tel 400-6027-270
Main Image
Anti-LEF1 兔多克隆抗体
¥1900
加入对比
货号: K1335661-100
亚细胞定位: 细胞核
别名: LEF-1,Lef1,TCF1 alpha,TCF1ALPHA,TCF7L3,FLJ46390,TCF10,LEF1
应用 | 种属
IHC/IF M,R
规格:
产品信息
蛋白质全称 淋巴增强子结合因子1
别名 LEF-1,Lef1,TCF1 alpha,TCF1ALPHA,TCF7L3,FLJ46390,TCF10,LEF1
Uniprot ID P27782
免疫原 KLH偶联的小鼠LEF1合成肽
抗体亚型 IgG
纯化方式 亲和纯化
亚细胞定位 细胞核
应用
IHC/IF 免疫组织化学/免疫荧光
物种:小鼠,大鼠
稀释比:1:600-1:1800
阳性样品:胸腺
背景
This gene encodes a transcription factor belonging to a family of proteins that share homology with the high mobility group protein-1. The protein encoded by this gene can bind to a functionally important site in the T-cell receptor-alpha enhancer, thereby conferring maximal enhancer activity. This transcription factor is involved in the Wnt signaling pathway, and it may function in hair cell differentiation and follicle morphogenesis.
储存条件
储存条件:储存条件在:-20℃下储存一年, 避免反复冻融.
储存缓冲液:含0.15% ProClin300防腐剂, 100 μg/mL牛血清白蛋白和50%甘油的磷酸盐缓冲液.
图像
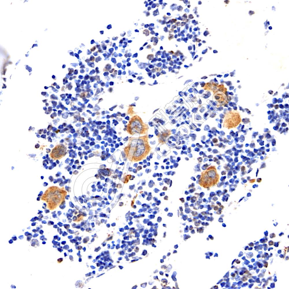
IHC检测LEF1蛋白(货号 K1335661).
样品: 小鼠胸腺, 4%多聚甲醛 (货号KSG1101) 固定12-24小时.
抗原修复: 柠檬酸抗原修复液(干粉, pH 6.0) (KSG1201), 98℃, 20分钟.
—抗: 1: 1200稀释, 4℃ 孵育过夜.
二抗: S-vision免疫组化多聚二抗(山羊抗兔),即用型 (货号KB3906), 室温孵育20分钟.
IHC检测LEF1蛋白(货号 K1335661).
样品: 大鼠胸腺, 4%多聚甲醛 (货号KSG1101) 固定12-24小时.
抗原修复: 柠檬酸抗原修复液(干粉, pH 6.0) (KSG1201), 98℃, 20分钟.
—抗: 1: 1200稀释, 4℃ 孵育过夜.
二抗: S-vision免疫组化多聚二抗(山羊抗兔),即用型 (货号KB3906), 室温孵育20分钟.

需要技术支持?

如果您有任何问题或如果您在实验过程中遇到问题,或需要更详细的技术指导,请联系我们的技术支持团队
电话 400-6027-270

联系我们

如果您对我们的公司或产品有任何疑问,欢迎随时联系我们