tel 400-6027-270
Main Image
Recombinant Anti-Iba1 antibody (兔单克隆抗体)
¥1900
加入对比
货号: K5463470-100
预测分子量: 10,14,17 kDa
观测分子量: 14-17 kDa
亚细胞定位: 细胞质, 细胞骨架, 细胞突起, 皱褶膜
别名: AIF-1,IBA,IRT-1,IRT1,allograft,AIF-1,AIF1,G1,IBA1,IRT 1,Protein G1,Ionized calcium-binding adapter molecule 1,MRF1,Microglia response factor,BART 1,AIF1 protein
应用 | 种属
WB H,M,R
IHC/IF H,M,R
规格:
产品信息
蛋白质全称 同种异体移植物炎症因子1
别名 AIF-1,IBA,IRT-1,IRT1,allograft,AIF-1,AIF1,G1,IBA1,IRT 1,Protein G1,Ionized calcium-binding adapter molecule 1,MRF1,Microglia response factor,BART 1,AIF1 protein
Uniprot ID P55008
免疫原 人Iba1重组蛋白
抗体亚型 IgG, κ
克隆号 SB376
纯化方式 亲和纯化
亚细胞定位 细胞质, 细胞骨架, 细胞突起, 皱褶膜
预测分子量./观测分子量. 10,14,17 kDa / 14-17 kDa
应用
WB 免疫印迹
物种:人,小鼠,大鼠
稀释比:1:500-1:1000
阳性样品:—
IHC/IF 免疫组织化学/免疫荧光
物种:人,小鼠,大鼠
稀释比:1:4000-1:8000
阳性样品:脑, 肝
背景
AIF1, also named as G1, IBA1 or daintain/AIF-1, is a 143 amino acid cytoplasmic, inflammation response scaffold protein. It is constitutively expressed in monocytes and macrophages and is known to be involved in macrophage activation. It is a marker of activated macrophage. Despite a lack of detailed knowledge on the in vivo physiological functions of AIF-1, there is growing evidence that shows its aberrant expression contributes to the pathogenesis of many autoimmune diseases, including rheumatoid arthritis.  AIF1 is an actin-binding protein that enhances membrane ruffling and RAC activation. It enhances lymphocyte migration and the actin-bundling activity of LCP1.
储存条件
储存条件:储存条件在:-20℃下储存一年, 避免反复冻融.
储存缓冲液:含0.15% ProClin300防腐剂, 100 μg/mL牛血清白蛋白和50%甘油的磷酸盐缓冲液.
图像
IHC检测Iba1蛋白(货号 K5463470).
样品: 人肝, 4%多聚甲醛 (货号KSG1101) 固定12-24小时.
抗原修复: 柠檬酸抗原修复液(干粉, pH 6.0) (KSG1201), 98℃, 20分钟.
—抗: 1: 6000稀释, 4℃ 孵育过夜.
二抗: S-vision免疫组化多聚二抗(山羊抗兔),即用型 (货号KB3906), 室温孵育20分钟.
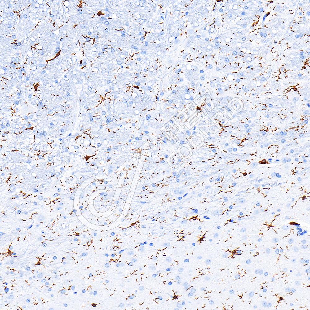
IHC检测Iba1蛋白(货号 K5463470).
样品: 小鼠脑, 4%多聚甲醛 (货号KSG1101) 固定12-24小时.
抗原修复: 柠檬酸抗原修复液(干粉, pH 6.0) (KSG1201), 98℃, 20分钟.
—抗: 1: 6000稀释, 4℃ 孵育过夜.
二抗: S-vision免疫组化多聚二抗(山羊抗兔),即用型 (货号KB3906), 室温孵育20分钟.
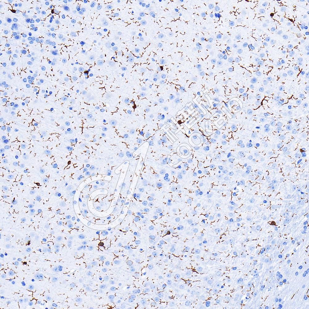
IHC检测Iba1蛋白(货号 K5463470).
样品: 大鼠脑, 4%多聚甲醛 (货号KSG1101) 固定12-24小时.
抗原修复: 柠檬酸抗原修复液(干粉, pH 6.0) (KSG1201), 98℃, 20分钟.
—抗: 1: 6000稀释, 4℃ 孵育过夜.
二抗: S-vision免疫组化多聚二抗(山羊抗兔),即用型 (货号KB3906), 室温孵育20分钟.

需要技术支持?

如果您有任何问题或如果您在实验过程中遇到问题,或需要更详细的技术指导,请联系我们的技术支持团队
电话 400-6027-270

联系我们

如果您对我们的公司或产品有任何疑问,欢迎随时联系我们