tel 400-6027-270
Main Image
Recombinant Anti-Vinculin antibody (小鼠单克隆抗体)
¥1900
加入对比
货号: K5450204-100
预测分子量: 124 kDa
观测分子量: 124 kDa
亚细胞定位: 细胞膜, 细胞质, 细胞连接
别名: Metavinculin,Vcl,CMD1W,CMH15,MVCL,MV,VINC
应用 | 种属
WB H,M,R
IHC/IF H,M,R
规格:
产品信息
蛋白质全称 纽蛋白
别名 Metavinculin,Vcl,CMD1W,CMH15,MVCL,MV,VINC
Uniprot ID P18206
免疫原 人Vinculin重组蛋白
抗体亚型 IgG1
克隆号 SB394
纯化方式 亲和纯化
亚细胞定位 细胞膜, 细胞质, 细胞连接
预测分子量./观测分子量. 124 kDa / 124 kDa
应用
WB 免疫印迹
物种:人,小鼠,大鼠
稀释比:1:1000-1:2000
阳性样品:—
IHC/IF 免疫组织化学/免疫荧光
物种:人,小鼠,大鼠
稀释比:1:1000-1:2000
阳性样品:心, 肾癌, 睾丸
背景

Vinculin belongs to the vinculin/alpha-catenin family. It is an actin filament (F-actin)-binding protein which involved in cell-matrix adhesion and cell-cell adhesion. Vinculin regulates cell-surface E-cadherin expression and potentiates mechanosensing by the E-cadherin complex. It may also play important roles in cell morphology and locomotion.                                        

储存条件
储存条件:储存条件在:-20℃下储存一年, 避免反复冻融.
储存缓冲液:含0.15% ProClin300防腐剂, 100 μg/mL牛血清白蛋白和50%甘油的磷酸盐缓冲液.
图像
K5450204_Vinculin_d1000_WB.jpg
IHC检测Vinculin蛋白(货号 K5450204).
样品: 小鼠心, 4%多聚甲醛 (货号KSG1101) 固定12-24小时.
抗原修复: 柠檬酸抗原修复液(干粉, pH 6.0) (KSG1201), 高压锅均匀喷气计时2分钟.
—抗: 1: 1500稀释, 4℃ 孵育过夜.
二抗: S-vision免疫组化多聚二抗(山羊抗小鼠), 即用型(货号KB3903), 室温孵育20分钟.
IHC检测Vinculin蛋白(货号 K5450204).
样品: 小鼠睾丸, 4%多聚甲醛 (货号KSG1101) 固定12-24小时.
抗原修复: 柠檬酸抗原修复液(干粉, pH 6.0) (KSG1201), 高压锅均匀喷气计时2分钟.
—抗: 1: 1500稀释, 4℃ 孵育过夜.
二抗: S-vision免疫组化多聚二抗(山羊抗小鼠), 即用型(货号KB3903), 室温孵育20分钟.
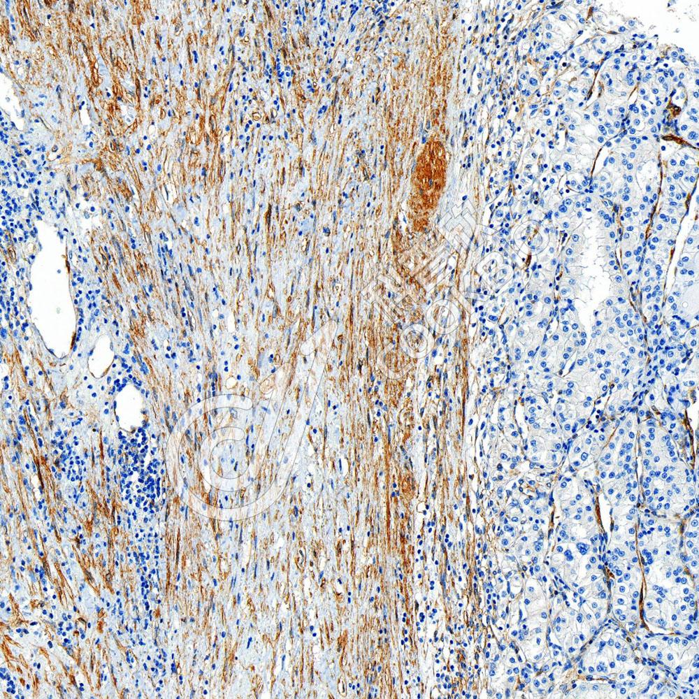
IHC检测Vinculin蛋白(货号 K5450204).
样品: 人肾癌, 4%多聚甲醛 (货号KSG1101) 固定12-24小时.
抗原修复: 柠檬酸抗原修复液(干粉, pH 6.0) (KSG1201), 高压锅均匀喷气计时2分钟.
—抗: 1: 1500稀释, 4℃ 孵育过夜.
二抗: S-vision免疫组化多聚二抗(山羊抗小鼠), 即用型(货号KB3903), 室温孵育20分钟.

需要技术支持?

如果您有任何问题或如果您在实验过程中遇到问题,或需要更详细的技术指导,请联系我们的技术支持团队
电话 400-6027-270

联系我们

如果您对我们的公司或产品有任何疑问,欢迎随时联系我们