha
应用 | 种属
WB H,M,R
IHC/IF M,R
规格:
产品信息
蛋白质全称 热休克蛋白HSP90α
别名 HSP90AA1,EL52,HSP86,HSP89A,HSP90A,HSP90N,HSPC1,HSPCA,HSPCAL1,HSPCAL4,HSPN,Hsp89,Hsp90,LAP-2,LAP2,HEL-S-65p,Heat shock protein 90kDa alpha
Uniprot ID P07901
免疫原 KLH偶联的小鼠HSP90A合成肽
抗体亚型 IgG1, κ
克隆号 SB170
纯化方式 亲和纯化
亚细胞定位 细胞核, 细胞膜, 细胞质
预测分子量./观测分子量. 85 kDa / 90 kDa
应用
WB 免疫印迹
物种:人,小鼠,大鼠
稀释比:1:500-1:1000
阳性样品:MCF7细胞
IHC/IF 免疫组织化学/免疫荧光
物种:小鼠,大鼠
稀释比:1:4000-1:8000
阳性样品:肺, 睾丸
背景
Complemented by the constitutively expressed paralog Hsp90B which shares over 85% amino acid sequence identity, Hsp90A expression is initiated when a cell experiences proteotoxic stress. Once expressed Hsp90A dimers operate as molecular chaperones that bind and fold other proteins into their functional 3-dimensional structures. This molecular chaperoning ability of Hsp90A is driven by a cycle of structural rearrangements fueled by ATP hydrolysis. Current research on Hsp90A focuses in its role as a drug target due to its interaction with a large number of tumor promoting proteins and its role in cellular stress adaptation.
储存条件
储存条件:储存条件在:-20℃下储存一年, 避免反复冻融.
储存缓冲液:含0.15% ProClin300防腐剂, 100 μg/mL牛血清白蛋白和50%甘油的磷酸盐缓冲液.
图像
WB检测Hsp90蛋白(货号 K545852).
样品: 经RIPA裂解液(货号KSG2002)处理的蛋白质.
封闭: 3%脱脂牛奶(货号KSGC310001)溶于TBST溶液, 室温孵育1小时.
—抗: 1: 500稀释, 4℃ 孵育过夜.
二抗: HRP标记山羊抗小鼠IgG (H+L) (货号KB69903), 1: 5000稀释, 室温孵育1小时.
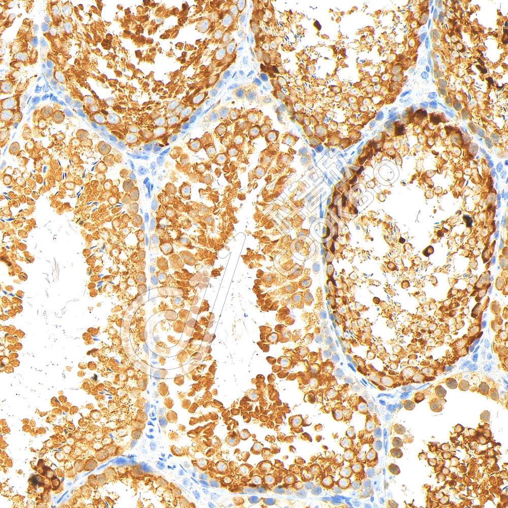
IHC检测Hsp90蛋白(货号 K545852).
样品: 小鼠睾丸, 4%多聚甲醛 (货号KSG1101) 固定12-24小时.
抗原修复: 柠檬酸抗原修复液(干粉, pH 6.0) (KSG1201), 高压锅均匀喷气计时2分钟.
—抗: 1: 6000稀释, 4℃ 孵育过夜.
二抗: S-vision免疫组化多聚二抗(山羊抗小鼠), 即用型(货号KB3903), 室温孵育20分钟.
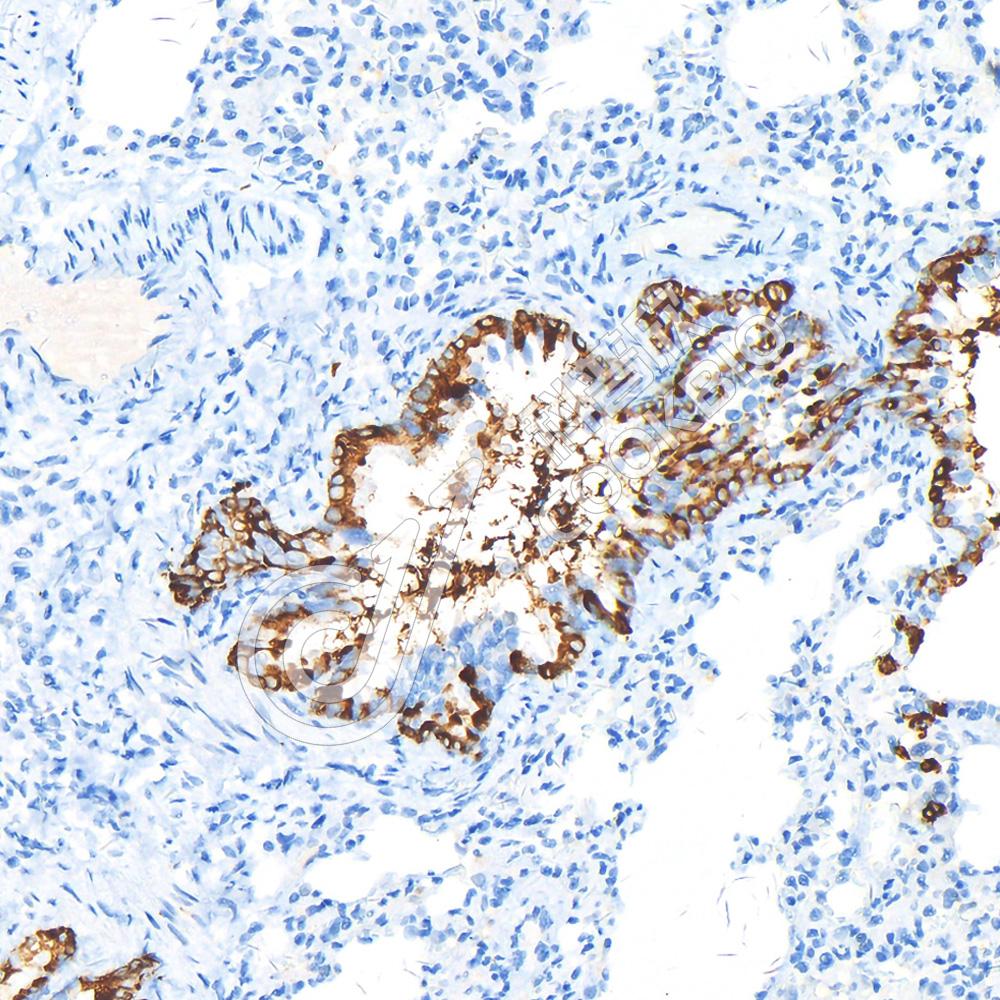
IHC检测Hsp90蛋白(货号 K545852).
样品: 大鼠肺, 4%多聚甲醛 (货号KSG1101) 固定12-24小时.
抗原修复: 柠檬酸抗原修复液(干粉, pH 6.0) (KSG1201), 高压锅均匀喷气计时2分钟.
—抗: 1: 6000稀释, 4℃ 孵育过夜.
二抗: S-vision免疫组化多聚二抗(山羊抗小鼠), 即用型(货号KB3903), 室温孵育20分钟.

需要技术支持?

如果您有任何问题或如果您在实验过程中遇到问题,或需要更详细的技术指导,请联系我们的技术支持团队
电话 400-6027-270

联系我们

如果您对我们的公司或产品有任何疑问,欢迎随时联系我们