tel 400-6027-270
Main Image
Anti-ENTPD5 兔多克隆抗体
¥1900
加入对比
货号: K1335568-100
亚细胞定位: 分泌型, 细胞质
别名: NTPDase 5,CD39 antigen-like 4,ER-UDPase,Guanosine-diphosphatase ENTPD5,GDPase ENTPD5,Nucleoside diphosphatase,Entpd5,Cd39l4
应用 | 种属
IHC/IF M
规格:
产品信息
蛋白质全称 外核苷三磷酸二磷酸水解酶5
别名 NTPDase 5,CD39 antigen-like 4,ER-UDPase,Guanosine-diphosphatase ENTPD5,GDPase ENTPD5,Nucleoside diphosphatase,Entpd5,Cd39l4
Uniprot ID Q9WUZ9
免疫原 小鼠ENTPD5重组蛋白
抗体亚型 IgG
纯化方式 亲和纯化
亚细胞定位 分泌型, 细胞质
应用
IHC/IF 免疫组织化学/免疫荧光
物种:小鼠
稀释比:1:650-1:1300
阳性样品:淋巴结
背景
The protein encoded by this gene is similar to E-type nucleotidases (NTPases)/ecto-ATPase/apyrases. NTPases, such as CD39, mediate catabolism of extracellular nucleotides. ENTPD5 contains 4 apyrase-conserved regions which is characteristic of NTPases.
储存条件
储存条件:储存条件在:-20℃下储存一年, 避免反复冻融.
储存缓冲液:含0.15% ProClin300防腐剂, 100 μg/mL牛血清白蛋白和50%甘油的磷酸盐缓冲液.
图像
IHC检测ENTPD5蛋白(货号 K1335568).
样品: 小鼠淋巴结, 4%多聚甲醛 (货号KSG1101) 固定12-24小时.
抗原修复: 柠檬酸抗原修复液(干粉, pH 6.0) (KSG1201), 98℃, 20分钟.
—抗: 1: 1000稀释, 4℃ 孵育过夜.
二抗: S-vision免疫组化多聚二抗(山羊抗兔),即用型 (货号KB3906), 室温孵育20分钟.
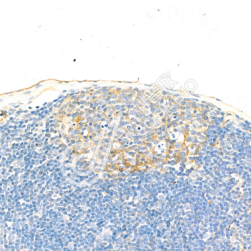
IHC检测ENTPD5蛋白(货号 K1335568).
样品: 小鼠淋巴结, 4%多聚甲醛 (货号KSG1101) 固定12-24小时.
抗原修复: 柠檬酸抗原修复液(干粉, pH 6.0) (KSG1201), 98℃, 20分钟.
—抗: 1: 1000稀释, 4℃ 孵育过夜.
二抗: S-vision免疫组化多聚二抗(山羊抗兔),即用型 (货号KB3906), 室温孵育20分钟.

需要技术支持?

如果您有任何问题或如果您在实验过程中遇到问题,或需要更详细的技术指导,请联系我们的技术支持团队
电话 400-6027-270

联系我们

如果您对我们的公司或产品有任何疑问,欢迎随时联系我们