tel 400-6027-270
Main Image
Anti-Calcitonin receptor/CT-R 兔多克隆抗体
¥1900
加入对比
货号: K134761-100
亚细胞定位: 细胞膜
别名: CALCR,CRT,CT-R,CTR,CTR1,calcitonin receptor
应用 | 种属
IHC/IF R
规格:
产品信息
蛋白质全称 降钙素受体
别名 CALCR,CRT,CT-R,CTR,CTR1,calcitonin receptor
Uniprot ID Q60755
免疫原 KLH偶联的小鼠Calcitonin receptor合成肽
抗体亚型 IgG
纯化方式 亲和纯化
亚细胞定位 细胞膜
应用
IHC/IF 免疫组织化学/免疫荧光
物种:大鼠
稀释比:1:500-1:4000
阳性样品:骨
背景
The calcitonin receptor (CT) is a G protein-coupled receptor that binds the peptide hormone calcitonin and is involved in maintenance of calcium homeostasis, particularly with respect to bone formation and metabolism. CT works by activating the G-proteins Gs and Gq often found on osteoclasts, on cells in the kidney, and on cells in a number of regions of the brain. It may also affect the ovaries in women and the testes in men.
储存条件
储存条件:储存条件在:-20℃下储存一年, 避免反复冻融.
储存缓冲液:含0.15% ProClin300防腐剂, 100 μg/mL牛血清白蛋白和50%甘油的磷酸盐缓冲液.
图像
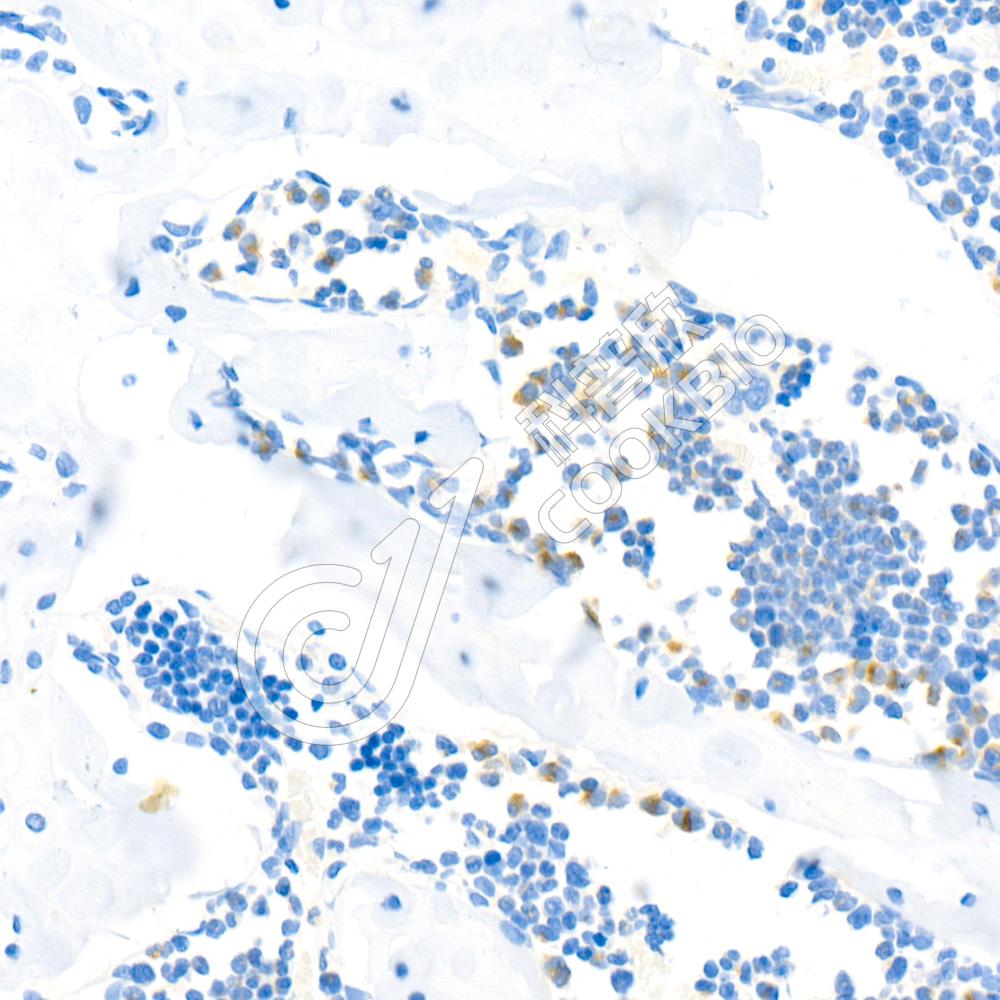
IHC检测Calcitonin receptor/CT-R蛋白(货号 K134761).
样品: 大鼠骨, 4%多聚甲醛 (货号KSG1101) 固定12-24小时.
抗原修复: 柠檬酸抗原修复液(干粉, pH 6.0) (KSG1201), 98℃, 20分钟.
—抗: 1: 2300稀释, 4℃ 孵育过夜.
二抗: S-vision免疫组化多聚二抗(山羊抗兔),即用型 (货号KB3906), 室温孵育20分钟.
IHC检测Calcitonin receptor/CT-R蛋白(货号 K134761).
样品: 大鼠骨, 4%多聚甲醛 (货号KSG1101) 固定12-24小时.
抗原修复: 柠檬酸抗原修复液(干粉, pH 6.0) (KSG1201), 98℃, 20分钟.
—抗: 1: 2300稀释, 4℃ 孵育过夜.
二抗: S-vision免疫组化多聚二抗(山羊抗兔),即用型 (货号KB3906), 室温孵育20分钟.

需要技术支持?

如果您有任何问题或如果您在实验过程中遇到问题,或需要更详细的技术指导,请联系我们的技术支持团队
电话 400-6027-270

联系我们

如果您对我们的公司或产品有任何疑问,欢迎随时联系我们