tel 400-6027-270
Main Image
Recombinant Anti-GSDME antibody (兔单克隆抗体)
¥1900
加入对比
货号: K5450501-100
预测分子量: 55 kDa
观测分子量: 55 kDa
亚细胞定位: 细胞膜, 细胞质
别名: DFNA5,ICERE1,Inversely correlated with estrogen receptor expression 1,Gasdermin E,Gasdermin-E,GSDME,deafness,autosomal dominant 5
应用 | 种属
WB H
IHC/IF H,M,R
规格:
产品信息
蛋白质全称 气穿孔蛋白E
别名 DFNA5,ICERE1,Inversely correlated with estrogen receptor expression 1,Gasdermin E,Gasdermin-E,GSDME,deafness,autosomal dominant 5
Uniprot ID O60443
免疫原 人GSDME重组蛋白
抗体亚型 IgG
克隆号 SB603
纯化方式 亲和纯化
亚细胞定位 细胞膜, 细胞质
预测分子量./观测分子量. 55 kDa / 55 kDa
应用
WB 免疫印迹
物种:人
稀释比:1:1000-1:3000
阳性样品:—
IHC/IF 免疫组织化学/免疫荧光
物种:人,小鼠,大鼠
稀释比:1:1000-1:3000
阳性样品:胎盘
背景
Precursor of a pore-forming protein that converts non-inflammatory apoptosis to pyroptosis.This form constitutes the precursor of the pore-forming protein: upon cleavage, the released N-terminal moiety (Gasdermin-E, N-terminal) binds to membranes and forms pores, triggering pyroptosis.
储存条件
储存条件:储存条件在:-20℃下储存一年, 避免反复冻融.
储存缓冲液:含0.15% ProClin300防腐剂, 100 μg/mL牛血清白蛋白和50%甘油的磷酸盐缓冲液.
图像
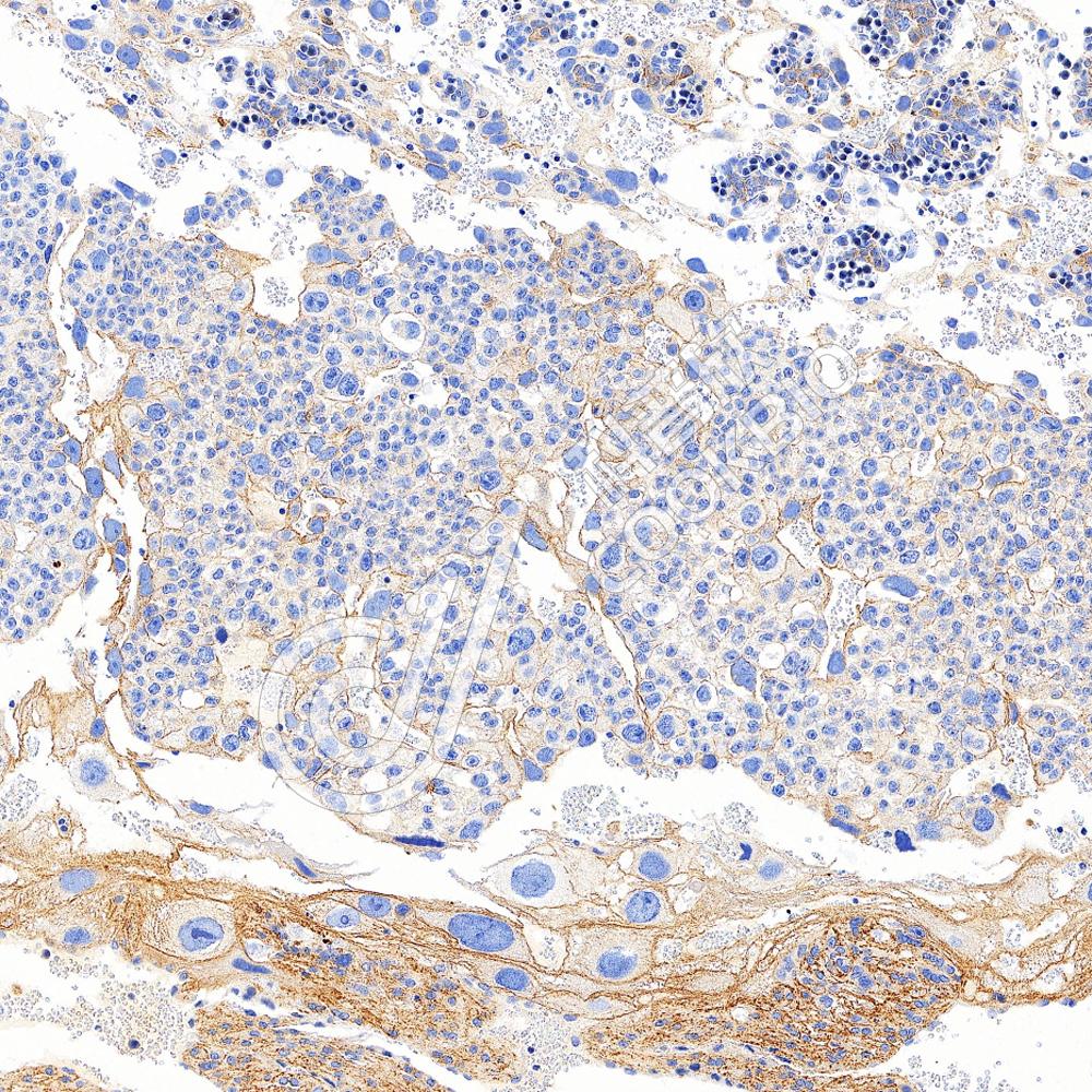
IHC检测GSDME蛋白(货号 K5450501).
样品: 小鼠胎盘, 4%多聚甲醛 (货号KSG1101) 固定12-24小时.
抗原修复: Tris-EDTA抗原修复液(pH 9.0) (货号KSG1203), 水浴100℃, 25分钟.
—抗: 1: 2000稀释, 4℃ 孵育过夜.
二抗: S-vision免疫组化多聚二抗(山羊抗兔),即用型 (货号KB3906), 室温孵育20分钟.
IHC检测GSDME蛋白(货号 K5450501).
样品: 大鼠胎盘, 4%多聚甲醛 (货号KSG1101) 固定12-24小时.
抗原修复: Tris-EDTA抗原修复液(pH 9.0) (货号KSG1203), 水浴100℃, 25分钟.
—抗: 1: 2000稀释, 4℃ 孵育过夜.
二抗: S-vision免疫组化多聚二抗(山羊抗兔),即用型 (货号KB3906), 室温孵育20分钟.
IF检测GSDME蛋白(货号 K5450501)(红色).
样品: 人胎盘, 4%多聚甲醛 (货号KSG1101) 固定12-24小时.
抗原修复: Tris-EDTA抗原修复液(pH 9.0) (货号KSG1203), 水浴100℃, 25分钟.
封闭: 3% BSA(货号KSGC305010)的PBS溶液, 室温孵育30分钟.
—抗: 1: 2000稀释, 4℃ 孵育过夜.
二抗: Cy3标记山羊抗兔IgG (H+L) (货号KB63909), 1: 300稀释, 室温孵育1小时.

需要技术支持?

如果您有任何问题或如果您在实验过程中遇到问题,或需要更详细的技术指导,请联系我们的技术支持团队
电话 400-6027-270

联系我们

如果您对我们的公司或产品有任何疑问,欢迎随时联系我们