tel 400-6027-270
Main Image
Anti-ZEB1 兔多克隆抗体
¥1900
加入对比
货号: K1342189-100
亚细胞定位: 细胞核
别名: AREB6,BZP,DELTA EF1,delta EF1,,Negative regulator of IL2,NIL 2 A,NIL 2 A zinc finger protein,NIL 2A,NIL2A,TCF 8,TCF8,Transcription factor 8,ZEB,ZEB1,ZFHEP,ZFHX1A,  zinc finger E-box binding homeobox 1,DELTAEF1,FECD6,PPCD3
应用 | 种属
IHC/IF H
规格:
产品信息
蛋白质全称 锌指E盒结合同源框蛋白1
别名 AREB6,BZP,DELTA EF1,delta EF1,,Negative regulator of IL2,NIL 2 A,NIL 2 A zinc finger protein,NIL 2A,NIL2A,TCF 8,TCF8,Transcription factor 8,ZEB,ZEB1,ZFHEP,ZFHX1A,  zinc finger E-box binding homeobox 1,DELTAEF1,FECD6,PPCD3
Uniprot ID P37275
免疫原 人ZEB1重组蛋白
抗体亚型 IgG
纯化方式 亲和纯化
亚细胞定位 细胞核
应用
IHC/IF 免疫组织化学/免疫荧光
物种:人
稀释比:1:1000-1:2000
阳性样品:结肠, 结肠癌
背景
ZEB1(zinc-finger-enhancer binding protein 1), which is a members of the Zincfinger-Homeobox (ZFH)-family of repressors, acts as a transcriptional repressor that inhibits interleukin-2 (IL-2) gene expression. Depending on the quantity of cDNA and on the cell type, ZEB1 can enhance or repress the promoter activity of the ATP1A1 gene . Represses E-cadherin promoter and induces an epithelial-mesenchymal transition (EMT) by recruiting SMARCA4/BRG1. Represses BCL6 transcription in the presence of the corepressor CTBP1. Positively regulates neuronal differentiation.
储存条件
储存条件:储存条件在:-20℃下储存一年, 避免反复冻融.
储存缓冲液:含0.15% ProClin300防腐剂, 100 μg/mL牛血清白蛋白和50%甘油的磷酸盐缓冲液.
图像
IHC检测ZEB1蛋白(货号 K1342189).
样品: 人结肠癌, 4%多聚甲醛 (货号KSG1101) 固定12-24小时.
抗原修复: 柠檬酸抗原修复液(干粉, pH 6.0) (KSG1201), 98℃, 20分钟.
—抗: 1: 1500稀释, 4℃ 孵育过夜.
二抗: S-vision免疫组化多聚二抗(山羊抗兔),即用型 (货号KB3906), 室温孵育20分钟.
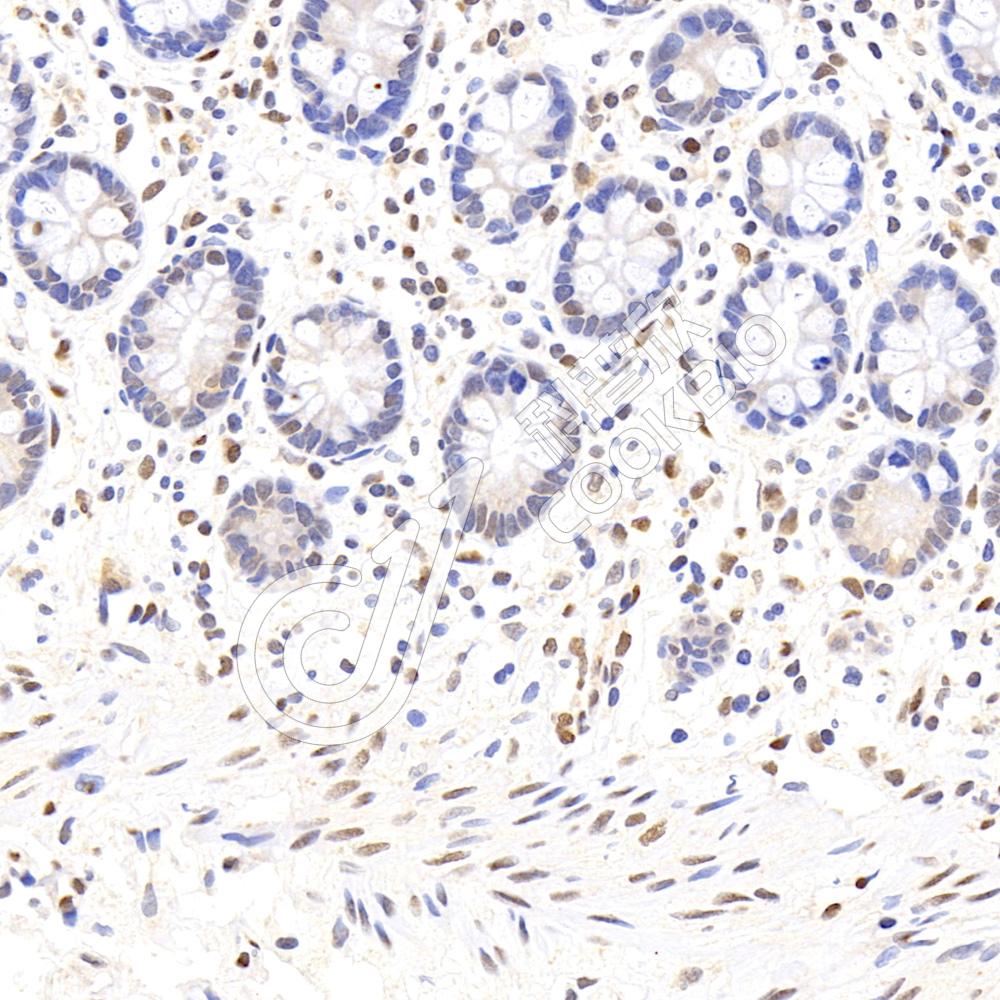
IHC检测ZEB1蛋白(货号 K1342189).
样品: 人结肠, 4%多聚甲醛 (货号KSG1101) 固定12-24小时.
抗原修复: 柠檬酸抗原修复液(干粉, pH 6.0) (KSG1201), 98℃, 20分钟.
—抗: 1: 1500稀释, 4℃ 孵育过夜.
二抗: S-vision免疫组化多聚二抗(山羊抗兔),即用型 (货号KB3906), 室温孵育20分钟.

需要技术支持?

如果您有任何问题或如果您在实验过程中遇到问题,或需要更详细的技术指导,请联系我们的技术支持团队
电话 400-6027-270

联系我们

如果您对我们的公司或产品有任何疑问,欢迎随时联系我们