tel 400-6027-270
Main Image
Recombinant Anti-GSDMD antibody (兔单克隆抗体)
¥1900
加入对比
货号: K5462594-100
预测分子量: 53 kDa
观测分子量: 32/53 kDa
亚细胞定位: 细胞质, 炎症小体, 细胞膜, 分泌型, 线粒体膜, 细胞核
别名: DF5L,DFNA5L,FKSG10,gasdermin D,GSDMD,GSDMD-NT
应用 | 种属
WB H,M,R
IHC/IF H,M,R
规格:
产品信息
蛋白质全称 Gasdermin-D蛋白
别名 DF5L,DFNA5L,FKSG10,gasdermin D,GSDMD,GSDMD-NT
Uniprot ID P57764
免疫原 人GSDMD重组蛋白
抗体亚型 IgG, κ
克隆号 SB253
纯化方式 亲和纯化
亚细胞定位 细胞质, 炎症小体, 细胞膜, 分泌型, 线粒体膜, 细胞核
预测分子量./观测分子量. 53 kDa / 32/53 kDa
应用
WB 免疫印迹
物种:人,小鼠,大鼠
稀释比:1:500-1:1000
阳性样品:—
IHC/IF 免疫组织化学/免疫荧光
物种:人,小鼠,大鼠
稀释比:1:1000-1:2000
阳性样品:食管癌, lps(6h)诱导的结肠炎症模型, lps(6h)诱导的肺部炎症模型
背景
GSDMD is a member of the gasdermin family. Members of this family appear to play a role in regulation of epithelial proliferation. GSDMD has been suggested to act as a tumor suppressor. Recently, GSDMD is identified as a new component of inflammasomes, and it is an executor of pyroptosis and required for interleukin-1β secretion. Cleavage of GSDMD by inflammatory caspases determines pyroptotic cell death
储存条件
储存条件:储存条件在:-20℃下储存一年, 避免反复冻融.
储存缓冲液:含0.15% ProClin300防腐剂, 100 μg/mL牛血清白蛋白和50%甘油的磷酸盐缓冲液.
图像
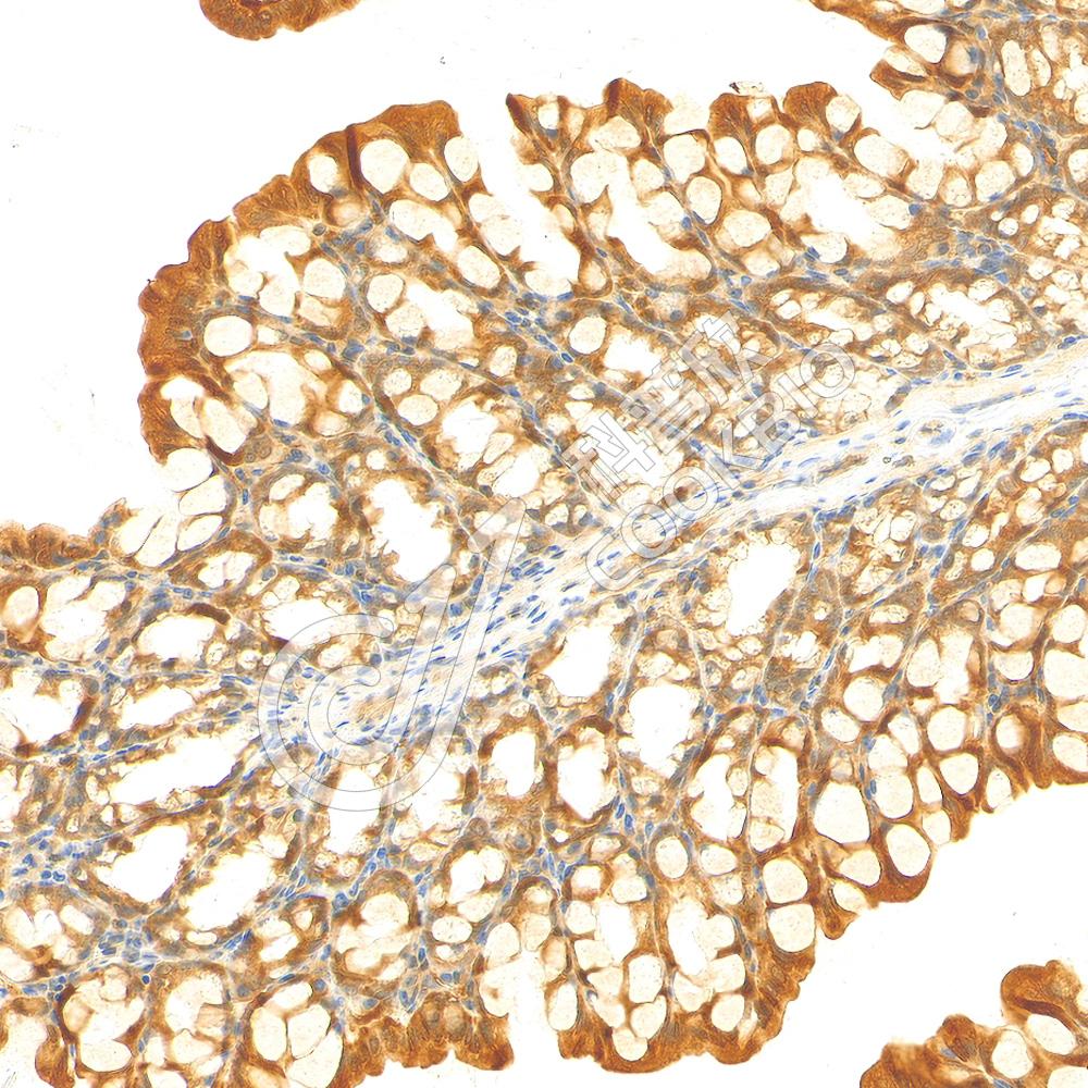
IHC检测GSDMD蛋白(货号 K5462594).
样品: 人食管癌, 4%多聚甲醛 (货号KSG1101) 固定12-24小时.
抗原修复: Tris-EDTA抗原修复液(pH 9.0) (KSG1203), 98℃, 20分钟.
—抗: 1: 1500稀释, 4℃ 孵育过夜.
二抗: S-vision免疫组化多聚二抗(山羊抗兔),即用型 (货号KB3906), 室温孵育20分钟.
IHC检测GSDMD蛋白(货号 K5462594).
样品: 小鼠lps(6h)诱导的结肠炎症模型, 4%多聚甲醛 (货号KSG1101) 固定12-24小时.
抗原修复: Tris-EDTA抗原修复液(pH 9.0) (KSG1203), 98℃, 20分钟.
—抗: 1: 1500稀释, 4℃ 孵育过夜.
二抗: S-vision免疫组化多聚二抗(山羊抗兔),即用型 (货号KB3906), 室温孵育20分钟.
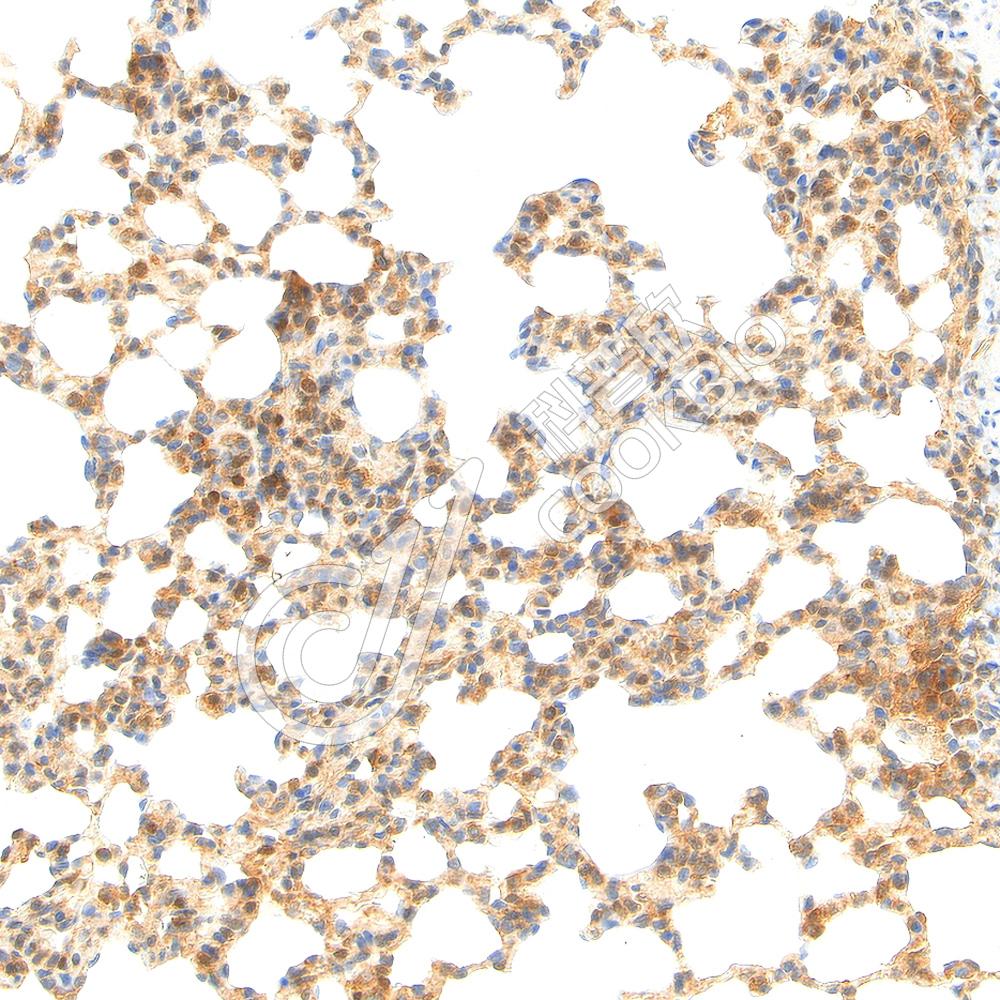
IHC检测GSDMD蛋白(货号 K5462594).
样品: 大鼠lps(6h)诱导的肺部炎症模型, 4%多聚甲醛 (货号KSG1101) 固定12-24小时.
抗原修复: Tris-EDTA抗原修复液(pH 9.0) (KSG1203), 98℃, 20分钟.
—抗: 1: 1500稀释, 4℃ 孵育过夜.
二抗: S-vision免疫组化多聚二抗(山羊抗兔),即用型 (货号KB3906), 室温孵育20分钟.

需要技术支持?

如果您有任何问题或如果您在实验过程中遇到问题,或需要更详细的技术指导,请联系我们的技术支持团队
电话 400-6027-270

联系我们

如果您对我们的公司或产品有任何疑问,欢迎随时联系我们