tel 400-6027-270
Main Image
Anti-TAF4 兔多克隆抗体
¥1900
加入对比
货号: K1335175-100
亚细胞定位: 细胞核, 细胞质
别名: Taf4,Taf4a,TAF2C,TAFII 130,TAFII 135,TBP associated factor 4,TAF4b RNA polymerase II,TAFII 105,RNA polymerase II,C2
应用 | 种属
IHC/IF M,R
规格:
产品信息
蛋白质全称 TATA盒结合蛋白相关因子4
别名 Taf4,Taf4a,TAF2C,TAFII 130,TAFII 135,TBP associated factor 4,TAF4b RNA polymerase II,TAFII 105,RNA polymerase II,C2
Uniprot ID E9QAP7
免疫原 小鼠TAF4重组蛋白
抗体亚型 IgG
纯化方式 亲和纯化
亚细胞定位 细胞核, 细胞质
应用
IHC/IF 免疫组织化学/免疫荧光
物种:小鼠,大鼠
稀释比:1:450-1:1300
阳性样品:十二指肠
背景
TAF II p105, also called TAF4B, is a celltype specific transcriptional co-activator that is a component of the TFIID complex. Expressed primarily in B cells and ovarian granulosa cells, TAF II p105 can interact with OCBA/POU2AF1 to activate B cell-specific octamerdependent transcription. Additionally, TAF II p105 plays an important role in co-activating the transcription factor NFkB and is essential for activation of anti-apoptotic genes such as TNFAIP3.
储存条件
储存条件:储存条件在:-20℃下储存一年, 避免反复冻融.
储存缓冲液:含0.15% ProClin300防腐剂, 100 μg/mL牛血清白蛋白和50%甘油的磷酸盐缓冲液.
图像
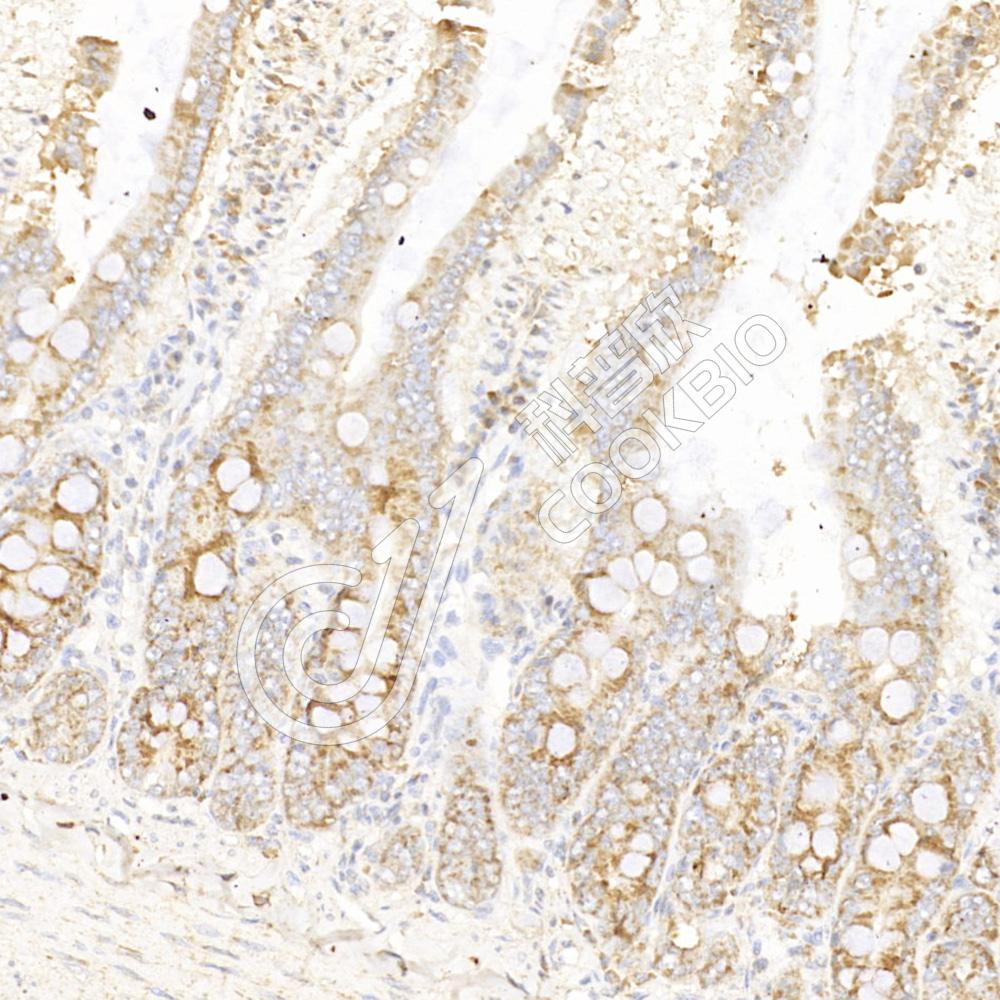
IHC检测Taf4蛋白(货号 K1335175).
样品: 小鼠十二指肠, 4%多聚甲醛 (货号KSG1101) 固定12-24小时.
抗原修复: 柠檬酸抗原修复液(干粉, pH 6.0) (KSG1201), 98℃, 20分钟.
—抗: 1: 900稀释, 4℃ 孵育过夜.
二抗: S-vision免疫组化多聚二抗(山羊抗兔),即用型 (货号KB3906), 室温孵育20分钟.
IHC检测Taf4蛋白(货号 K1335175).
样品: 大鼠十二指肠, 4%多聚甲醛 (货号KSG1101) 固定12-24小时.
抗原修复: 柠檬酸抗原修复液(干粉, pH 6.0) (KSG1201), 98℃, 20分钟.
—抗: 1: 900稀释, 4℃ 孵育过夜.
二抗: S-vision免疫组化多聚二抗(山羊抗兔),即用型 (货号KB3906), 室温孵育20分钟.

需要技术支持?

如果您有任何问题或如果您在实验过程中遇到问题,或需要更详细的技术指导,请联系我们的技术支持团队
电话 400-6027-270

联系我们

如果您对我们的公司或产品有任何疑问,欢迎随时联系我们