tel 400-6027-270
Main Image
Anti-RAP1GAP 兔多克隆抗体
¥1900
加入对比
货号: K1334419-100
预测分子量: 73 kDa
观测分子量: 95 kDa
别名: Rap1GAP,Rap1GAP1,ARPP-90,Rap1gap,Kiaa0474,Rap1ga1
应用 | 种属
WB H,M,R
规格:
产品信息
蛋白质全称 Rap1 GTP酶激活蛋白1
别名 Rap1GAP,Rap1GAP1,ARPP-90,Rap1gap,Kiaa0474,Rap1ga1
Uniprot ID A2ALS5
免疫原 小鼠RAP1GAP重组蛋白
抗体亚型 IgG
纯化方式 亲和纯化
预测分子量./观测分子量. 73 kDa / 95 kDa
应用
WB 免疫印迹
物种:人,小鼠,大鼠
稀释比:1:500-1:1000
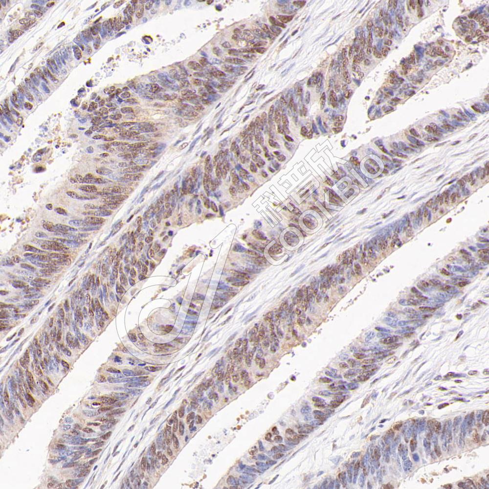
阳性样品:海马区
背景
Rap1GAP specifically stimulates GTP hydrolytic activity of the monomeric G protein Rap1. Physical interaction between G alpha z, a member of the Gi family of trimeric G proteins, and Rap1GAP blocks the ability of regulators of G protein signaling to stimulate GTP hydrolysis of the alpha subunit, and also attenuates the ability of activated G alpha z to inhibit adenylyl cyclase. Rap1GAP is expressed in the brain, kidney and pancreas and may act as a signal integrator to coordinate and/or integrate Gz signaling and Rap1 signaling in cells.
储存条件
储存条件:储存条件在:-20℃下储存一年, 避免反复冻融.
储存缓冲液:含0.15% ProClin300防腐剂, 100 μg/mL牛血清白蛋白和50%甘油的磷酸盐缓冲液.
图像
WB检测RAP1GAP蛋白(货号 K1334419).
样品: 经RIPA裂解液(货号KSG2002)处理的蛋白质.
封闭: 3%脱脂牛奶(货号KSGC310001)溶于TBST溶液, 室温孵育1小时.
—抗: 1: 1000稀释, 4℃ 孵育过夜.
二抗: HRP标记山羊抗兔IgG (H+L) (货号KB69909), 1: 5000稀释, 室温孵育1小时.

需要技术支持?

如果您有任何问题或如果您在实验过程中遇到问题,或需要更详细的技术指导,请联系我们的技术支持团队
电话 400-6027-270

联系我们

如果您对我们的公司或产品有任何疑问,欢迎随时联系我们