tel 400-6027-270
Main Image
Anti-SLC40A1 兔多克隆抗体
¥1900
加入对比
货号: K1334413-100
预测分子量: 63 kDa
观测分子量: 63 kDa
亚细胞定位: 细胞膜, 细胞质
别名: Ferroportin-1,Iron-regulated transporter 1,Metal transporter protein 1,MTP1,Slc40a1,Fpn1,Ireg1,Slc11a3,Slc39a1
应用 | 种属
WB H,M,R
IHC/IF H,M,R
规格:
产品信息
蛋白质全称 溶质载体家族40成员1
别名 Ferroportin-1,Iron-regulated transporter 1,Metal transporter protein 1,MTP1,Slc40a1,Fpn1,Ireg1,Slc11a3,Slc39a1
Uniprot ID Q9JHI9
免疫原 小鼠SLC40A1重组蛋白
抗体亚型 IgG
纯化方式 亲和纯化
亚细胞定位 细胞膜, 细胞质
预测分子量./观测分子量. 63 kDa / 63 kDa
应用
WB 免疫印迹
物种:人,小鼠,大鼠
稀释比:1:1000-1:2000
阳性样品:肝
IHC/IF 免疫组织化学/免疫荧光
物种:人,小鼠,大鼠
稀释比:1:1200-1:2400
阳性样品:十二指肠, 胎盘
背景
SLC40A1 is an iron-regulated transporter assumed to play roles in intestinal iron absorption and cellular iron release. It mediates iron efflux in the presence of ferroxidase. Defects in SLC40A1 cause hemochromatosis type 4 (HFE4), which is an autosomal dominant iron-loading disorder.
储存条件
储存条件:储存条件在:-20℃下储存一年, 避免反复冻融.
储存缓冲液:含0.15% ProClin300防腐剂, 100 μg/mL牛血清白蛋白和50%甘油的磷酸盐缓冲液.
图像
WB检测SLC40A1蛋白(货号 K1334413).
样品: 经RIPA裂解液(货号KSG2002)处理的蛋白质.
封闭: 3%脱脂牛奶(货号KSGC310001)溶于TBST溶液, 室温孵育1小时.
—抗: 1: 1000稀释, 4℃ 孵育过夜.
二抗: HRP标记山羊抗兔IgG (H+L) (货号KB69909), 1: 5000稀释, 室温孵育1小时.
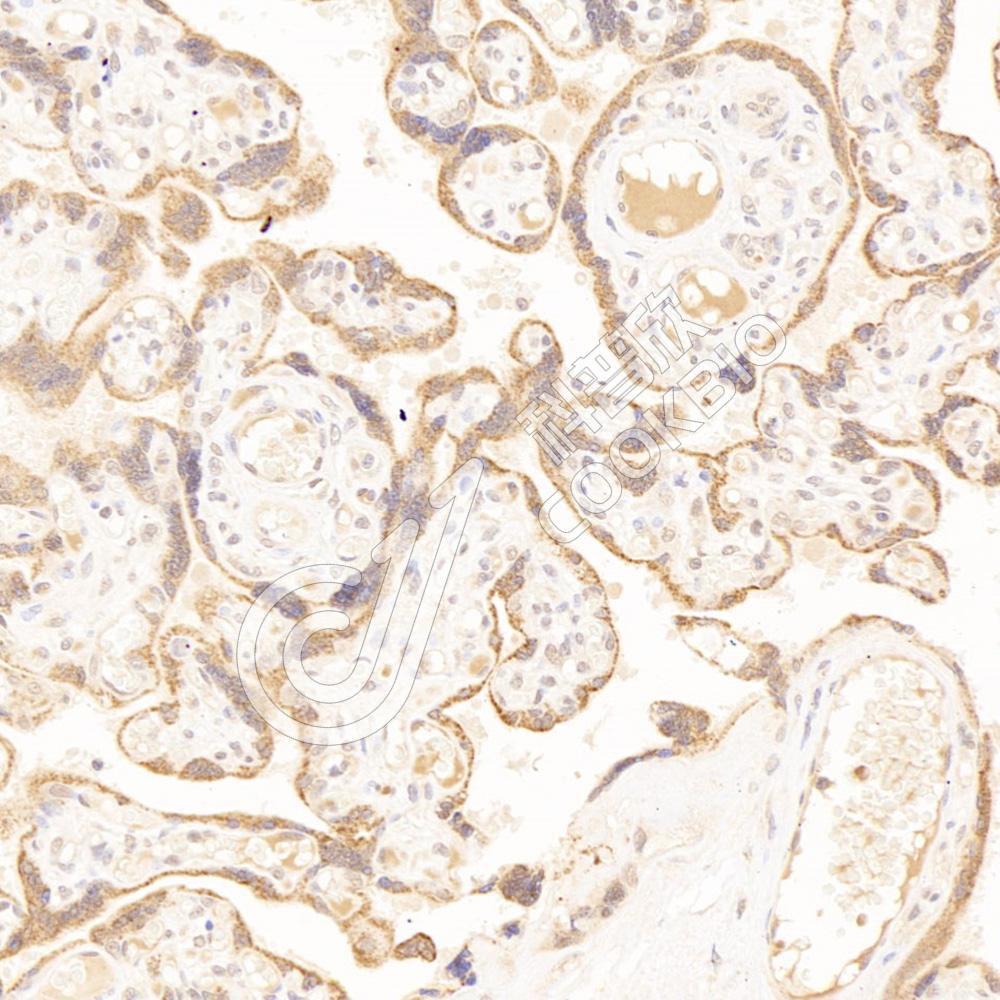
IHC检测SLC40A1蛋白(货号 K1334413).
样品: 人胎盘, 4%多聚甲醛 (货号KSG1101) 固定12-24小时.
抗原修复: 柠檬酸抗原修复液(干粉, pH 6.0) (KSG1201), 高压锅均匀喷气计时2分钟.
—抗: 1: 1800稀释, 4℃ 孵育过夜.
二抗: S-vision免疫组化多聚二抗(山羊抗兔),即用型 (货号KB3906), 室温孵育20分钟.
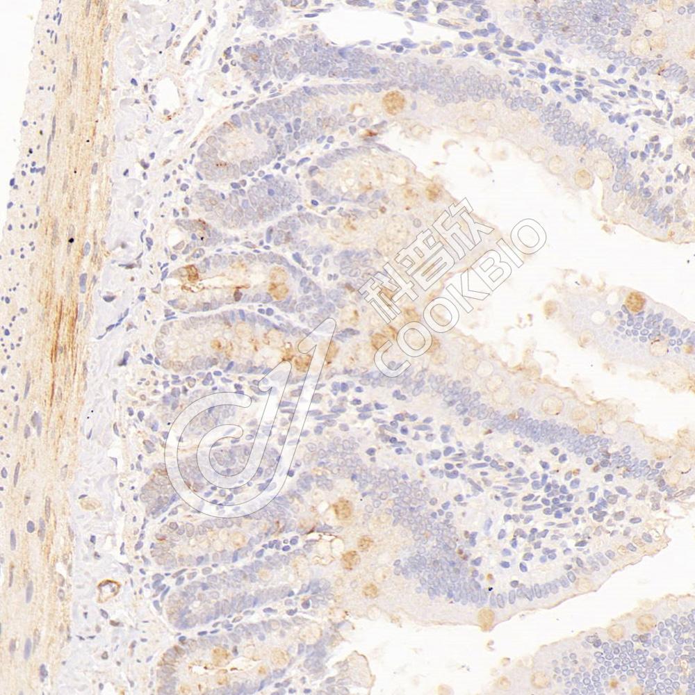
IHC检测SLC40A1蛋白(货号 K1334413).
样品: 小鼠十二指肠, 4%多聚甲醛 (货号KSG1101) 固定12-24小时.
抗原修复: 柠檬酸抗原修复液(干粉, pH 6.0) (KSG1201), 高压锅均匀喷气计时2分钟.
—抗: 1: 1800稀释, 4℃ 孵育过夜.
二抗: S-vision免疫组化多聚二抗(山羊抗兔),即用型 (货号KB3906), 室温孵育20分钟.
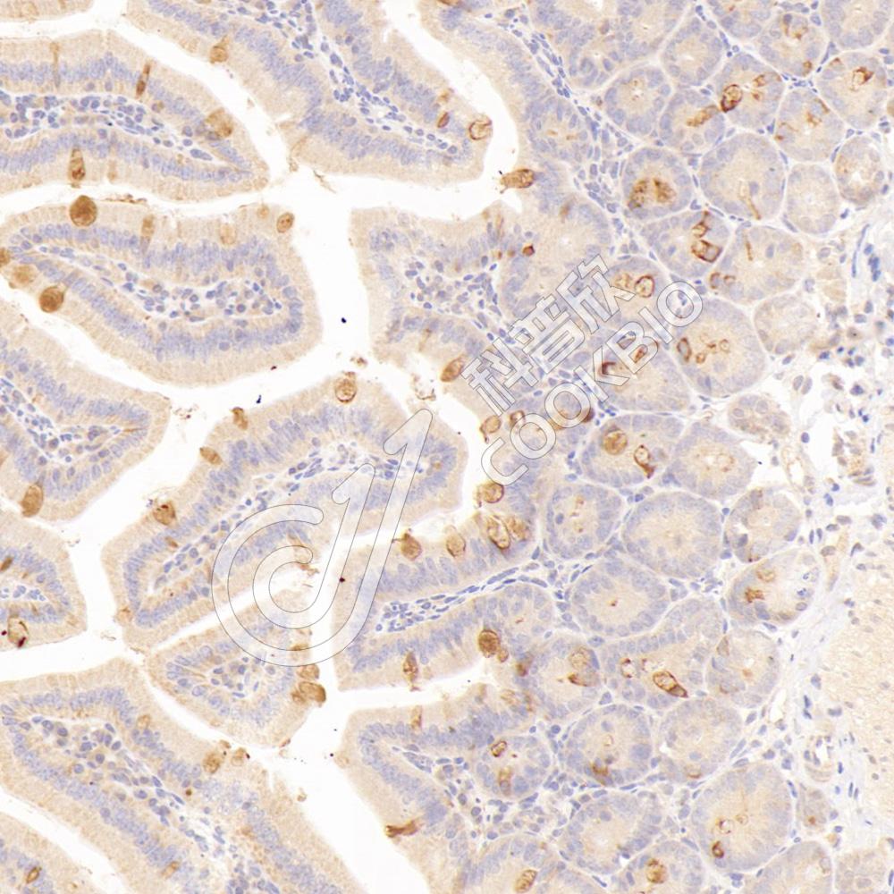
IHC检测SLC40A1蛋白(货号 K1334413).
样品: 大鼠十二指肠, 4%多聚甲醛 (货号KSG1101) 固定12-24小时.
抗原修复: 柠檬酸抗原修复液(干粉, pH 6.0) (KSG1201), 高压锅均匀喷气计时2分钟.
—抗: 1: 1800稀释, 4℃ 孵育过夜.
二抗: S-vision免疫组化多聚二抗(山羊抗兔),即用型 (货号KB3906), 室温孵育20分钟.
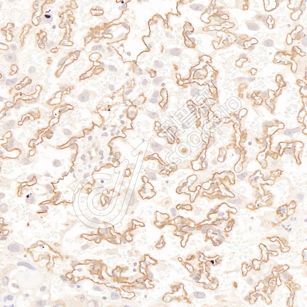
IHC检测SLC40A1蛋白(货号 K1334413).
样品: 大鼠胎盘, 4%多聚甲醛 (货号KSG1101) 固定12-24小时.
抗原修复: 柠檬酸抗原修复液(干粉, pH 6.0) (KSG1201), 高压锅均匀喷气计时2分钟.
—抗: 1: 1800稀释, 4℃ 孵育过夜.
二抗: S-vision免疫组化多聚二抗(山羊抗兔),即用型 (货号KB3906), 室温孵育20分钟.

需要技术支持?

如果您有任何问题或如果您在实验过程中遇到问题,或需要更详细的技术指导,请联系我们的技术支持团队
电话 400-6027-270

联系我们

如果您对我们的公司或产品有任何疑问,欢迎随时联系我们