tel 400-6027-270
Main Image
Anti-CSN2 兔多克隆抗体
¥1900
加入对比
货号: K1333996-100
亚细胞定位: 细胞质, 细胞核
别名: SGN2,Signalosome subunit 2,Alien homolog,JAB1-containing signalosome subunit 2,Thyroid receptor-interacting protein 15,TR-interacting protein 15,TRIP-15,Cops2,Csn2,Trip15
应用 | 种属
IHC/IF M
规格:
产品信息
蛋白质全称 COP9信号体复合物亚基2
别名 SGN2,Signalosome subunit 2,Alien homolog,JAB1-containing signalosome subunit 2,Thyroid receptor-interacting protein 15,TR-interacting protein 15,TRIP-15,Cops2,Csn2,Trip15
Uniprot ID P61202
免疫原 小鼠CSN2重组蛋白
抗体亚型 IgG
纯化方式 亲和纯化
亚细胞定位 细胞质, 细胞核
应用
IHC/IF 免疫组织化学/免疫荧光
物种:小鼠
稀释比:1:700-1:1400
阳性样品:脑, 心
背景
COPS2 is an essential component of the COP9 signalosome complex (CSN), a complex involved in various cellular and developmental processes. The CSN complex is an essential regulator of the ubiquitin (Ubl) conjugation pathway by mediating the deneddylation of the cullin subunits of SCF-type E3 ligase complexes, leading to decrease the Ubl ligase activity of SCF-type complexes such as SCF, CSA or DDB2. The complex is also involved in phosphorylation of p53/TP53, c-jun/JUN, IkappaBalpha/NFKBIA, ITPK1 and IRF8/ICSBP, possibly via its association with CK2 and PKD kinases.
储存条件
储存条件:储存条件在:-20℃下储存一年, 避免反复冻融.
储存缓冲液:含0.15% ProClin300防腐剂, 100 μg/mL牛血清白蛋白和50%甘油的磷酸盐缓冲液.
图像
IHC检测CSN2蛋白(货号 K1333996).
样品: 小鼠脑, 4%多聚甲醛 (货号KSG1101) 固定12-24小时.
抗原修复: 柠檬酸抗原修复液(干粉, pH 6.0) (KSG1201), 98℃, 20分钟.
—抗: 1: 1100稀释, 4℃ 孵育过夜.
二抗: S-vision免疫组化多聚二抗(山羊抗兔),即用型 (货号KB3906), 室温孵育20分钟.
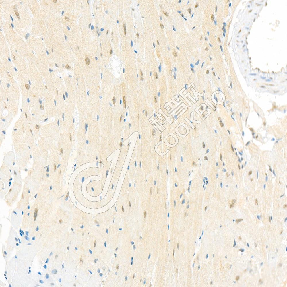
IHC检测CSN2蛋白(货号 K1333996).
样品: 小鼠心, 4%多聚甲醛 (货号KSG1101) 固定12-24小时.
抗原修复: 柠檬酸抗原修复液(干粉, pH 6.0) (KSG1201), 98℃, 20分钟.
—抗: 1: 1100稀释, 4℃ 孵育过夜.
二抗: S-vision免疫组化多聚二抗(山羊抗兔),即用型 (货号KB3906), 室温孵育20分钟.

需要技术支持?

如果您有任何问题或如果您在实验过程中遇到问题,或需要更详细的技术指导,请联系我们的技术支持团队
电话 400-6027-270

联系我们

如果您对我们的公司或产品有任何疑问,欢迎随时联系我们