tel 400-6027-270
Main Image
Anti-MEOX 2 兔多克隆抗体
¥1900
加入对比
货号: K1335052-100
亚细胞定位: 细胞核
别名: Mesenchyme homeobox 2,Meox2,Gax,Mox-2,Mox2,Growth arrest-specific homeobox
应用 | 种属
IHC/IF M,R
规格:
产品信息
蛋白质全称 同源框蛋白MOX-2
别名 Mesenchyme homeobox 2,Meox2,Gax,Mox-2,Mox2,Growth arrest-specific homeobox
Uniprot ID P32443
免疫原 小鼠MEOX 2重组蛋白
抗体亚型 IgG
纯化方式 亲和纯化
亚细胞定位 细胞核
应用
IHC/IF 免疫组织化学/免疫荧光
物种:小鼠,大鼠
稀释比:1:300-1:1200
阳性样品:胎盘
背景
Mesodermal transcription factor that plays a key role in somitogenesis and is required for sclerotome development. Activates expression of CDKN1A and CDKN2A in endothelial cells, acting as a regulator of vascular cell proliferation. While it activates CDKN1A in a DNA-dependent manner, it activates CDKN2A in a DNA-independent manner. May have a regulatory role when quiescent vascular smooth muscle cells reenter the cell cycle.
储存条件
储存条件:储存条件在:-20℃下储存一年, 避免反复冻融.
储存缓冲液:含0.15% ProClin300防腐剂, 100 μg/mL牛血清白蛋白和50%甘油的磷酸盐缓冲液.
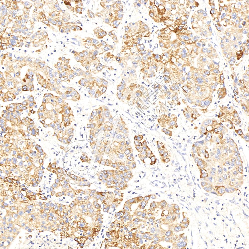
图像
IHC检测MEOX 2蛋白(货号 K1335052).
样品: 小鼠胎盘, 4%多聚甲醛 (货号KSG1101) 固定12-24小时.
抗原修复: 柠檬酸抗原修复液(干粉, pH 6.0) (KSG1201), 98℃, 20分钟.
—抗: 1: 800稀释, 4℃ 孵育过夜.
二抗: S-vision免疫组化多聚二抗(山羊抗兔),即用型 (货号KB3906), 室温孵育20分钟.
IHC检测MEOX 2蛋白(货号 K1335052).
样品: 大鼠胎盘, 4%多聚甲醛 (货号KSG1101) 固定12-24小时.
抗原修复: 柠檬酸抗原修复液(干粉, pH 6.0) (KSG1201), 98℃, 20分钟.
—抗: 1: 800稀释, 4℃ 孵育过夜.
二抗: S-vision免疫组化多聚二抗(山羊抗兔),即用型 (货号KB3906), 室温孵育20分钟.

需要技术支持?

如果您有任何问题或如果您在实验过程中遇到问题,或需要更详细的技术指导,请联系我们的技术支持团队
电话 400-6027-270

联系我们

如果您对我们的公司或产品有任何疑问,欢迎随时联系我们