tel 400-6027-270
Main Image
Anti-STEAP3 兔多克隆抗体
¥1900
加入对比
货号: K1334968-100
亚细胞定位: 内体
别名: Dudulin-2,Protein nm1054,Six-transmembrane epithelial antigen of prostate 3,Tumor suppressor-activated pathway protein 6,Steap3,Tsap6,1010001D01Rik,MGC93147,pHyde
应用 | 种属
IHC/IF M
规格:
产品信息
蛋白质全称 金属还原酶STEAP3
别名 Dudulin-2,Protein nm1054,Six-transmembrane epithelial antigen of prostate 3,Tumor suppressor-activated pathway protein 6,Steap3,Tsap6,1010001D01Rik,MGC93147,pHyde
Uniprot ID Q8CI59
免疫原 小鼠 STEAP3重组蛋白
抗体亚型 IgG
纯化方式 亲和纯化
亚细胞定位 内体
应用
IHC/IF 免疫组织化学/免疫荧光
物种:小鼠
稀释比:1:500-1:1500
阳性样品:肝, 胰腺
背景
Endosomal ferrireductase required for efficient transferrin-dependent iron uptake in erythroid cells. Participates in erythroid iron homeostasis by reducing Fe(3+) to Fe(2+). Can also reduce of Cu(2+) to Cu(1+), suggesting that it participates in copper homeostasis. Uses NADP(+) as acceptor. May play a role downstream of p53/TP53 to interface apoptosis and cell cycle progression. Indirectly involved in exosome secretion by facilitating the secretion of proteins such as TCTP.
储存条件
储存条件:储存条件在:-20℃下储存一年, 避免反复冻融.
储存缓冲液:含0.15% ProClin300防腐剂, 100 μg/mL牛血清白蛋白和50%甘油的磷酸盐缓冲液.
图像
IHC检测STEAP3蛋白(货号 K1334968).
样品: 小鼠肝, 4%多聚甲醛 (货号KSG1101) 固定12-24小时.
抗原修复: 柠檬酸抗原修复液(干粉, pH 6.0) (KSG1201), 98℃, 20分钟.
—抗: 1: 1000稀释, 4℃ 孵育过夜.
二抗: S-vision免疫组化多聚二抗(山羊抗兔),即用型 (货号KB3906), 室温孵育20分钟.
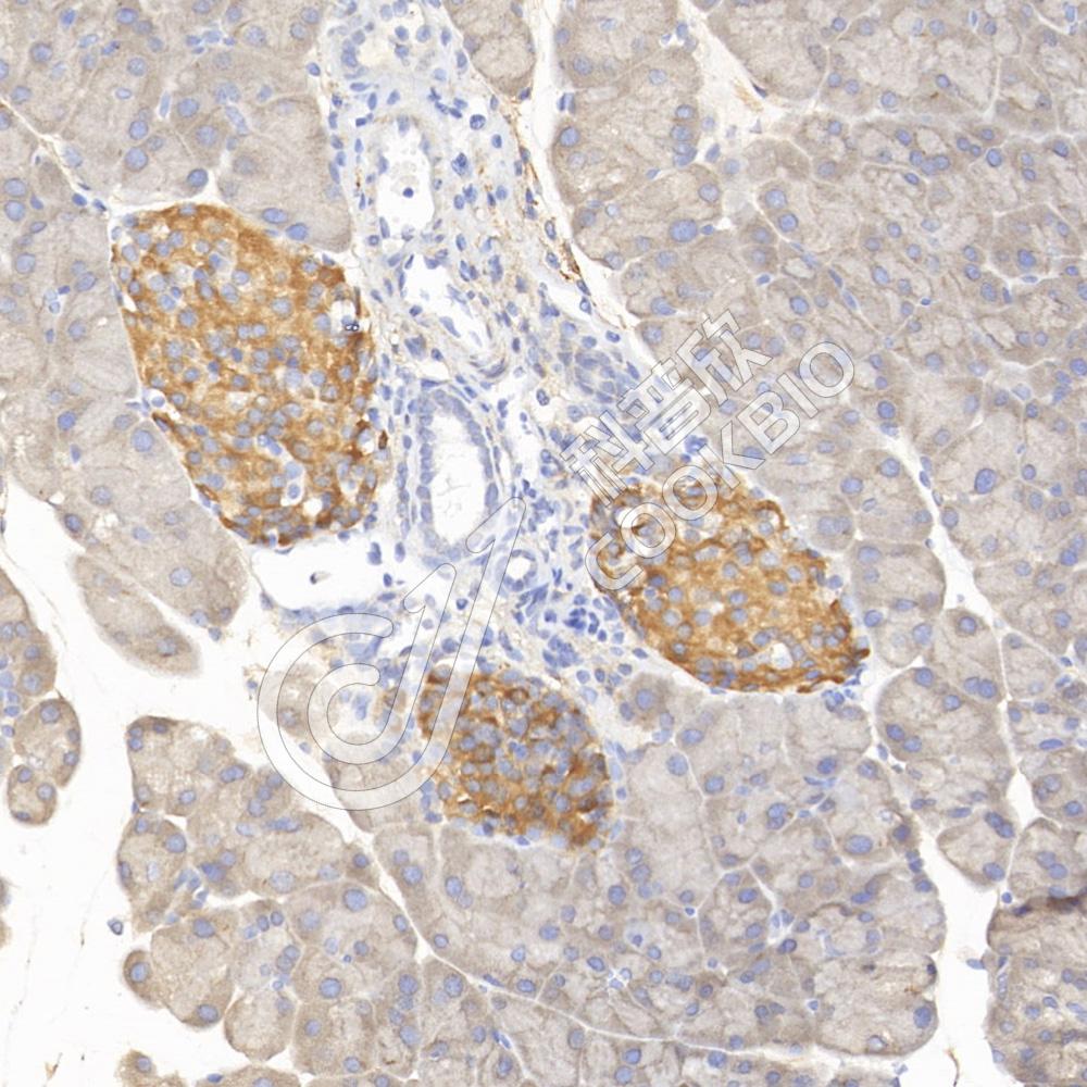
IHC检测STEAP3蛋白(货号 K1334968).
样品: 小鼠胰腺, 4%多聚甲醛 (货号KSG1101) 固定12-24小时.
抗原修复: 柠檬酸抗原修复液(干粉, pH 6.0) (KSG1201), 98℃, 20分钟.
—抗: 1: 1000稀释, 4℃ 孵育过夜.
二抗: S-vision免疫组化多聚二抗(山羊抗兔),即用型 (货号KB3906), 室温孵育20分钟.

需要技术支持?

如果您有任何问题或如果您在实验过程中遇到问题,或需要更详细的技术指导,请联系我们的技术支持团队
电话 400-6027-270

联系我们

如果您对我们的公司或产品有任何疑问,欢迎随时联系我们