tel 400-6027-270
Main Image
Anti-Collagen I 兔多克隆抗体
¥1900
加入对比
货号: K133066-100
预测分子量: 138 kDa
观测分子量: 120-140 /200-250 kDa
亚细胞定位: 胞外基质, 细胞质
别名: COL1A1,EDSC,OI1,OI2,OI3,OI4,collagen type I alpha 1,collagen type I alpha 1 chain
应用 | 种属
WB H,M,R
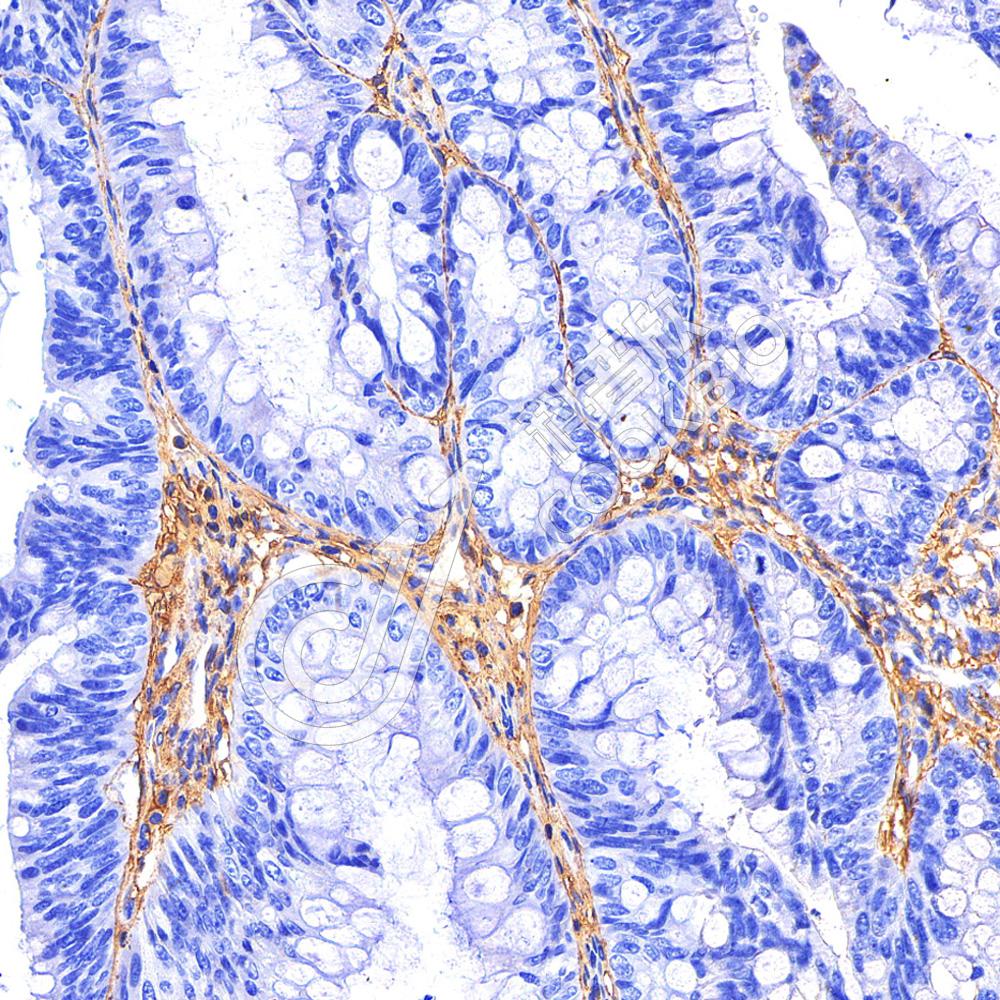
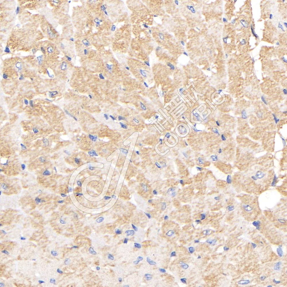
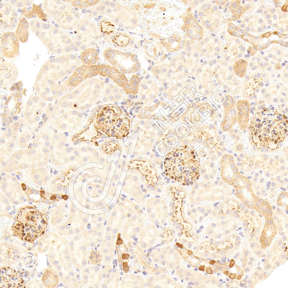
IHC/IF H,M,R
规格:
产品信息
蛋白质全称 I 型胶原蛋白α1链
别名 COL1A1,EDSC,OI1,OI2,OI3,OI4,collagen type I alpha 1,collagen type I alpha 1 chain
Uniprot ID P11087
免疫原 KLH偶联的小鼠COL1A1合成肽
抗体亚型 IgG
纯化方式 亲和纯化
亚细胞定位 胞外基质, 细胞质
预测分子量./观测分子量. 138 kDa / 120-140 /200-250 kDa
应用
WB 免疫印迹
物种:人,小鼠,大鼠
稀释比:1:500-1:1000
阳性样品:胎盘
IHC/IF 免疫组织化学/免疫荧光
物种:人,小鼠,大鼠
稀释比:1:200-1:1700
阳性样品:—
背景
This gene encodes the pro-alpha1 chains of type I collagen whose triple helix comprises two alpha1 chains and one alpha2 chain. Type I is a fibril-forming collagen found in most connective tissues and is abundant in bone, cornea, dermis and tendon. Mutations in this gene are associated with osteogenesis imperfecta types I-IV, Ehlers-Danlos syndrome type VIIA, Ehlers-Danlos syndrome Classical type, Caffey Disease and idiopathic osteoporosis.
储存条件
储存条件:储存条件在:-20℃下储存一年, 避免反复冻融.
储存缓冲液:含0.15% ProClin300防腐剂, 100 μg/mL牛血清白蛋白和50%甘油的磷酸盐缓冲液.
图像
WB检测Collagen I蛋白(货号 K133066).
样品: 经RIPA裂解液(货号KSG2002)处理的蛋白质.
封闭: 3%脱脂牛奶(货号KSGC310001)溶于TBST溶液, 室温孵育1小时.
—抗: 1: 500稀释, 4℃ 孵育过夜.
二抗: HRP标记山羊抗兔IgG (H+L) (货号KB69909), 1: 5000稀释, 室温孵育1小时.

需要技术支持?

如果您有任何问题或如果您在实验过程中遇到问题,或需要更详细的技术指导,请联系我们的技术支持团队
电话 400-6027-270

联系我们

如果您对我们的公司或产品有任何疑问,欢迎随时联系我们