tel 400-6027-270
Main Image
Recombinant Anti-HMGB1 antibody (兔单克隆抗体)
¥1900
加入对比
货号: K545309-100
预测分子量: 25 kDa
观测分子量: 25 kDa
亚细胞定位: 细胞质, 细胞核, 细胞膜, 分泌型, 内体, 内质网-高尔基体中间体
别名: HMGB1,HMG1,HMG3,SBP-1,HMG-1,high mobility group box 1
应用 | 种属
WB H,M,R
IHC/IF H,M,R
规格:
产品信息
蛋白质全称 高迁移率族蛋白B1
别名 HMGB1,HMG1,HMG3,SBP-1,HMG-1,high mobility group box 1
Uniprot ID P09429
免疫原 KLH偶联的人HMGB1合成肽
抗体亚型 IgG
克隆号 SB445
纯化方式 亲和纯化
亚细胞定位 细胞质, 细胞核, 细胞膜, 分泌型, 内体, 内质网-高尔基体中间体
预测分子量./观测分子量. 25 kDa / 25 kDa
应用
WB 免疫印迹
物种:人, 小鼠, 大鼠
稀释比:1:1000-1:3000
阳性样品:—
IHC/IF 免疫组织化学/免疫荧光
物种:人, 小鼠, 大鼠
稀释比:1:2000-1:6000
阳性样品:结肠, 肝, 睾丸
背景
Like the histones, HMGB1 is among the most important chromatin proteins. In the nucleus HMGB1 interacts withnucleosomes, transcription factors, and histones. This nuclear protein organizes the DNA and regulates transcription.After binding, HMGB1 bendsDNA, which facilitates the binding of other proteins. HMGB1 supports transcription of many genes in interactions with many transcription factors. It also interacts with nucleosomes to loosen packed DNA and remodel the chromatin. Contact with core histones changes the structure of nucleosomes.
储存条件
储存条件:储存条件在:-20℃下储存一年, 避免反复冻融.
储存缓冲液:含0.15% ProClin300防腐剂, 100 μg/mL牛血清白蛋白和50%甘油的磷酸盐缓冲液.
图像
IHC检测HMGB1蛋白(货号 K545309).
样品: 人结肠, 4%多聚甲醛 (货号KSG1101) 固定12-24小时.
抗原修复: Tris-EDTA抗原修复液(pH 9.0) (KSG1203), 100℃, 25分钟.
—抗: 1: 4000稀释, 4℃ 孵育过夜.
二抗: S-vision免疫组化多聚二抗(山羊抗兔),即用型 (货号KB3906), 室温孵育20分钟.
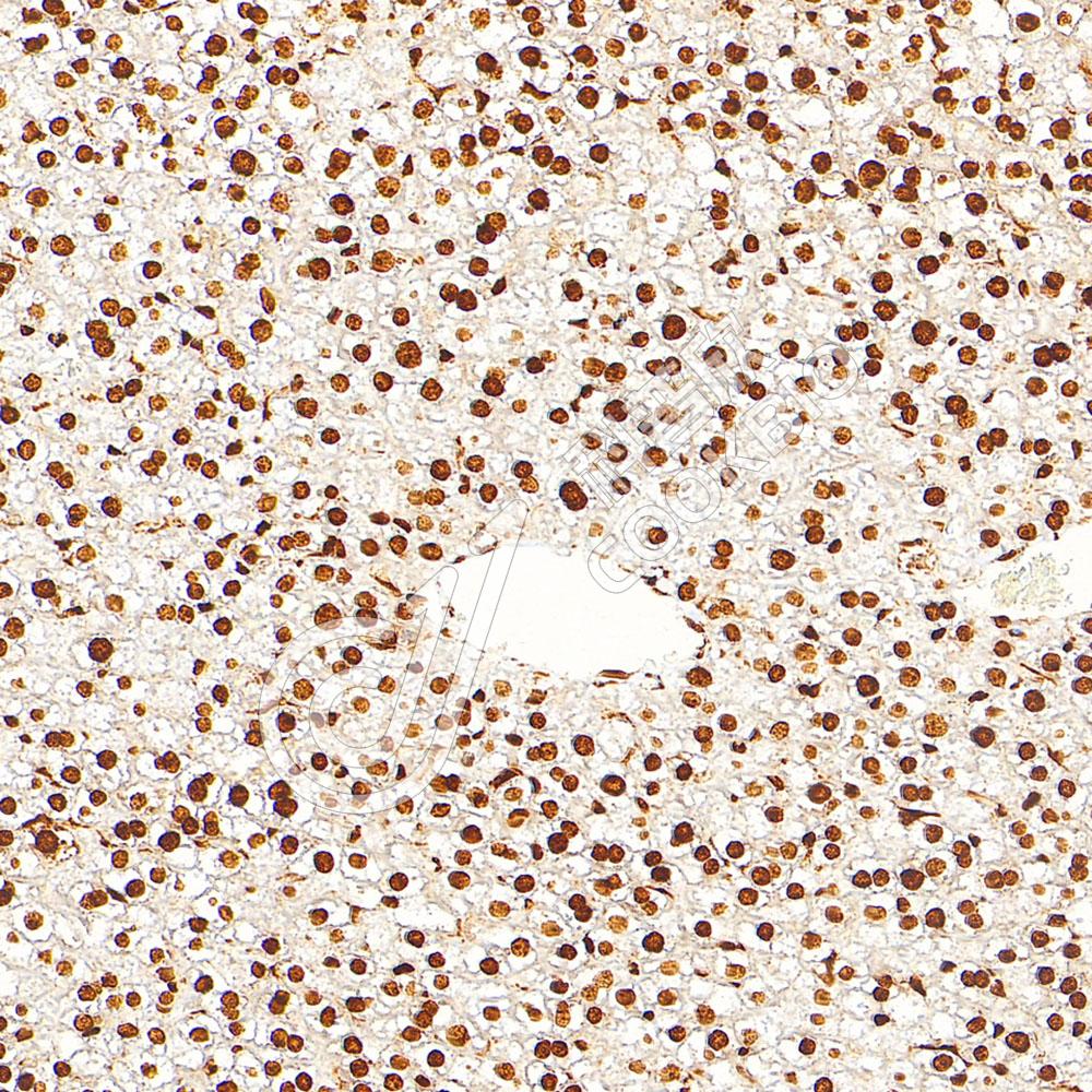
IHC检测HMGB1蛋白(货号 K545309).
样品: 小鼠肝, 4%多聚甲醛 (货号KSG1101) 固定12-24小时.
抗原修复: Tris-EDTA抗原修复液(pH 9.0) (KSG1203), 100℃, 25分钟.
—抗: 1: 4000稀释, 4℃ 孵育过夜.
二抗: S-vision免疫组化多聚二抗(山羊抗兔),即用型 (货号KB3906), 室温孵育20分钟.
IHC检测HMGB1蛋白(货号 K545309).
样品: 大鼠睾丸, 4%多聚甲醛 (货号KSG1101) 固定12-24小时.
抗原修复: Tris-EDTA抗原修复液(pH 9.0) (KSG1203), 100℃, 25分钟.
—抗: 1: 4000稀释, 4℃ 孵育过夜.
二抗: S-vision免疫组化多聚二抗(山羊抗兔),即用型 (货号KB3906), 室温孵育20分钟.

需要技术支持?

如果您有任何问题或如果您在实验过程中遇到问题,或需要更详细的技术指导,请联系我们的技术支持团队
电话 400-6027-270

联系我们

如果您对我们的公司或产品有任何疑问,欢迎随时联系我们