tel 400-6027-270
Main Image
Anti-GPCR RDC1/CXCR-7 兔多克隆抗体
¥1900
加入对比
货号: K133768-100
亚细胞定位: 细胞膜, 细胞质
别名: ACKR3,CMKOR1,CXC-R7,CXCR-7,CXCR7,GPR159,RDC-1,RDC1,atypical chemokine receptor 3
应用 | 种属
IHC/IF H,M,R
规格:
产品信息
蛋白质全称 非典型趋化因子受体3
别名 ACKR3,CMKOR1,CXC-R7,CXCR-7,CXCR7,GPR159,RDC-1,RDC1,atypical chemokine receptor 3
Uniprot ID P56485
免疫原 KLH偶联的小鼠CXCR7合成肽
抗体亚型 IgG
纯化方式 亲和纯化
亚细胞定位 细胞膜, 细胞质
应用
IHC/IF 免疫组织化学/免疫荧光
物种:人,小鼠,大鼠
稀释比:1:100-1:200
阳性样品:LPS诱导的肾脓毒症
背景
This gene encodes a member of the G-protein coupled receptor family. Although this protein was earlier thought to be a receptor for vasoactive intestinal peptide (VIP), it is now considered to be an orphan receptor, in that its endogenous ligand has not been identified. The protein is also a coreceptor for human immunodeficiency viruses (HIV). Translocations involving this gene and HMGA2 on chromosome 12 have been observed in lipomas.
储存条件
储存条件:储存条件在:-20℃下储存一年, 避免反复冻融.
储存缓冲液:含0.15% ProClin300防腐剂, 100 μg/mL牛血清白蛋白和50%甘油的磷酸盐缓冲液.
图像
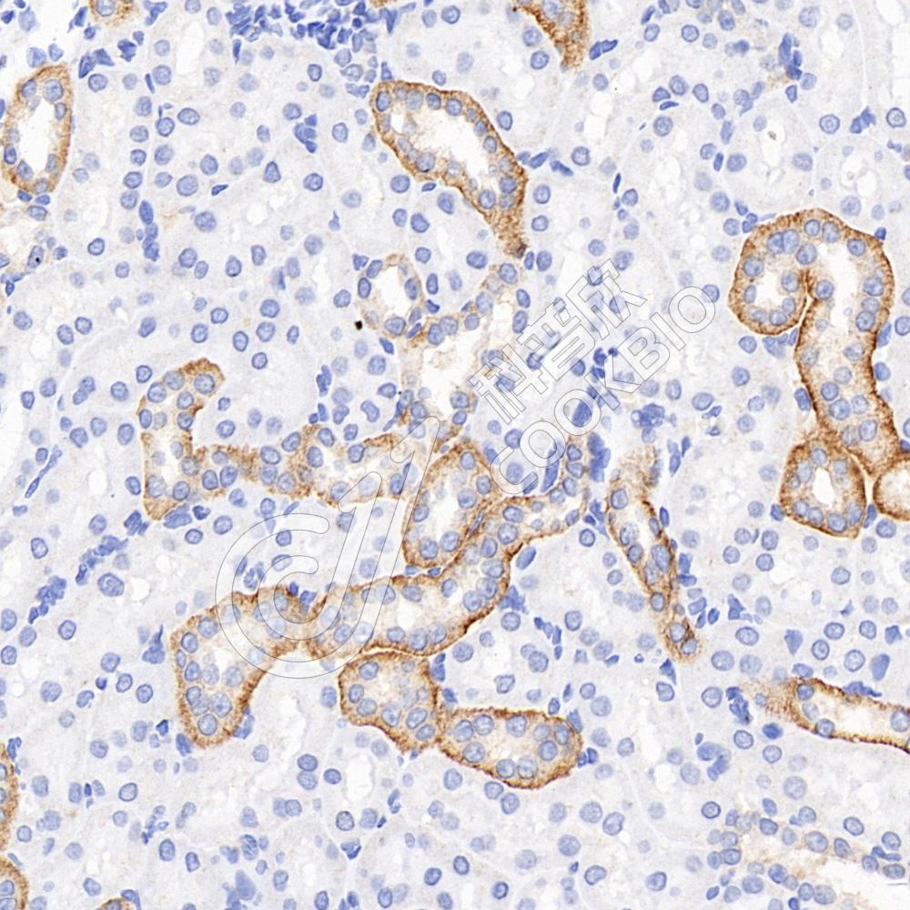
IHC检测GPCR RDC1/CXCR-7蛋白(货号 K133768).
样品: 小鼠LPS诱导的肾脓毒症, 4%多聚甲醛 (货号KSG1101) 固定12-24小时.
抗原修复: 柠檬酸抗原修复液(干粉, pH 6.0) (KSG1201), 98℃, 20分钟.
—抗: 1: 200稀释, 4℃ 孵育过夜.
二抗: S-vision免疫组化多聚二抗(山羊抗兔),即用型 (货号KB3906), 室温孵育20分钟.
IHC检测GPCR RDC1/CXCR-7蛋白(货号 K133768).
样品: 大鼠LPS诱导的肾脓毒症, 4%多聚甲醛 (货号KSG1101) 固定12-24小时.
抗原修复: 柠檬酸抗原修复液(干粉, pH 6.0) (KSG1201), 98℃, 20分钟.
—抗: 1: 200稀释, 4℃ 孵育过夜.
二抗: S-vision免疫组化多聚二抗(山羊抗兔),即用型 (货号KB3906), 室温孵育20分钟.

需要技术支持?

如果您有任何问题或如果您在实验过程中遇到问题,或需要更详细的技术指导,请联系我们的技术支持团队
电话 400-6027-270

联系我们

如果您对我们的公司或产品有任何疑问,欢迎随时联系我们