tel 400-6027-270
Main Image
Anti-Constitutive androstane receptor 兔多克隆抗体
¥1900
加入对比
货号: K1334254-100
预测分子量: 41 kDa
观测分子量: 41 kDa
亚细胞定位: 细胞核, 细胞质
别名: Constitutive androstane receptor,CAR,Orphan nuclear receptor MB67,Nr1i3,Car,Orphan nuclear receptor MB67,Orphan nuclear receptor NR1I3
应用 | 种属
WB M,R
IHC/IF M,R
规格:
产品信息
蛋白质全称 核受体亚家族1 I组成员3
别名 Constitutive androstane receptor,CAR,Orphan nuclear receptor MB67,Nr1i3,Car,Orphan nuclear receptor MB67,Orphan nuclear receptor NR1I3
Uniprot ID O35627
免疫原 小鼠Nr1i3重组蛋白
抗体亚型 IgG
纯化方式 亲和纯化
亚细胞定位 细胞核, 细胞质
预测分子量./观测分子量. 41 kDa / 41 kDa
应用
WB 免疫印迹
物种:小鼠,大鼠
稀释比:1:500-1:1000
阳性样品:—
IHC/IF 免疫组织化学/免疫荧光
物种:小鼠,大鼠
稀释比:1:500-1:1000
阳性样品:LPS诱导的脓毒症模型肝脏
背景
This gene encodes a member of the nuclear receptor superfamily, and is a key regulator of xenobiotic and endobiotic metabolism. The protein binds to DNA as a monomer or a heterodimer with the retinoid X receptor and regulates the transcription of target genes involved in drug metabolism and bilirubin clearance, such as cytochrome P450 family members. Unlike most nuclear receptors, this transcriptional regulator is constitutively active in the absence of ligand but is regulated by both agonists and inverse agonists.
储存条件
储存条件:储存条件在:-20℃下储存一年, 避免反复冻融.
储存缓冲液:含0.15% ProClin300防腐剂, 100 μg/mL牛血清白蛋白和50%甘油的磷酸盐缓冲液.
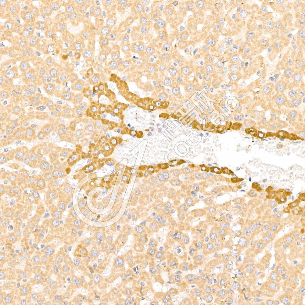
图像
IHC检测Constitutive androstane receptor蛋白(货号 K1334254).
样品: 小鼠LPS诱导的脓毒症模型肝脏, 4%多聚甲醛 (货号KSG1101) 固定12-24小时.
抗原修复: 柠檬酸抗原修复液(干粉, pH 6.0) (KSG1201), 98℃, 20分钟.
—抗: 1: 800稀释, 4℃ 孵育过夜.
二抗: S-vision免疫组化多聚二抗(山羊抗兔),即用型 (货号KB3906), 室温孵育20分钟.
IHC检测Constitutive androstane receptor蛋白(货号 K1334254).
样品: 大鼠LPS诱导的脓毒症模型肝脏, 4%多聚甲醛 (货号KSG1101) 固定12-24小时.
抗原修复: 柠檬酸抗原修复液(干粉, pH 6.0) (KSG1201), 98℃, 20分钟.
—抗: 1: 800稀释, 4℃ 孵育过夜.
二抗: S-vision免疫组化多聚二抗(山羊抗兔),即用型 (货号KB3906), 室温孵育20分钟.

需要技术支持?

如果您有任何问题或如果您在实验过程中遇到问题,或需要更详细的技术指导,请联系我们的技术支持团队
电话 400-6027-270

联系我们

如果您对我们的公司或产品有任何疑问,欢迎随时联系我们