tel 400-6027-270
Main Image
Recombinant Anti-Cytokeratin 15 antibody (小鼠单克隆抗体)
¥1900
加入对比
货号: K5454944-100
预测分子量: 49 kDa
观测分子量: 49 kDa
亚细胞定位: 细胞骨架, 胞质溶胶, 细胞核
别名: Cytokeratin-15,CK-15,Keratin-15,K15,Krt1-15,KRTL15,Keratin-15,K1CO,KRTB,Type I keratin Ka15
应用 | 种属
WB H
IHC/IF H,R
规格:
产品信息
蛋白质全称 I型细胞角蛋白15
别名 Cytokeratin-15,CK-15,Keratin-15,K15,Krt1-15,KRTL15,Keratin-15,K1CO,KRTB,Type I keratin Ka15
Uniprot ID P19012
免疫原 KLH偶联的人 Cytokeratin15合成肽
抗体亚型 IgG1, κ
克隆号 SB179
纯化方式 亲和纯化
亚细胞定位 细胞骨架, 胞质溶胶, 细胞核
预测分子量./观测分子量. 49 kDa / 49 kDa
应用
WB 免疫印迹
物种:人
稀释比:1:500-1:1500
阳性样品:—
IHC/IF 免疫组织化学/免疫荧光
物种:人,大鼠
稀释比:1:250-1:1000
阳性样品:食管癌, 皮肤
背景
Keratins are a large family of proteins that form the intermediate filament cytoskeleton of epithelial cells, which are classified into two major sequence types. Type I keratins are a group of acidic intermediate filament proteins, including K9–K23, and the hair keratins Ha1–Ha8. Type II keratins are the basic or neutral courterparts to the acidic type I keratins, including K1–K8, and the hair keratins, Hb1–Hb6. Keratin 15 is a type I cytokeratin. It is found in some progenitor basal cells within complex epithelia.
储存条件
储存条件:储存条件在:-20℃下储存一年, 避免反复冻融.
储存缓冲液:含0.15% ProClin300防腐剂, 100 μg/mL牛血清白蛋白和50%甘油的磷酸盐缓冲液.
图像
IHC检测Cytokeratin 15蛋白(货号 K5454944).
样品: 人食管癌, 4%多聚甲醛 (货号KSG1101) 固定12-24小时.
抗原修复: 柠檬酸抗原修复液(干粉, pH 6.0) (KSG1201), 高压锅均匀喷气计时2分钟.
—抗: 1: 600稀释, 4℃ 孵育过夜.
二抗: S-vision免疫组化多聚二抗(山羊抗小鼠), 即用型(货号KB3903), 室温孵育20分钟.
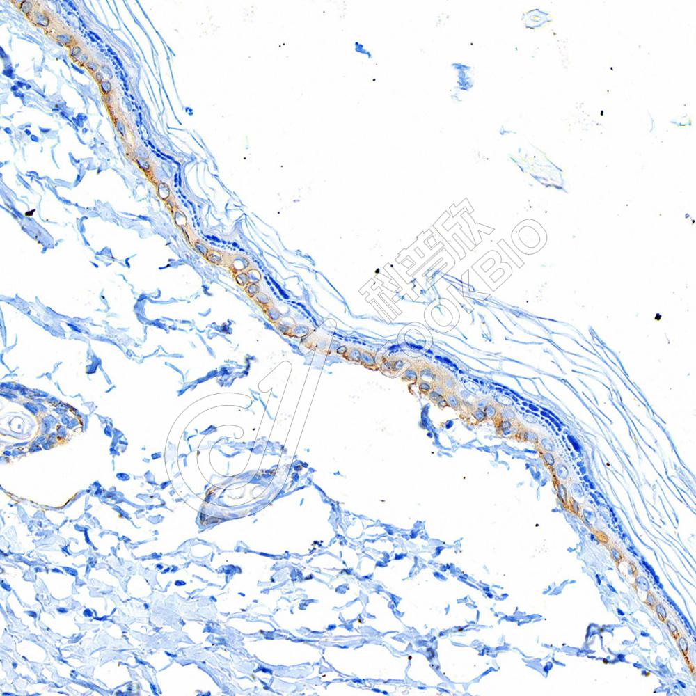
IHC检测Cytokeratin 15蛋白(货号 K5454944).
样品: 大鼠皮肤, 4%多聚甲醛 (货号KSG1101) 固定12-24小时.
抗原修复: 柠檬酸抗原修复液(干粉, pH 6.0) (KSG1201), 高压锅均匀喷气计时2分钟.
—抗: 1: 600稀释, 4℃ 孵育过夜.
二抗: S-vision免疫组化多聚二抗(山羊抗小鼠), 即用型(货号KB3903), 室温孵育20分钟.

需要技术支持?

如果您有任何问题或如果您在实验过程中遇到问题,或需要更详细的技术指导,请联系我们的技术支持团队
电话 400-6027-270

联系我们

如果您对我们的公司或产品有任何疑问,欢迎随时联系我们