tel 400-6027-270
Main Image
Anti-ADCY4 兔多克隆抗体
¥1900
加入对比
货号: K1336795-100
预测分子量: 120 kDa
观测分子量: 120 kDa
亚细胞定位: 细胞膜, 细胞质
别名: ATP pyrophosphate-lyase 4,Adenylate cyclase type IV,Adenylyl cyclase 4,Adcy4,AC4,Adenylyl cyclase,ATP pyrophosphate lyase
应用 | 种属
WB M
IHC/IF M,R
规格:
产品信息
蛋白质全称 腺苷酸环化酶4型
别名 ATP pyrophosphate-lyase 4,Adenylate cyclase type IV,Adenylyl cyclase 4,Adcy4,AC4,Adenylyl cyclase,ATP pyrophosphate lyase
Uniprot ID Q91WF3
免疫原 小鼠ADCY4重组蛋白
抗体亚型 IgG
纯化方式 亲和纯化
亚细胞定位 细胞膜, 细胞质
预测分子量./观测分子量. 120 kDa / 120 kDa
应用
WB 免疫印迹
物种:小鼠
稀释比:1:250-1:500
阳性样品:—
IHC/IF 免疫组织化学/免疫荧光
物种:小鼠,大鼠
稀释比:1:700-1:1400
阳性样品:十二指肠, 肾
背景
The ADCY4 gene encodes a member of the family of adenylate cyclases, which are membrane-associated enzymes that catalyze the formation of the secondary messenger cyclic adenosine monophosphate (cAMP). Mouse studies show that adenylate cyclase 4, along with adenylate cyclases 2 and 3, is expressed in olfactory cilia, suggesting that several different adenylate cyclases may couple to olfactory receptors and that there may be multiple receptor-mediated mechanisms for the generation of cAMP signals. Alternative splicing results in transcript variants.
储存条件
储存条件:储存条件在:-20℃下储存一年, 避免反复冻融.
储存缓冲液:含0.15% ProClin300防腐剂, 100 μg/mL牛血清白蛋白和50%甘油的磷酸盐缓冲液.
图像
IHC检测ADCY4蛋白(货号 K1336795).
样品: 小鼠十二指肠, 4%多聚甲醛 (货号KSG1101) 固定12-24小时.
抗原修复: 柠檬酸抗原修复液(干粉, pH 6.0) (KSG1201), 98℃, 20分钟.
—抗: 1: 1100稀释, 4℃ 孵育过夜.
二抗: S-vision免疫组化多聚二抗(山羊抗兔),即用型 (货号KB3906), 室温孵育20分钟.
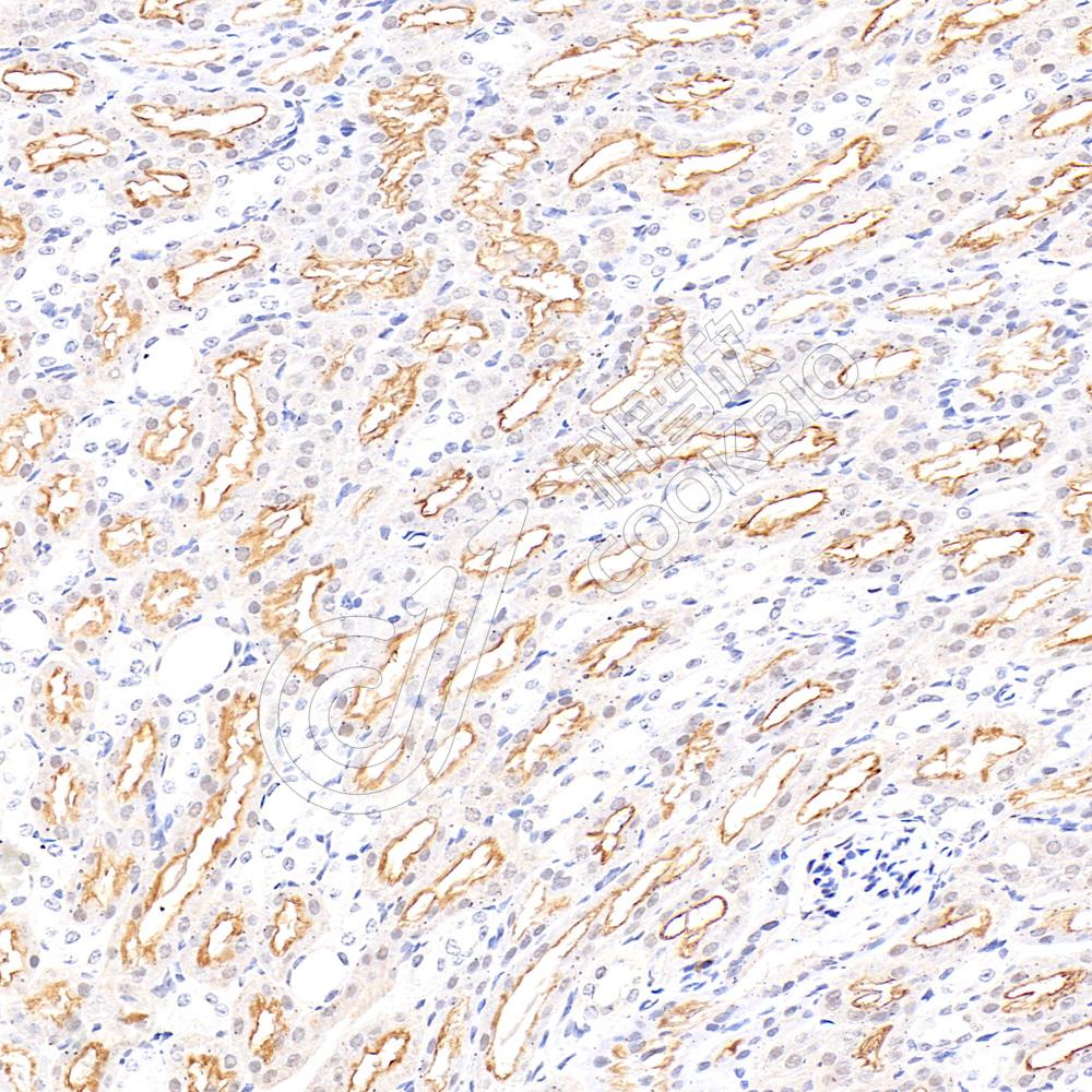
IHC检测ADCY4蛋白(货号 K1336795).
样品: 小鼠肾, 4%多聚甲醛 (货号KSG1101) 固定12-24小时.
抗原修复: 柠檬酸抗原修复液(干粉, pH 6.0) (KSG1201), 98℃, 20分钟.
—抗: 1: 1100稀释, 4℃ 孵育过夜.
二抗: S-vision免疫组化多聚二抗(山羊抗兔),即用型 (货号KB3906), 室温孵育20分钟.

需要技术支持?

如果您有任何问题或如果您在实验过程中遇到问题,或需要更详细的技术指导,请联系我们的技术支持团队
电话 400-6027-270

联系我们

如果您对我们的公司或产品有任何疑问,欢迎随时联系我们