tel 400-6027-270
Main Image
Anti-KPNA1 兔多克隆抗体
¥1900
加入对比
货号: K1339183-100
亚细胞定位: 细胞质, 细胞核
别名: Importin alpha-S1,Karyopherin subunit alpha-1,Nucleoprotein interactor 1,NPI-1,RAG cohort protein 2,SRP1-beta,Kpna1,Rch2,Impα5,IPOA5,SRP1
应用 | 种属
IHC/IF M
规格:
产品信息
蛋白质全称 核转运蛋白亚基alpha-5
别名 Importin alpha-S1,Karyopherin subunit alpha-1,Nucleoprotein interactor 1,NPI-1,RAG cohort protein 2,SRP1-beta,Kpna1,Rch2,Impα5,IPOA5,SRP1
Uniprot ID Q60960
免疫原 KLH偶联的小鼠KPNA1合成肽
抗体亚型 IgG
纯化方式 亲和纯化
亚细胞定位 细胞质, 细胞核
应用
IHC/IF 免疫组织化学/免疫荧光
物种:小鼠
稀释比:1:3000-1:6000
阳性样品:胎盘, 睾丸
背景
Importins (alpha and beta) are transport factors that transport proteins into the nucleus. alpha importins function by binding transcription factors at nuclear localization sequences (NLS), and associating with importin beta subunits to translocate through the nuclear pore. Six isoforms of alpha importins have been described in human. Importin alpha 5 is the predominant importin in adult CNS and is essential for differentiation and viability of neural cells.
储存条件
储存条件:储存条件在:-20℃下储存一年, 避免反复冻融.
储存缓冲液:含0.15% ProClin300防腐剂, 100 μg/mL牛血清白蛋白和50%甘油的磷酸盐缓冲液.
图像
IHC检测KPNA1蛋白(货号 K1339183).
样品: 小鼠胎盘, 4%多聚甲醛 (货号KSG1101) 固定12-24小时.
抗原修复: 柠檬酸抗原修复液(干粉, pH 6.0) (KSG1201), 98℃, 20分钟.
—抗: 1: 4500稀释, 4℃ 孵育过夜.
二抗: S-vision免疫组化多聚二抗(山羊抗兔),即用型 (货号KB3906), 室温孵育20分钟.
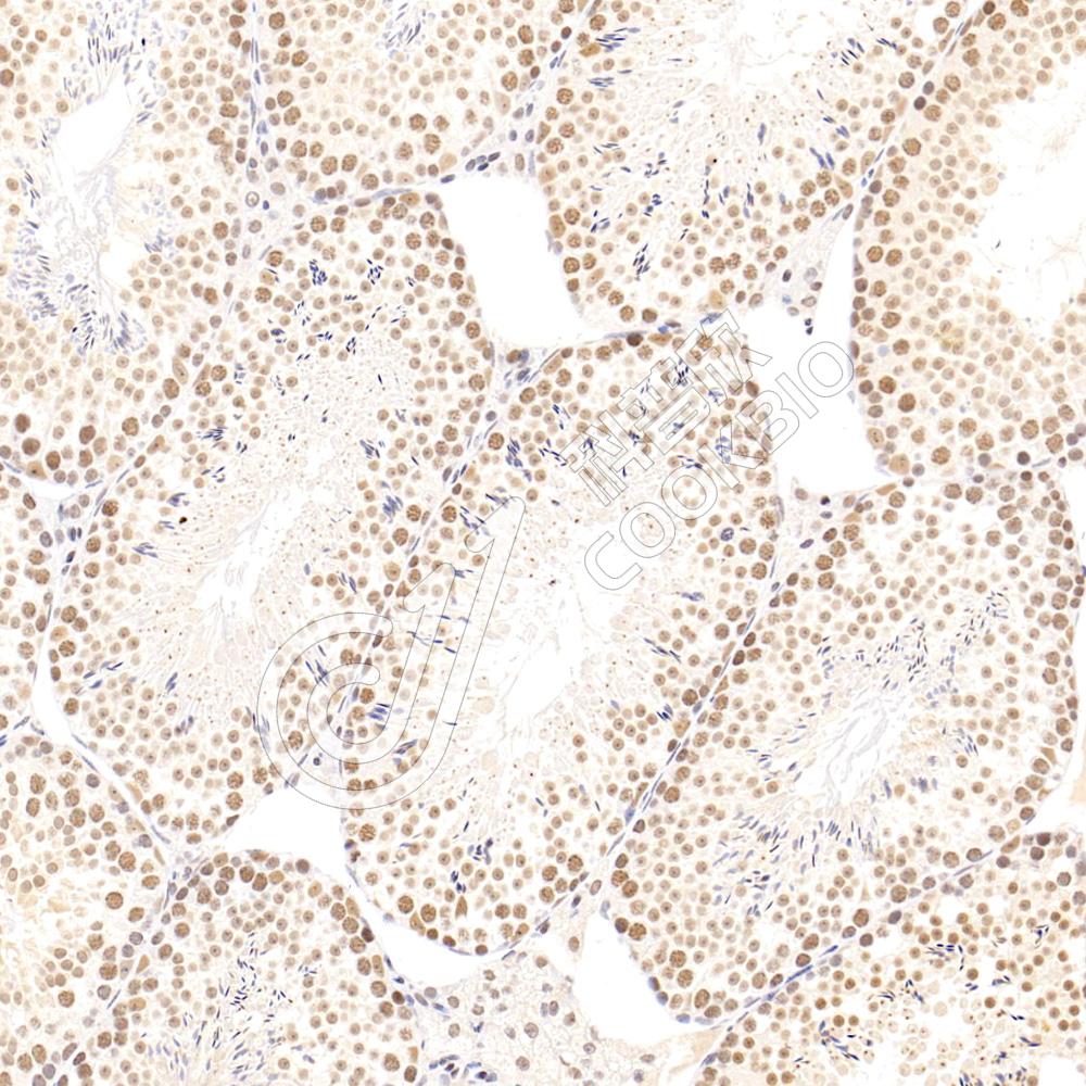
IHC检测KPNA1蛋白(货号 K1339183).
样品: 小鼠睾丸, 4%多聚甲醛 (货号KSG1101) 固定12-24小时.
抗原修复: 柠檬酸抗原修复液(干粉, pH 6.0) (KSG1201), 98℃, 20分钟.
—抗: 1: 4500稀释, 4℃ 孵育过夜.
二抗: S-vision免疫组化多聚二抗(山羊抗兔),即用型 (货号KB3906), 室温孵育20分钟.

需要技术支持?

如果您有任何问题或如果您在实验过程中遇到问题,或需要更详细的技术指导,请联系我们的技术支持团队
电话 400-6027-270

联系我们

如果您对我们的公司或产品有任何疑问,欢迎随时联系我们