tel 400-6027-270
Main Image
Recombinant Anti-UCP1 antibody (兔单克隆抗体)
¥1900
加入对比
货号: K5456522-100
预测分子量: 33 kDa
观测分子量: 33 kDa
亚细胞定位: 线粒体
别名: UCP1,Solute carrier family 25 member 7,Thermogenin,Slc25a7
应用 | 种属
WB H,M,R
IHC/IF H,M,R
规格:
产品信息
蛋白质全称 线粒体棕色脂肪解偶联蛋白1
别名 UCP1,Solute carrier family 25 member 7,Thermogenin,Slc25a7
Uniprot ID P25874
免疫原 人UCP1重组蛋白
抗体亚型 IgG, κ
克隆号 SB321
纯化方式 亲和纯化
亚细胞定位 线粒体
预测分子量./观测分子量. 33 kDa / 33 kDa
应用
WB 免疫印迹
物种:人,小鼠,大鼠
稀释比:1:1000-1:3000
阳性样品:—
IHC/IF 免疫组织化学/免疫荧光
物种:人,小鼠,大鼠
稀释比:1:300-1:1000
阳性样品:棕色脂肪
背景
UCP-1 (Mitochondrial uncoupling protein 1), is a mitochondrial transporter protein that creates proton leaks across the inner mitochondrial membrane, thus uncoupling oxidative phosphorylation from ATP synthesis. It has been identified a key molecule for metabolic thermogenesis to avoid an excess of fat accumulation. UCP-1 expression is usually restricted to brown adipose when induced by cold exposure and thyroid hormone.
储存条件
储存条件:储存条件在:-20℃下储存一年, 避免反复冻融.
储存缓冲液:含0.15% ProClin300防腐剂, 100 μg/mL牛血清白蛋白和50%甘油的磷酸盐缓冲液.
图像
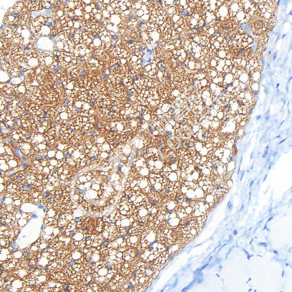
IHC检测UCP1蛋白(货号 K5456522).
样品: 小鼠棕色脂肪, 4%多聚甲醛 (货号KSG1101) 固定12-24小时.
抗原修复: 柠檬酸抗原修复液(干粉, pH 6.0) (KSG1201), 高压锅均匀喷气计时2分钟.
—抗: 1: 700稀释, 4℃ 孵育过夜.
二抗: S-vision免疫组化多聚二抗(山羊抗兔),即用型 (货号KB3906), 室温孵育20分钟.
IHC检测UCP1蛋白(货号 K5456522).
样品: 大鼠棕色脂肪, 4%多聚甲醛 (货号KSG1101) 固定12-24小时.
抗原修复: 柠檬酸抗原修复液(干粉, pH 6.0) (KSG1201), 高压锅均匀喷气计时2分钟.
—抗: 1: 700稀释, 4℃ 孵育过夜.
二抗: S-vision免疫组化多聚二抗(山羊抗兔),即用型 (货号KB3906), 室温孵育20分钟.

需要技术支持?

如果您有任何问题或如果您在实验过程中遇到问题,或需要更详细的技术指导,请联系我们的技术支持团队
电话 400-6027-270

联系我们

如果您对我们的公司或产品有任何疑问,欢迎随时联系我们