tel 400-6027-270
Main Image
Anti-PAX7 兔多克隆抗体
¥1900
加入对比
货号: K1339570-100
亚细胞定位: 细胞核
别名: HUP1,paired box 7,Paired box protein Pax 7,PAX7,PAX7B,RMS2,PAX7 transcriptional factor
应用 | 种属
IHC/IF M
规格:
产品信息
蛋白质全称 配对盒蛋白Pax7
别名 HUP1,paired box 7,Paired box protein Pax 7,PAX7,PAX7B,RMS2,PAX7 transcriptional factor
Uniprot ID P47239
免疫原 小鼠PAX7重组蛋白
抗体亚型 IgG
纯化方式 亲和纯化
亚细胞定位 细胞核
应用
IHC/IF 免疫组织化学/免疫荧光
物种:小鼠
稀释比:1:2100-1:4200
阳性样品:胎脑
背景
PAX7, also named as HUP1, belongs to the paired homeobox family. It is probable a transcription factor. PAX7 may have a role in myogenesis. A chromosomal aberration involving PAX7 is a cause of rhabdomyosarcoma 2 (RMS2) which also known as alveolar rhabdomyosarcoma. The antibody is specific to PAX7. It will not cross react with other PAX members.
储存条件
储存条件:储存条件在:-20℃下储存一年, 避免反复冻融.
储存缓冲液:含0.15% ProClin300防腐剂, 100 μg/mL牛血清白蛋白和50%甘油的磷酸盐缓冲液.
图像
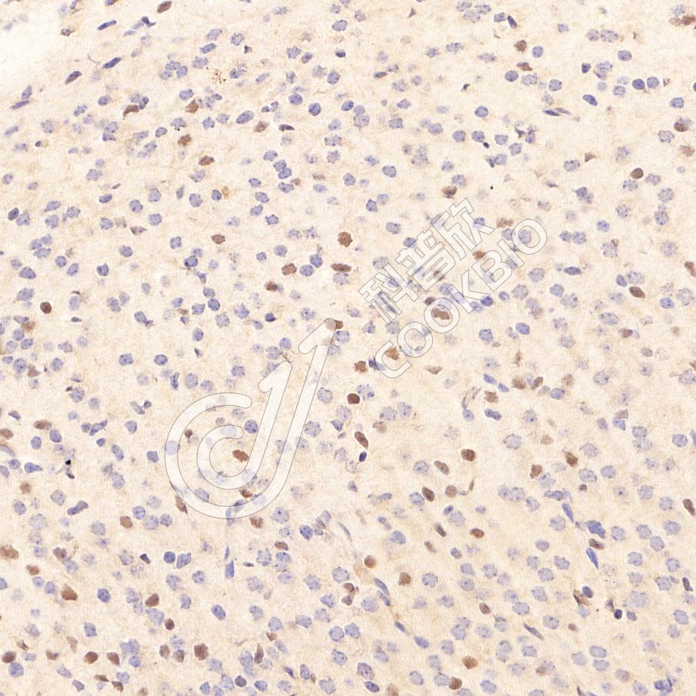
IHC检测PAX7蛋白(货号 K1339570).
样品: 小鼠胎脑, 4%多聚甲醛 (货号KSG1101) 固定12-24小时.
抗原修复: 柠檬酸抗原修复液(干粉, pH 6.0) (KSG1201), 98℃, 20分钟.
—抗: 1: 3200稀释, 4℃ 孵育过夜.
二抗: S-vision免疫组化多聚二抗(山羊抗兔),即用型 (货号KB3906), 室温孵育20分钟.
IHC检测PAX7蛋白(货号 K1339570).
样品: 小鼠胎脑, 4%多聚甲醛 (货号KSG1101) 固定12-24小时.
抗原修复: 柠檬酸抗原修复液(干粉, pH 6.0) (KSG1201), 98℃, 20分钟.
—抗: 1: 3200稀释, 4℃ 孵育过夜.
二抗: S-vision免疫组化多聚二抗(山羊抗兔),即用型 (货号KB3906), 室温孵育20分钟.

需要技术支持?

如果您有任何问题或如果您在实验过程中遇到问题,或需要更详细的技术指导,请联系我们的技术支持团队
电话 400-6027-270

联系我们

如果您对我们的公司或产品有任何疑问,欢迎随时联系我们