tel 400-6027-270
Main Image
Anti-IDH2 兔多克隆抗体
¥1900
加入对比
货号: K1341181-100
预测分子量: 51 kDa
观测分子量: 45 kDa
亚细胞定位: 线粒体
别名: ICD M,IDH,IDH2,IDHM,IDP,IDPM,mNADP IDH,NADP(+) specific ICDH,Oxalosuccinate decarboxylase
应用 | 种属
WB H,M,R
IHC/IF H,M,R
规格:
产品信息
蛋白质全称 线粒体NADP依赖异柠檬酸脱氢酶
别名 ICD M,IDH,IDH2,IDHM,IDP,IDPM,mNADP IDH,NADP(+) specific ICDH,Oxalosuccinate decarboxylase
Uniprot ID P54071
免疫原 KLH偶联的小鼠IDH2合成肽
抗体亚型 IgG
纯化方式 亲和纯化
亚细胞定位 线粒体
预测分子量./观测分子量. 51 kDa / 45 kDa
应用
WB 免疫印迹
物种:人,小鼠,大鼠
稀释比:1:1000-1:2000
阳性样品:—
IHC/IF 免疫组织化学/免疫荧光
物种:人,小鼠,大鼠
稀释比:1:500-1:1000
阳性样品:肾
背景
IDH2, also named as IDP and ICD-M, belongs to the isocitrate and isopropylmalate dehydrogenases family. It plays a role in intermediary metabolism and energy production. IDH2 is a mitochondrial NADP-dependent isocitrate dehydrogenase that catalyzes oxidative decarboxylation of isocitrate to alpha-ketoglutarate, producing NADPH. It may tightly associate or interact with the pyruvate dehydrogenase complex. IDH1 and IDH2 mutations could also contribute to tumorigenesis and cancer progression through increased mutagenesis.
储存条件
储存条件:储存条件在:-20℃下储存一年, 避免反复冻融.
储存缓冲液:含0.15% ProClin300防腐剂, 100 μg/mL牛血清白蛋白和50%甘油的磷酸盐缓冲液.
图像
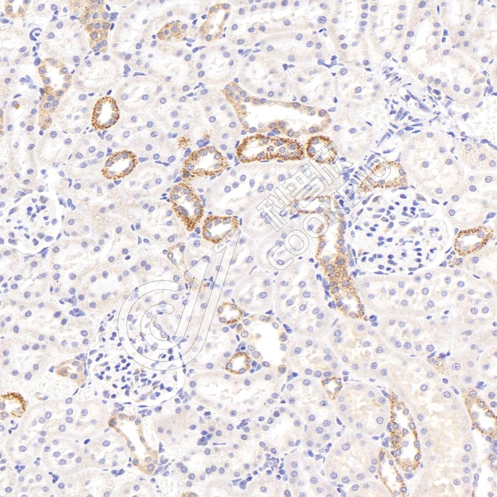
IHC检测IDH2蛋白(货号 K1341181).
样品: 人肾, 4%多聚甲醛 (货号KSG1101) 固定12-24小时.
抗原修复: 柠檬酸抗原修复液(干粉, pH 6.0) (KSG1201), 98℃, 20分钟.
—抗: 1: 800稀释, 4℃ 孵育过夜.
二抗: S-vision免疫组化多聚二抗(山羊抗兔),即用型 (货号KB3906), 室温孵育20分钟.
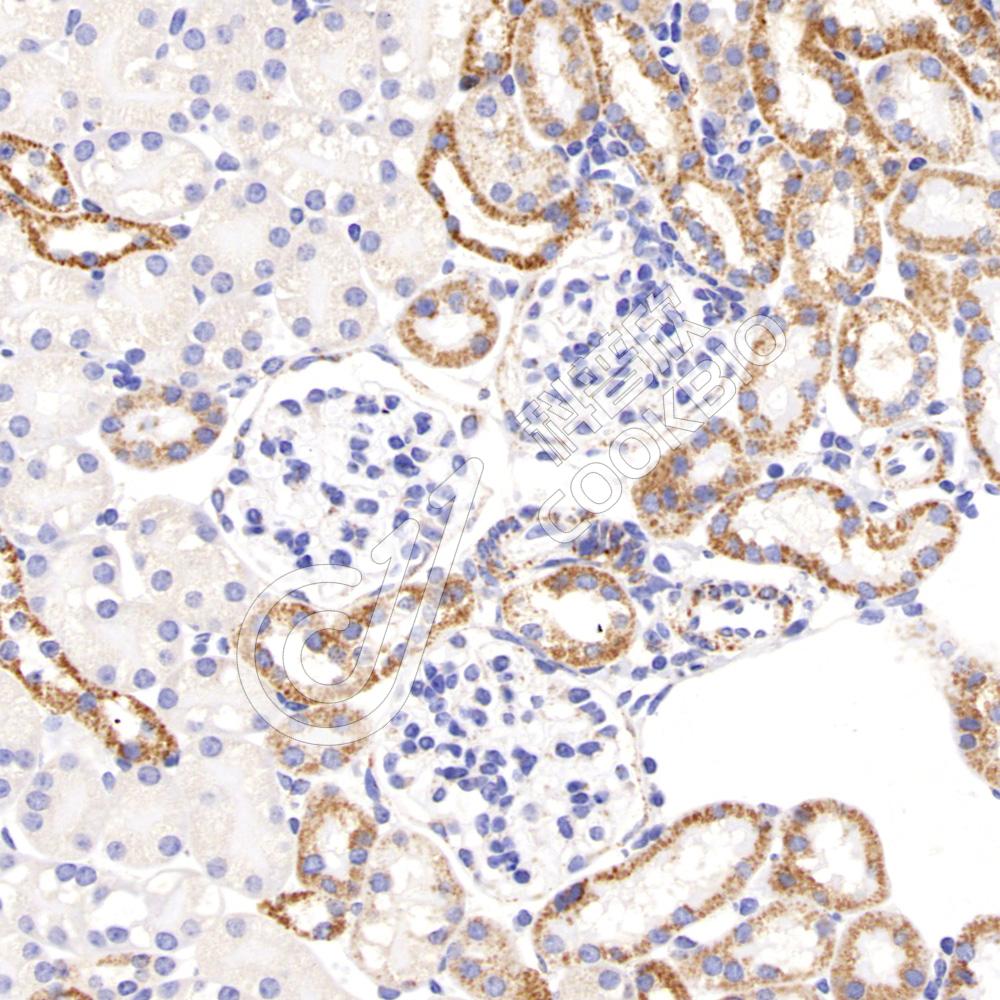
IHC检测IDH2蛋白(货号 K1341181).
样品: 小鼠肾, 4%多聚甲醛 (货号KSG1101) 固定12-24小时.
抗原修复: 柠檬酸抗原修复液(干粉, pH 6.0) (KSG1201), 98℃, 20分钟.
—抗: 1: 800稀释, 4℃ 孵育过夜.
二抗: S-vision免疫组化多聚二抗(山羊抗兔),即用型 (货号KB3906), 室温孵育20分钟.
IHC检测IDH2蛋白(货号 K1341181).
样品: 大鼠肾, 4%多聚甲醛 (货号KSG1101) 固定12-24小时.
抗原修复: 柠檬酸抗原修复液(干粉, pH 6.0) (KSG1201), 98℃, 20分钟.
—抗: 1: 800稀释, 4℃ 孵育过夜.
二抗: S-vision免疫组化多聚二抗(山羊抗兔),即用型 (货号KB3906), 室温孵育20分钟.

需要技术支持?

如果您有任何问题或如果您在实验过程中遇到问题,或需要更详细的技术指导,请联系我们的技术支持团队
电话 400-6027-270

联系我们

如果您对我们的公司或产品有任何疑问,欢迎随时联系我们