tel 400-6027-270
Main Image
Recombinant Anti-JNK1+JNK2+JNK3 antibody (兔单克隆抗体)
¥1900
加入对比
货号: K5462963-100
预测分子量: 46 ,54 kDa
观测分子量: 46 ,54 kDa
亚细胞定位: 细胞质, 细胞核
别名: JNK1 + JNK2 + JNK3,JNK1/2/3,JNK1+2+3,MAPK8,MAPK9,MAPK10,c Jun N terminal kinase 1,c Jun N terminal kinase 2,c Jun N terminal kinase 3
应用 | 种属
WB H,M,R
IHC/IF H,M,R
规格:
产品信息
蛋白质全称 丝裂原活化蛋白激酶8/9/10
别名 JNK1 + JNK2 + JNK3,JNK1/2/3,JNK1+2+3,MAPK8,MAPK9,MAPK10,c Jun N terminal kinase 1,c Jun N terminal kinase 2,c Jun N terminal kinase 3
Uniprot ID P45983
免疫原 人JNK1重组蛋白
抗体亚型 IgG
克隆号 SB403
纯化方式 亲和纯化
亚细胞定位 细胞质, 细胞核
预测分子量./观测分子量. 46 ,54 kDa / 46 ,54 kDa
应用
WB 免疫印迹
物种:人,小鼠,大鼠
稀释比:1:700-1:2000
阳性样品:—
IHC/IF 免疫组织化学/免疫荧光
物种:人,小鼠,大鼠
稀释比:1:900-1:1800
阳性样品:结肠癌, 肾, 睾丸
背景
JNK1(MAPK8) is a member of the MAP kinase family. JNK1 is activated by threonine and tyrosine phosphorylation by either of two dual specificity kinases, MAP2K4 and MAP2K7. JNK2 (p54a, SAPK1a), along with JNK1 and JNK3, is thought to play an important role in nuclear signal transduction through its environmental stress activation and subsequent phosphorylation of the nuclear transcription factor p53. JNK3 is a neuron-specific form of c-Jun N-terminal kinases. Through its phosphorylation and nuclear localization, this kinase plays regulatory roles in the signaling pathways of neuronal apoptosis.
储存条件
储存条件:储存条件在:-20℃下储存一年, 避免反复冻融.
储存缓冲液:含0.15% ProClin300防腐剂, 100 μg/mL牛血清白蛋白和50%甘油的磷酸盐缓冲液.
图像
IHC检测JNK1+JNK2+JNK3蛋白(货号 K5462963).
样品: 人结肠癌, 4%多聚甲醛 (货号KSG1101) 固定12-24小时.
抗原修复: Tris-EDTA抗原修复液(pH 9.0) (KSG1203), 98℃, 20分钟.
—抗: 1: 1400稀释, 4℃ 孵育过夜.
二抗: S-vision免疫组化多聚二抗(山羊抗兔),即用型 (货号KB3906), 室温孵育20分钟.
IHC检测JNK1+JNK2+JNK3蛋白(货号 K5462963).
样品: 小鼠睾丸, 4%多聚甲醛 (货号KSG1101) 固定12-24小时.
抗原修复: Tris-EDTA抗原修复液(pH 9.0) (KSG1203), 98℃, 20分钟.
—抗: 1: 1400稀释, 4℃ 孵育过夜.
二抗: S-vision免疫组化多聚二抗(山羊抗兔),即用型 (货号KB3906), 室温孵育20分钟.
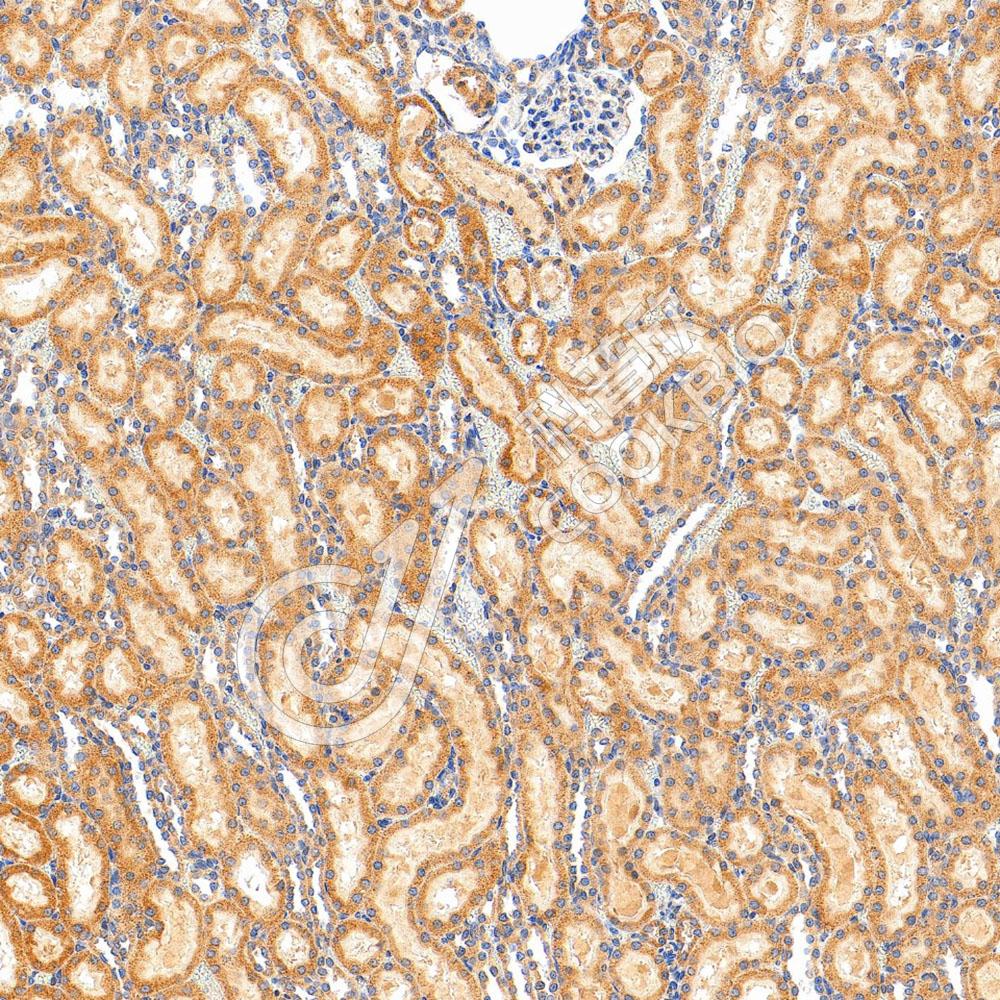
IHC检测JNK1+JNK2+JNK3蛋白(货号 K5462963).
样品: 大鼠肾, 4%多聚甲醛 (货号KSG1101) 固定12-24小时.
抗原修复: Tris-EDTA抗原修复液(pH 9.0) (KSG1203), 98℃, 20分钟.
—抗: 1: 1400稀释, 4℃ 孵育过夜.
二抗: S-vision免疫组化多聚二抗(山羊抗兔),即用型 (货号KB3906), 室温孵育20分钟.

需要技术支持?

如果您有任何问题或如果您在实验过程中遇到问题,或需要更详细的技术指导,请联系我们的技术支持团队
电话 400-6027-270

联系我们

如果您对我们的公司或产品有任何疑问,欢迎随时联系我们