tel 400-6027-270
Main Image
Recombinant Anti-CD19 antibody (兔单克隆抗体)
¥1900
加入对比
货号: K545018-100
预测分子量: 60 kDa
观测分子量: 60-120 kDa
亚细胞定位: 细胞膜
别名: B lymphocyte antigen CD19,B4,CD19,CD19 molecule,Differentiation antigen CD19,T cell surface antigen Leu 12,CVID3
应用 | 种属
WB H
IHC/IF H
规格:
产品信息
蛋白质全称 B淋巴细胞抗原CD19
别名 B lymphocyte antigen CD19,B4,CD19,CD19 molecule,Differentiation antigen CD19,T cell surface antigen Leu 12,CVID3
Uniprot ID P15391
免疫原 人重组CD19蛋白在HEK293细胞中表达
抗体亚型 IgG, κ
克隆号 SB28
纯化方式 亲和纯化
亚细胞定位 细胞膜
预测分子量./观测分子量. 60 kDa / 60-120 kDa
应用
WB 免疫印迹
物种:人
稀释比:1:500-1:1000
阳性样品:Raji细胞
IHC/IF 免疫组织化学/免疫荧光
物种:人
稀释比:1:500-1:2000
阳性样品:扁桃体
背景
Functions as coreceptor for the B-cell antigen receptor complex (BCR) on B-lymphocytes. Decreases the threshold for activation of downstream signaling pathways and for triggering B-cell responses to antigens. Activates signaling pathways that lead to the activation of phosphatidylinositol 3-kinase and the mobilization of intracellular Ca(2+) stores. Is not required for early steps during B cell differentiation in the blood marrow. Required for normal differentiation of B-1 cells (By similarity). Required for normal B cell differentiation and proliferation in response to antigen challenges. Required for normal levels of serum immunoglobulins, and for production of high-affinity antibodies in response to antigen challenge.
储存条件
储存条件:储存条件在:-20℃下储存一年, 避免反复冻融.
储存缓冲液:含0.15% ProClin300防腐剂, 100 μg/mL牛血清白蛋白和50%甘油的磷酸盐缓冲液.
图像
WB检测CD19蛋白(货号 K545018).
样品: 经RIPA裂解液(货号KSG2002)处理的蛋白质.
封闭: 3%脱脂牛奶(货号KSGC310001)溶于TBST溶液, 室温孵育1小时.
—抗: 1: 1000稀释, 4℃ 孵育过夜.
二抗: HRP标记山羊抗兔IgG (H+L) (货号KB69909), 1: 5000稀释, 室温孵育1小时.
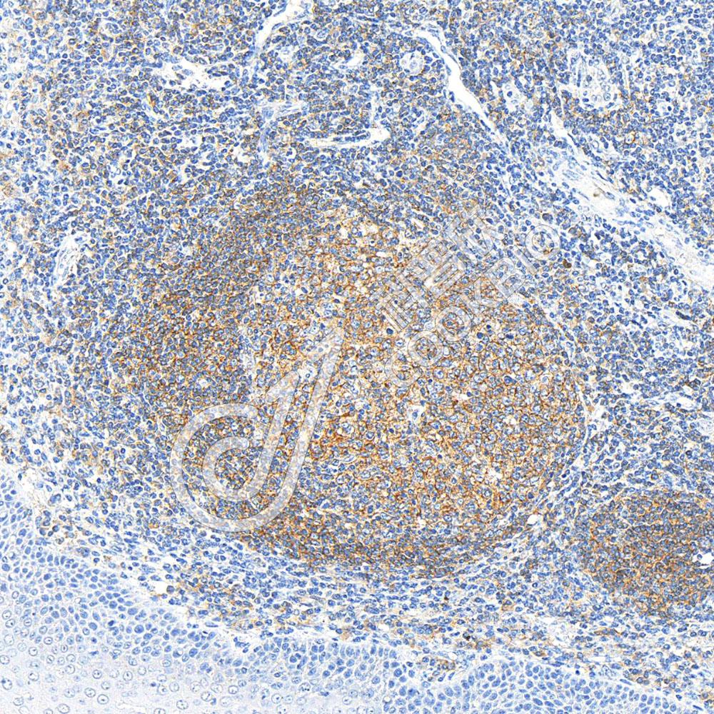
IHC检测CD19蛋白(货号 K545018).
样品: 人扁桃体, 4%多聚甲醛 (货号KSG1101) 固定12-24小时.
抗原修复: 柠檬酸抗原修复液(干粉, pH 6.0) (KSG1201), 高压锅均匀喷气计时2分钟.
—抗: 1: 1300稀释, 4℃ 孵育过夜.
二抗: S-vision免疫组化多聚二抗(山羊抗兔),即用型 (货号KB3906), 室温孵育20分钟.
IF检测CD19蛋白(货号 K545018)(红色).
样品: 人扁桃体, 4%多聚甲醛 (货号KSG1101) 固定12-24小时.
抗原修复: 柠檬酸抗原修复液(干粉, pH 6.0) (KSG1201), 高压锅均匀喷气计时2分钟.
封闭: 3% BSA(货号KSGC305010)的PBS溶液, 室温孵育30分钟.
—抗: 1: 1300稀释, 4℃ 孵育过夜.
二抗: Cy3标记山羊抗兔IgG (H+L) (货号KB63909), 1: 300稀释, 室温孵育1小时.

需要技术支持?

如果您有任何问题或如果您在实验过程中遇到问题,或需要更详细的技术指导,请联系我们的技术支持团队
电话 400-6027-270

联系我们

如果您对我们的公司或产品有任何疑问,欢迎随时联系我们