tel 400-6027-270
Main Image
Anti-TFII I 兔多克隆抗体
¥1900
加入对比
货号: K1339414-100
亚细胞定位: 细胞质, 细胞核
别名: BAP135,BTK associated protein 135,BTKAP1,DIWS,GTF2I,GTFII I,IB291,SPIN,SRF Phox1 interacting protein,TFII I,WBS,WBSCR6
应用 | 种属
IHC/IF H,M,R
规格:
产品信息
蛋白质全称 通用转录因子II-I
别名 BAP135,BTK associated protein 135,BTKAP1,DIWS,GTF2I,GTFII I,IB291,SPIN,SRF Phox1 interacting protein,TFII I,WBS,WBSCR6
Uniprot ID Q9ESZ8
免疫原 小鼠TFII I重组蛋白
抗体亚型 IgG
纯化方式 亲和纯化
亚细胞定位 细胞质, 细胞核
应用
IHC/IF 免疫组织化学/免疫荧光
物种:人,小鼠,大鼠
稀释比:1:4800-1:9600
阳性样品:脑, 肺癌
背景
The GTF2I gene encodes a transcription factor. It negatively regulates agonist-induced calcium entry into cells by interfering with expression of the cation channel TRPC3 at the plasma membrane . As a transcription factor and/or as a regulator of intracellular calcium levels, GTF2I may play a role in the molecular basis of anxiety . It interacts with the basal transcription machinery by coordinating the formation of a multiprotein complex at the C-FOS promoter, and linking specific signal responsive activator complexes.
储存条件
储存条件:储存条件在:-20℃下储存一年, 避免反复冻融.
储存缓冲液:含0.15% ProClin300防腐剂, 100 μg/mL牛血清白蛋白和50%甘油的磷酸盐缓冲液.
图像
IHC检测TFII I蛋白(货号 K1339414).
样品: 人肺癌, 4%多聚甲醛 (货号KSG1101) 固定12-24小时.
抗原修复: Tris-EDTA抗原修复液(pH 9.0) (KSG1203), 98℃, 20分钟.
—抗: 1: 7200稀释, 4℃ 孵育过夜.
二抗: S-vision免疫组化多聚二抗(山羊抗兔),即用型 (货号KB3906), 室温孵育20分钟.
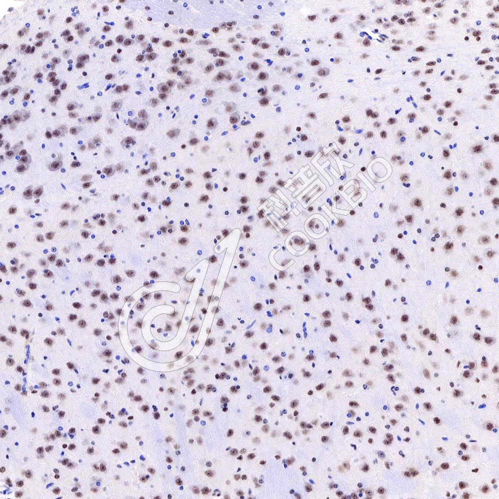
IHC检测TFII I蛋白(货号 K1339414).
样品: 小鼠脑, 4%多聚甲醛 (货号KSG1101) 固定12-24小时.
抗原修复: Tris-EDTA抗原修复液(pH 9.0) (KSG1203), 98℃, 20分钟.
—抗: 1: 7200稀释, 4℃ 孵育过夜.
二抗: S-vision免疫组化多聚二抗(山羊抗兔),即用型 (货号KB3906), 室温孵育20分钟.
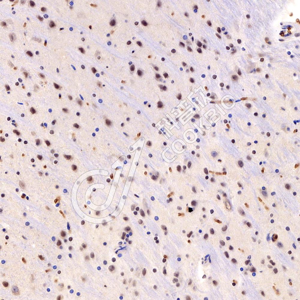
IHC检测TFII I蛋白(货号 K1339414).
样品: 大鼠脑, 4%多聚甲醛 (货号KSG1101) 固定12-24小时.
抗原修复: Tris-EDTA抗原修复液(pH 9.0) (KSG1203), 98℃, 20分钟.
—抗: 1: 7200稀释, 4℃ 孵育过夜.
二抗: S-vision免疫组化多聚二抗(山羊抗兔),即用型 (货号KB3906), 室温孵育20分钟.

需要技术支持?

如果您有任何问题或如果您在实验过程中遇到问题,或需要更详细的技术指导,请联系我们的技术支持团队
电话 400-6027-270

联系我们

如果您对我们的公司或产品有任何疑问,欢迎随时联系我们