tel 400-6027-270
Main Image
Anti-AC5 兔多克隆抗体
¥1900
加入对比
货号: K1335589-100
亚细胞定位: 细胞膜
别名: Adenylate cyclase type V,Adenylyl cyclase 5,Adcy5,AC5,ATP pyrophosphate-lyase 5
应用 | 种属
IHC/IF M,R
规格:
产品信息
蛋白质全称 腺苷酸环化酶5型
别名 Adenylate cyclase type V,Adenylyl cyclase 5,Adcy5,AC5,ATP pyrophosphate-lyase 5
Uniprot ID P84309
免疫原 小鼠AC5重组蛋白
抗体亚型 IgG
纯化方式 亲和纯化
亚细胞定位 细胞膜
应用
IHC/IF 免疫组织化学/免疫荧光
物种:小鼠,大鼠
稀释比:1:500-1:1500
阳性样品:胎盘
背景
This gene encodes a member of the membrane-bound adenylyl cyclase enzymes. Adenylyl cyclases mediate G protein-coupled receptor signaling through the synthesis of the second messenger cAMP. Activity of the encoded protein is stimulated by the Gs alpha subunit of G protein-coupled receptors and is inhibited by protein kinase A, calcium and Gi alpha subunits. Single nucleotide polymorphisms in this gene may be associated with low birth weight and type 2 diabetes.
储存条件
储存条件:储存条件在:-20℃下储存一年, 避免反复冻融.
储存缓冲液:含0.15% ProClin300防腐剂, 100 μg/mL牛血清白蛋白和50%甘油的磷酸盐缓冲液.
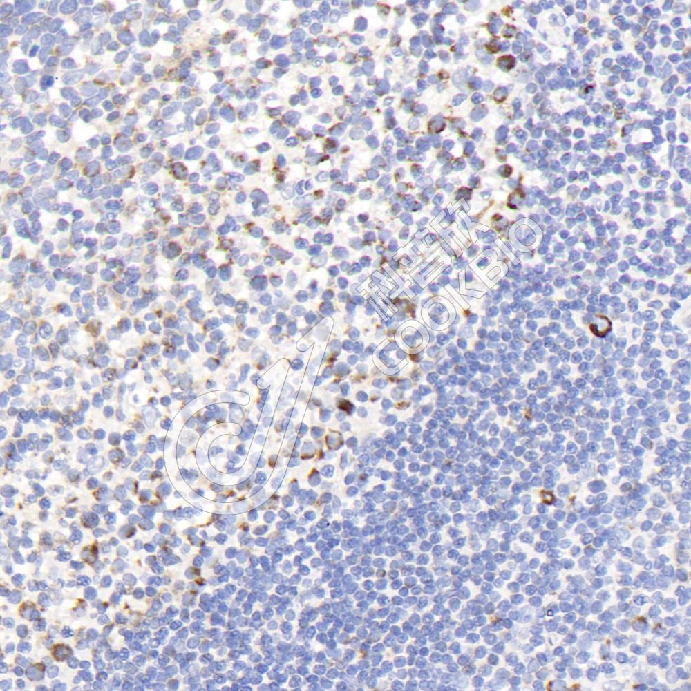
图像
IHC检测AC5蛋白(货号 K1335589).
样品: 小鼠胎盘, 4%多聚甲醛 (货号KSG1101) 固定12-24小时.
抗原修复: 柠檬酸抗原修复液(干粉, pH 6.0) (KSG1201), 98℃, 20分钟.
—抗: 1: 1000稀释, 4℃ 孵育过夜.
二抗: S-vision免疫组化多聚二抗(山羊抗兔),即用型 (货号KB3906), 室温孵育20分钟.
IHC检测AC5蛋白(货号 K1335589).
样品: 大鼠胎盘, 4%多聚甲醛 (货号KSG1101) 固定12-24小时.
抗原修复: 柠檬酸抗原修复液(干粉, pH 6.0) (KSG1201), 98℃, 20分钟.
—抗: 1: 1000稀释, 4℃ 孵育过夜.
二抗: S-vision免疫组化多聚二抗(山羊抗兔),即用型 (货号KB3906), 室温孵育20分钟.

需要技术支持?

如果您有任何问题或如果您在实验过程中遇到问题,或需要更详细的技术指导,请联系我们的技术支持团队
电话 400-6027-270

联系我们

如果您对我们的公司或产品有任何疑问,欢迎随时联系我们