tel 400-6027-270
Main Image
Anti-COX6A1 兔多克隆抗体
¥1900
加入对比
货号: K1341580-100
预测分子量: 12 kDa
观测分子量: 12 kDa
亚细胞定位: 线粒体
别名: Cytochrome c oxidase polypeptide VIa-liver,COX VIa L,COX6A,COX6A1,COX6AL
应用 | 种属
WB M,R
IHC/IF H,M,R
规格:
产品信息
蛋白质全称 细胞色素c氧化酶亚基6A1
别名 Cytochrome c oxidase polypeptide VIa-liver,COX VIa L,COX6A,COX6A1,COX6AL
Uniprot ID P43024
免疫原 KLH偶联的小鼠COX6A1合成肽
抗体亚型 IgG
纯化方式 亲和纯化
亚细胞定位 线粒体
预测分子量./观测分子量. 12 kDa / 12 kDa
应用
WB 免疫印迹
物种:小鼠,大鼠
稀释比:1:2000-1:4000
阳性样品:脑
IHC/IF 免疫组织化学/免疫荧光
物种:人,小鼠,大鼠
稀释比:1:2000-1:4000
阳性样品:结肠, 肝癌, 睾丸
背景
COX6A1(Cytochrome c oxidase subunit 6A1, mitochondrial) is also named as COX6AL and belongs to the cytochrome c oxidase subunit 6A family.This protein is one of the nuclear-coded polypeptide chains of cytochrome c oxidase, the terminal oxidase in mitochondrial electron transport.
储存条件
储存条件:储存条件在:-20℃下储存一年, 避免反复冻融.
储存缓冲液:含0.15% ProClin300防腐剂, 100 μg/mL牛血清白蛋白和50%甘油的磷酸盐缓冲液.
图像
WB检测COX6A1蛋白(货号 K1341580).
样品: 经RIPA裂解液(货号KSG2002)处理的蛋白质.
封闭: 3%脱脂牛奶(货号KSGC310001)溶于TBST溶液, 室温孵育1小时.
—抗: 1: 2000稀释, 4℃ 孵育过夜.
二抗: HRP标记山羊抗兔IgG (H+L) (货号KB69909), 1: 5000稀释, 室温孵育1小时.
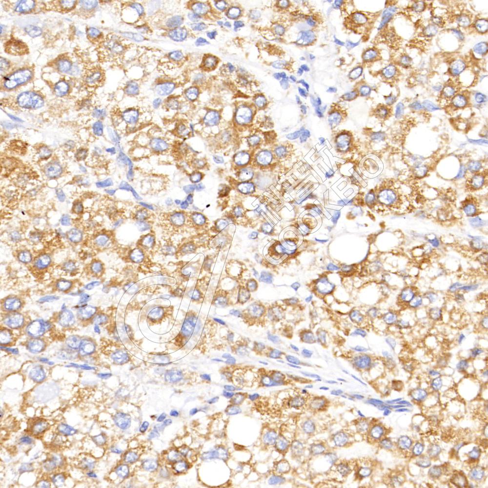
IHC检测COX6A1蛋白(货号 K1341580).
样品: 人肝癌, 4%多聚甲醛 (货号KSG1101) 固定12-24小时.
抗原修复: 柠檬酸抗原修复液(干粉, pH 6.0) (KSG1201), 98℃, 20分钟.
—抗: 1: 3000稀释, 4℃ 孵育过夜.
二抗: S-vision免疫组化多聚二抗(山羊抗兔),即用型 (货号KB3906), 室温孵育20分钟.
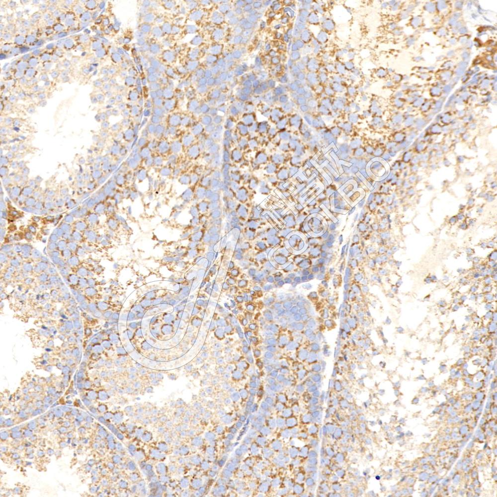
IHC检测COX6A1蛋白(货号 K1341580).
样品: 小鼠睾丸, 4%多聚甲醛 (货号KSG1101) 固定12-24小时.
抗原修复: 柠檬酸抗原修复液(干粉, pH 6.0) (KSG1201), 98℃, 20分钟.
—抗: 1: 3000稀释, 4℃ 孵育过夜.
二抗: S-vision免疫组化多聚二抗(山羊抗兔),即用型 (货号KB3906), 室温孵育20分钟.
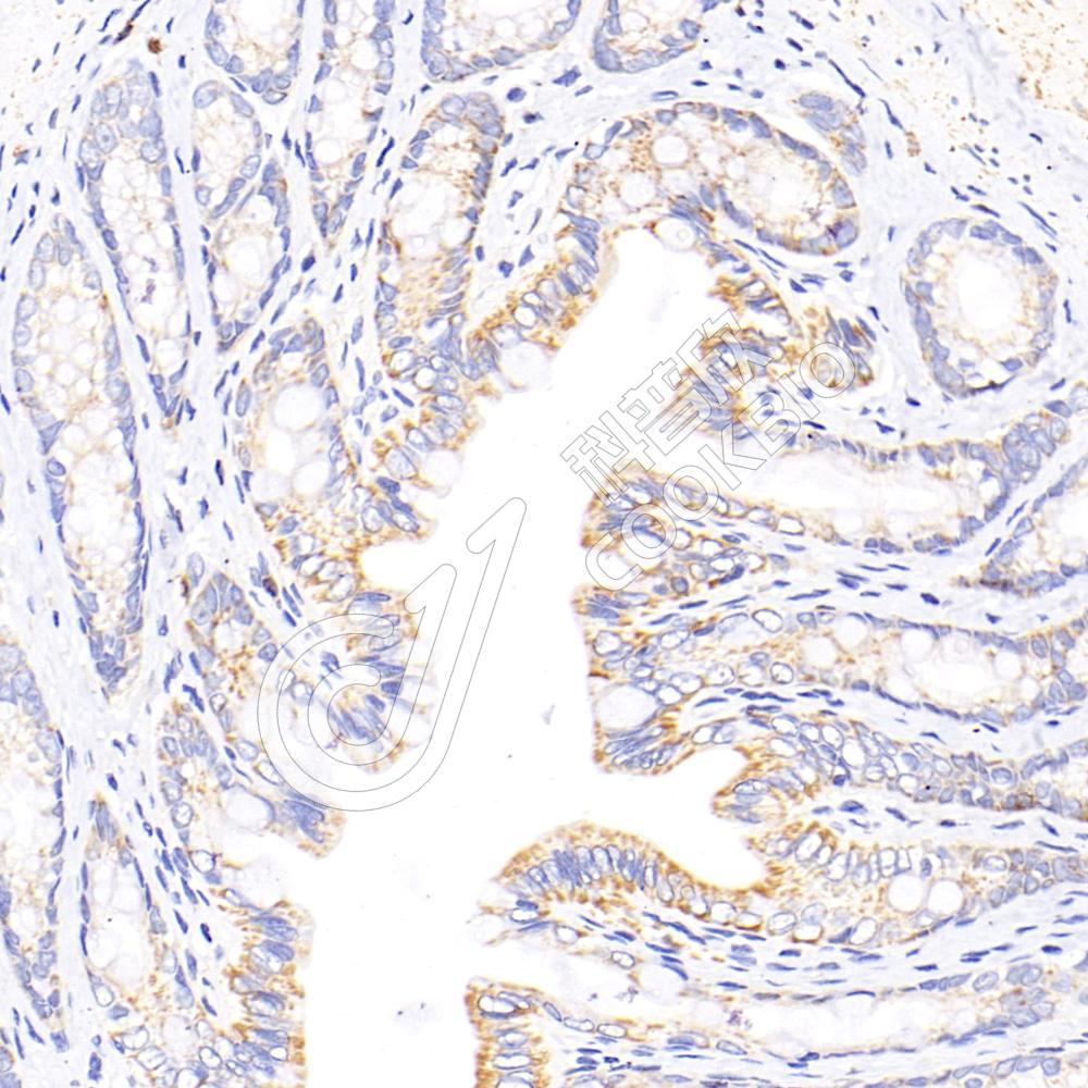
IHC检测COX6A1蛋白(货号 K1341580).
样品: 大鼠结肠, 4%多聚甲醛 (货号KSG1101) 固定12-24小时.
抗原修复: 柠檬酸抗原修复液(干粉, pH 6.0) (KSG1201), 98℃, 20分钟.
—抗: 1: 3000稀释, 4℃ 孵育过夜.
二抗: S-vision免疫组化多聚二抗(山羊抗兔),即用型 (货号KB3906), 室温孵育20分钟.

需要技术支持?

如果您有任何问题或如果您在实验过程中遇到问题,或需要更详细的技术指导,请联系我们的技术支持团队
电话 400-6027-270

联系我们

如果您对我们的公司或产品有任何疑问,欢迎随时联系我们