tel 400-6027-270
Main Image
Anti-HAND1 兔多克隆抗体
¥1900
加入对比
货号: K1335472-100
亚细胞定位: 细胞核
别名: Helix-loop-helix transcription factor expressed in extraembryonic mesoderm and trophoblast,Thing-1,Th1,Hand1,Ehand,Hxt,Thing1
应用 | 种属
IHC/IF M,R
规格:
产品信息
蛋白质全称 心脏神经脊衍生表达蛋白1
别名 Helix-loop-helix transcription factor expressed in extraembryonic mesoderm and trophoblast,Thing-1,Th1,Hand1,Ehand,Hxt,Thing1
Uniprot ID Q64279
免疫原 小鼠HAND1重组蛋白
抗体亚型 IgG
纯化方式 亲和纯化
亚细胞定位 细胞核
应用
IHC/IF 免疫组织化学/免疫荧光
物种:小鼠,大鼠
稀释比:1:500-1:2000
阳性样品:胎盘
背景
HAND1 belongs to the basic helix-loop-helix family of transcription factors. This gene product is one of two closely related family members, the HAND proteins, which are asymmetrically expressed in the developing ventricular chambers and play an essential role in cardiac morphogenesis. Working in a complementary fashion, they function in the formation of the right ventricle and aortic arch arteries, implicating them as mediators of congenital heart disease.
储存条件
储存条件:储存条件在:-20℃下储存一年, 避免反复冻融.
储存缓冲液:含0.15% ProClin300防腐剂, 100 μg/mL牛血清白蛋白和50%甘油的磷酸盐缓冲液.
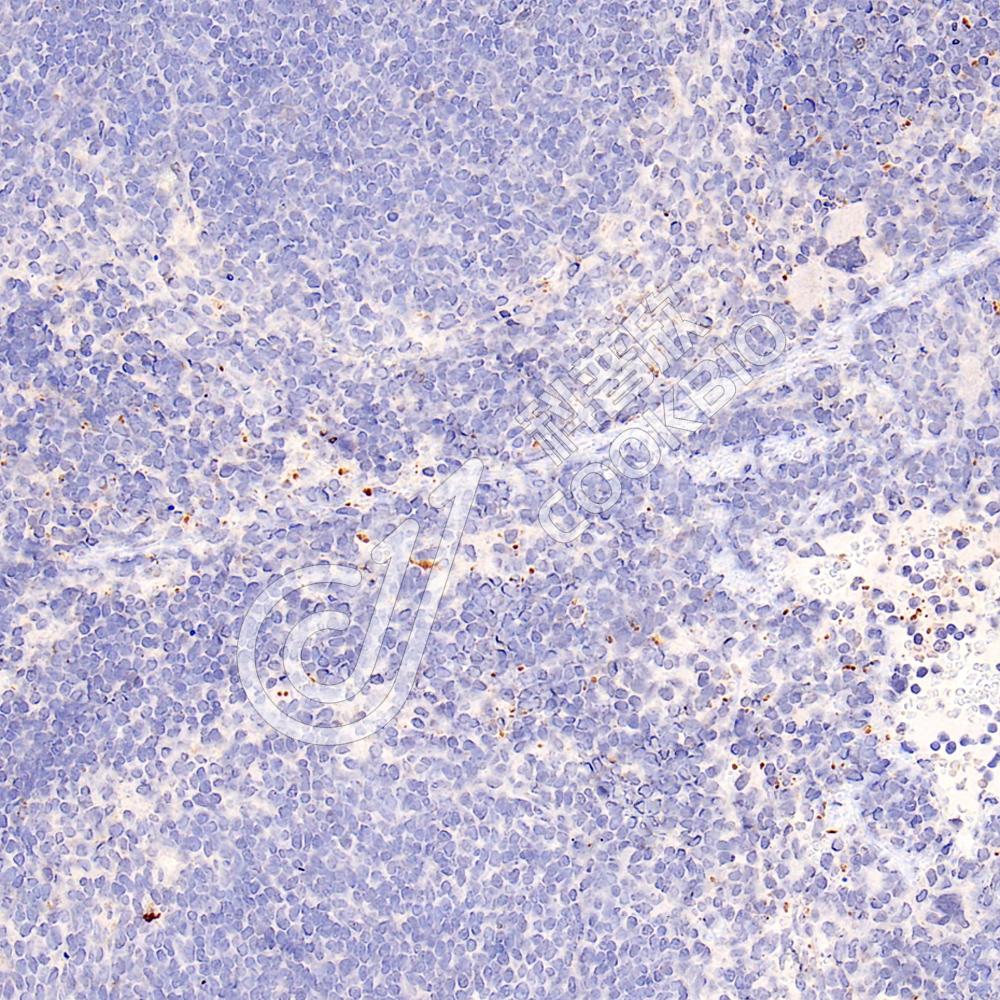
图像
IHC检测HAND1蛋白(货号 K1335472).
样品: 小鼠胎盘, 4%多聚甲醛 (货号KSG1101) 固定12-24小时.
抗原修复: Tris-EDTA抗原修复液(pH 9.0) (KSG1203), 98℃, 20分钟.
—抗: 1: 1300稀释, 4℃ 孵育过夜.
二抗: S-vision免疫组化多聚二抗(山羊抗兔),即用型 (货号KB3906), 室温孵育20分钟.
IHC检测HAND1蛋白(货号 K1335472).
样品: 大鼠胎盘, 4%多聚甲醛 (货号KSG1101) 固定12-24小时.
抗原修复: Tris-EDTA抗原修复液(pH 9.0) (KSG1203), 98℃, 20分钟.
—抗: 1: 1300稀释, 4℃ 孵育过夜.
二抗: S-vision免疫组化多聚二抗(山羊抗兔),即用型 (货号KB3906), 室温孵育20分钟.

需要技术支持?

如果您有任何问题或如果您在实验过程中遇到问题,或需要更详细的技术指导,请联系我们的技术支持团队
电话 400-6027-270

联系我们

如果您对我们的公司或产品有任何疑问,欢迎随时联系我们