tel 400-6027-270
Main Image
Recombinant Anti-Phospho-STAT3(Y705) antibody (兔单克隆抗体)
¥1900
加入对比
货号: K5450003-100
预测分子量: 79/86 kDa
观测分子量: 79/86 kDa
亚细胞定位: 细胞核, 细胞质
别名: APRF,ADMIO,APRF,HIES,ADMIO1,Acute-phase response factor,STAT3,p-STAT3,p-stat3
应用 | 种属
WB H,M,R
IHC/IF H,M,R
规格:
产品信息
蛋白质全称 信号转导和转录激活因子3
别名 APRF,ADMIO,APRF,HIES,ADMIO1,Acute-phase response factor,STAT3,p-STAT3,p-stat3
Uniprot ID P40763
免疫原 KLH偶联的人STAT3(Tyr705)合成磷酸肽
抗体亚型 IgG, κ
克隆号 SB99
纯化方式 亲和纯化
亚细胞定位 细胞核, 细胞质
预测分子量./观测分子量. 79/86 kDa / 79/86 kDa
应用
WB 免疫印迹
物种:人,小鼠,大鼠
稀释比:1:1000-1:2000
阳性样品:—
IHC/IF 免疫组织化学/免疫荧光
物种:人,小鼠,大鼠
稀释比:1:500-1:2000
阳性样品:食管癌, LPS诱导的结肠脓毒症模型, 脾
背景
Signal transducer and transcription activator that mediates cellular responses to interleukins, KITLG/SCF, LEP and other growth factors.Once activated, recruits coactivators, such as NCOA1 or MED1, to the promoter region of the target gene.May mediate cellular responses to activated FGFR1, FGFR2, FGFR3 and FGFR4.Upon activation of IL6ST/gp130 signaling by interleukin-6 (IL6), binds to the IL6-responsive elements identified in the promoters of various acute-phase protein genes.
储存条件
储存条件:储存条件在:-20℃下储存一年, 避免反复冻融.
储存缓冲液:含0.15% ProClin300防腐剂, 100 μg/mL牛血清白蛋白和50%甘油的磷酸盐缓冲液.
图像
IHC检测Phospho-STAT3(Y705)蛋白(货号 K5450003).
样品: 小鼠LPS诱导的结肠脓毒症模型, 4%多聚甲醛 (货号KSG1101) 固定12-24小时.
抗原修复: Tris-EDTA抗原修复液(pH 9.0) (KSG1203), 98℃, 20分钟.
—抗: 1: 1300稀释, 4℃ 孵育过夜.
二抗: S-vision免疫组化多聚二抗(山羊抗兔),即用型 (货号KB3906), 室温孵育20分钟.
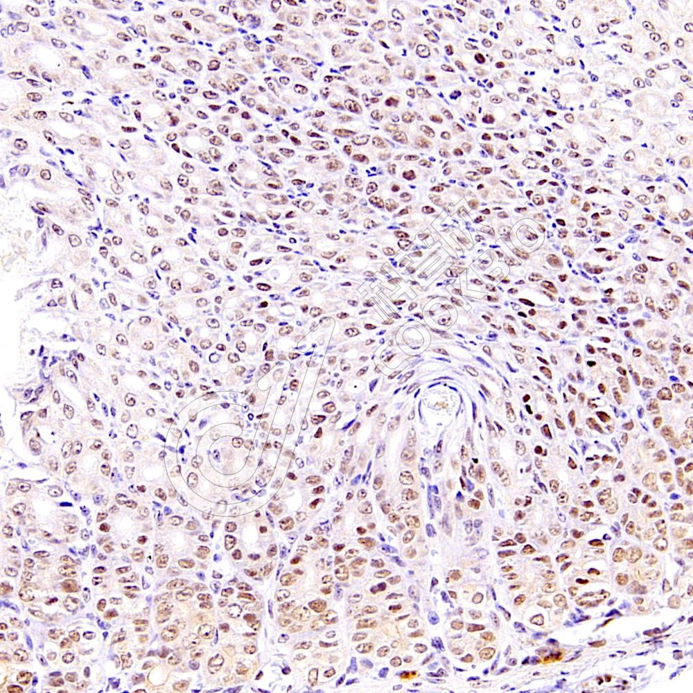
IHC检测Phospho-STAT3(Y705)蛋白(货号 K5450003).
样品: 人食管癌, 4%多聚甲醛 (货号KSG1101) 固定12-24小时.
抗原修复: Tris-EDTA抗原修复液(pH 9.0) (KSG1203), 98℃, 20分钟.
—抗: 1: 1300稀释, 4℃ 孵育过夜.
二抗: S-vision免疫组化多聚二抗(山羊抗兔),即用型 (货号KB3906), 室温孵育20分钟.
IHC检测Phospho-STAT3(Y705)蛋白(货号 K5450003).
样品: 大鼠脾, 4%多聚甲醛 (货号KSG1101) 固定12-24小时.
抗原修复: Tris-EDTA抗原修复液(pH 9.0) (KSG1203), 98℃, 20分钟.
—抗: 1: 1300稀释, 4℃ 孵育过夜.
二抗: S-vision免疫组化多聚二抗(山羊抗兔),即用型 (货号KB3906), 室温孵育20分钟.

需要技术支持?

如果您有任何问题或如果您在实验过程中遇到问题,或需要更详细的技术指导,请联系我们的技术支持团队
电话 400-6027-270

联系我们

如果您对我们的公司或产品有任何疑问,欢迎随时联系我们